Suppr超能文献

涎腺嗜酸性细胞瘤:细胞病理学、病理学及分子特征

Oncocytic Tumors in the Salivary Gland: Cytopathological, Pathological, and Molecular Features.

作者信息

Skálová Alena, Bradová Martina, Da Cruz Paula Arnaud, Faquin William C

机构信息

Department of Pathology, Charles University, Faculty of Medicine in Pilsen, Pilsen, Czechia.

Biopticka laboratory, Ltd, Pilsen, Czechia.

出版信息

Acta Cytol. 2025 Apr 1:1-12. doi: 10.1159/000544802.

Abstract

BACKGROUND

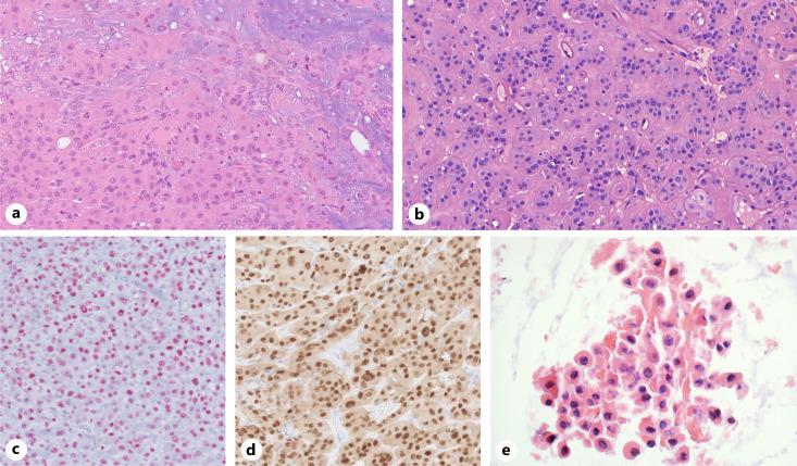
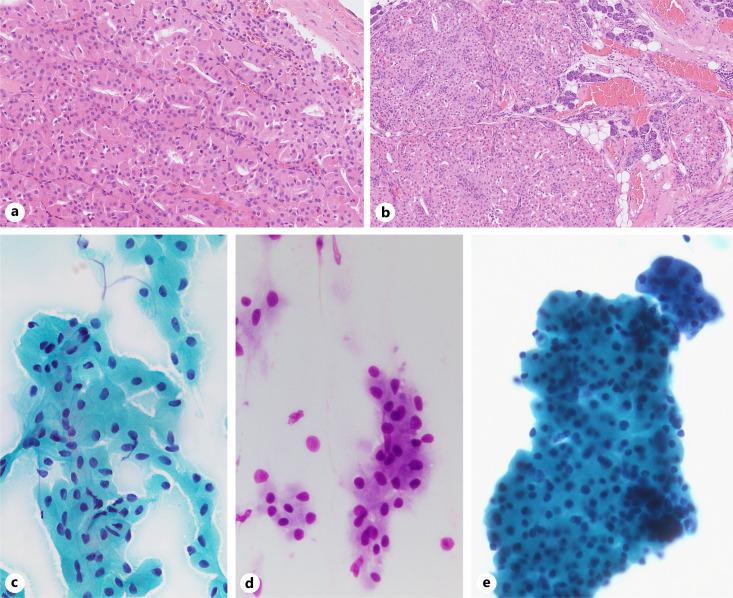
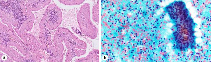
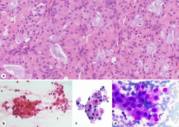
Primary oncocytic salivary gland tumors and oncocytic subtypes of traditionally non-oncocytic salivary gland neoplasms are occasionally encountered in fine needle aspiration specimens, biopsies, and resections. Oncocytes are cells, either non-neoplastic or neoplastic, containing increased numbers of mitochondria resulting in cells with abundant eosinophilic cytoplasm and a low N/C ratio.

SUMMARY

A broad range of salivary gland tumors can be oncocytic including oncocytoma, Warthin tumor, mucoepidermoid carcinoma, salivary duct carcinoma, and others, especially those tumors where the oncocytic pattern represents a subtype of neoplasm; the oncocytic pattern can create a diagnostic challenge due to marked similarities in the oncocytic pattern of cells.

KEY MESSAGES

While their microscopic cytologic and histologic features may be similar, these tumors differ intrinsically at the molecular level. Ancillary studies such as immunologic (e.g., androgen receptor for salivary duct carcinoma) and molecular analysis, e.g., FISH for detecting the MAML2 or PLAG1/HMGA2 gene alterations in mucoepidermoid carcinoma and pleomorphic adenoma, respectively, can be used to classify these oncocytic tumors in difficult cases.

摘要

背景

在细针穿刺标本、活检及切除标本中,偶尔会遇到原发性嗜酸细胞性唾液腺肿瘤以及传统非嗜酸细胞性唾液腺肿瘤的嗜酸细胞亚型。嗜酸细胞是指非肿瘤性或肿瘤性细胞,其线粒体数量增加,导致细胞具有丰富的嗜酸性细胞质和低核质比。

总结

多种唾液腺肿瘤可呈嗜酸细胞性,包括嗜酸细胞瘤、沃辛瘤、黏液表皮样癌、涎腺导管癌等,尤其是那些嗜酸细胞模式代表肿瘤亚型的肿瘤;由于细胞嗜酸细胞模式存在明显相似性,嗜酸细胞模式可能带来诊断挑战。

关键信息

虽然它们的微观细胞学和组织学特征可能相似,但这些肿瘤在分子水平上存在本质差异。在疑难病例中,诸如免疫检查(如涎腺导管癌检测雄激素受体)和分子分析(如分别通过荧光原位杂交检测黏液表皮样癌中的MAML2基因改变以及多形性腺瘤中的PLAG1/HMGA2基因改变)等辅助检查可用于对这些嗜酸细胞性肿瘤进行分类。

https://cdn.ncbi.nlm.nih.gov/pmc/blobs/8170/12060841/cd046dfb6c10/acy-2025-0000-0000-544802_F01.jpg

文献AI研究员

20分钟写一篇综述,助力文献阅读效率提升50倍。

立即体验

用中文搜PubMed

大模型驱动的PubMed中文搜索引擎

马上搜索

文档翻译

学术文献翻译模型,支持多种主流文档格式。

立即体验