Suppr超能文献

泰国结直肠癌患者正常组织与肿瘤组织的微生物组和生物膜研究见解

Microbiome and biofilm insights from normal vs tumor tissues in Thai colorectal cancer patients.

作者信息

Yincharoen Pirada, Mordmuang Auemphon, Techarang Tachpon, Tangngamsakul Panus, Kaewubon Panchaphon, Atipairin Paijit, Janwanitchasthaporn Sorawat, Goodla Lavanya, Karnjana Kulwadee

机构信息

Department of Clinical Science, School of Medicine, Walailak University, Nakhon Si Thammarat, Thailand.

Department of Medical Sciences, School of Medicine, Walailak University, Nakhon Si Thammarat, Thailand.

出版信息

NPJ Precis Oncol. 2025 Apr 4;9(1):98. doi: 10.1038/s41698-025-00873-1.

Abstract

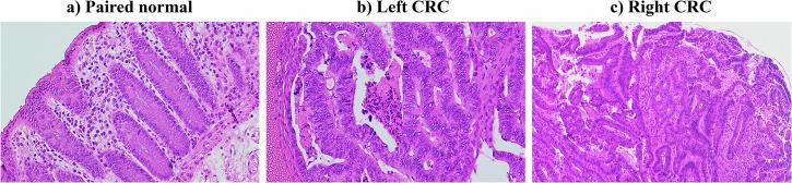
Colorectal cancer (CRC) is a prevalent global malignancy with complex etiologies, including microbiota alterations. This study investigates gut microbiota and biofilm-producing bacteria in 35 Thai CRC patients, analyzing paired normal and tumor biopsy samples. Bacterial DNA from the V3-V4 region of 16S rRNA was sequenced, and biofilms were visualized via scanning electron microscopy and fluorescence in situ hybridization (FISH). Results revealed Firmicutes as the dominant phylum, followed by Bacteroidota, Proteobacteria, and Fusobacteriota, with Fusobacteriota and Bacteroidota notably enriched in left-sided CRC. Key biofilm producers-Bacteroides fragilis, Fusobacterium nucleatum, and Pasteurella stomatis-showed significantly higher gene expression in tumor tissues. Dense biofilms and higher Fusobacterium abundance, localized within the crypts of Lieberkuhn, were observed in CRC tissues. These findings highlight CRC-associated microbiota alterations and pathogenic biofilm production, emphasizing a spatial relationship between tumor location and microbial distribution, with potential implications for understanding CRC pathogenesis and therapeutic targeting.

摘要

结直肠癌(CRC)是一种全球普遍存在的恶性肿瘤,病因复杂,包括微生物群改变。本研究调查了35名泰国CRC患者的肠道微生物群和产生物膜细菌,分析了配对的正常和肿瘤活检样本。对16S rRNA V3-V4区域的细菌DNA进行测序,并通过扫描电子显微镜和荧光原位杂交(FISH)观察生物膜。结果显示厚壁菌门是主要门类,其次是拟杆菌门、变形菌门和梭杆菌门,梭杆菌门和拟杆菌门在左侧CRC中显著富集。关键产生物膜菌——脆弱拟杆菌、具核梭杆菌和口腔巴斯德氏菌——在肿瘤组织中的基因表达显著更高。在CRC组织中观察到密集的生物膜和更高的梭杆菌丰度,位于利伯库恩隐窝内。这些发现突出了结直肠癌相关的微生物群改变和致病性生物膜的产生,强调了肿瘤位置与微生物分布之间的空间关系,对理解结直肠癌的发病机制和治疗靶点具有潜在意义。

https://cdn.ncbi.nlm.nih.gov/pmc/blobs/6a39/11971325/5e0946f518cc/41698_2025_873_Fig1_HTML.jpg

文献AI研究员

20分钟写一篇综述,助力文献阅读效率提升50倍。

立即体验

用中文搜PubMed

大模型驱动的PubMed中文搜索引擎

马上搜索

文档翻译

学术文献翻译模型,支持多种主流文档格式。

立即体验