Suppr超能文献

异质性核糖核蛋白A2B1通过将货物分选到驱动肌成纤维细胞激活的小细胞外囊泡中促进卵巢癌转移。

hnRNPA2B1 facilitates ovarian carcinoma metastasis by sorting cargoes into small extracellular vesicles driving myofibroblasts activation.

作者信息

Wu Qiulei, Liu Pan, Liu Xiaoli, Li Guoqing, Huang Lin, Ying Feiquan, Gong Lanqing, Li Wenhan, Zhang Jingni, Gao Rui, Yi Xiaoqing, Xu Linjuan, Yu Lili, Wang Zehua, Cai Jing

机构信息

Department of Obstetrics and Gynecology, Union Hospital, Tongji Medical College, Huazhong University of Science and Technology, Wuhan, 430022, China.

出版信息

J Nanobiotechnology. 2025 Apr 4;23(1):273. doi: 10.1186/s12951-025-03342-w.

Abstract

BACKGROUND

Ovarian carcinoma (OvCa) metastasis is initiated and boosted by tumor-stroma interactions mediated by small extracellular vesicles (sEVs) containing microRNAs (miRNAs). However, the mechanisms of sorting relevant miRNAs into tumoral sEVs remain elusive.

RESULTS

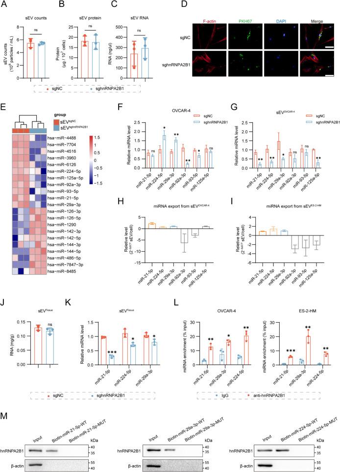
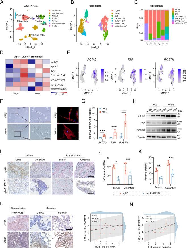
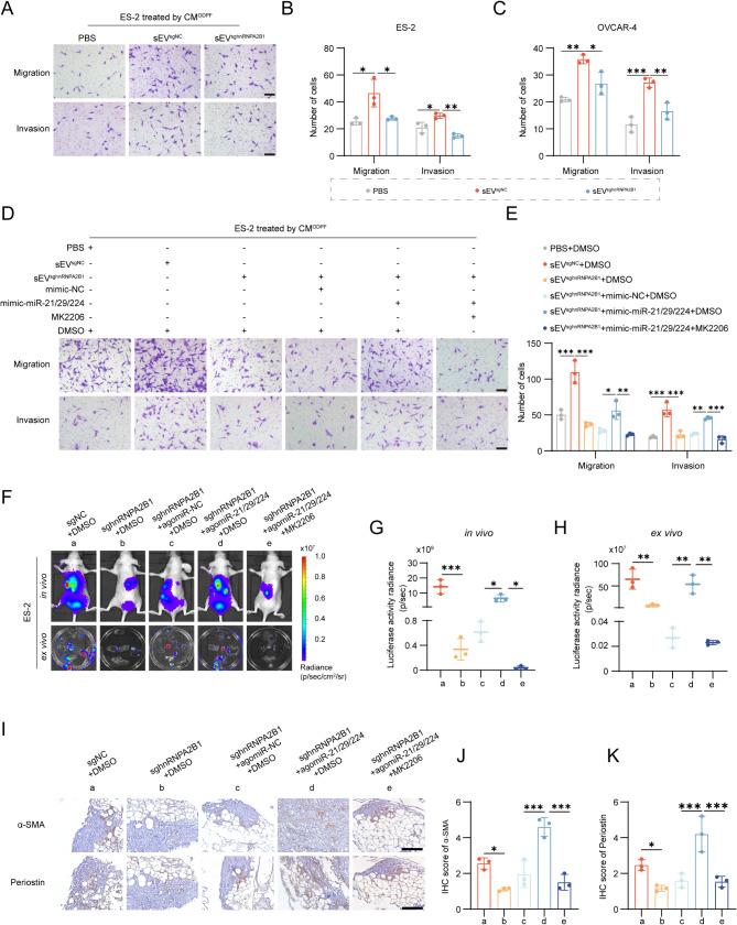
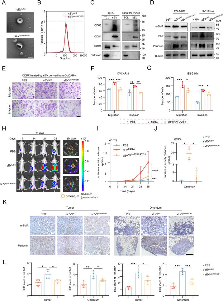
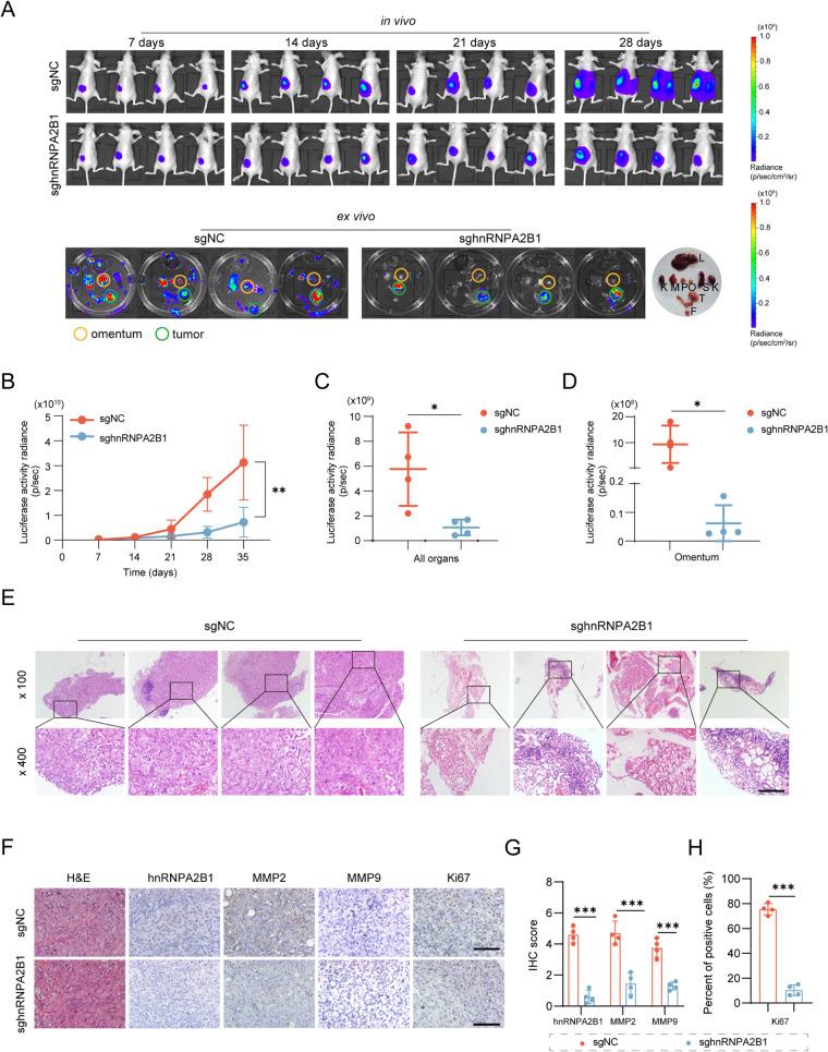
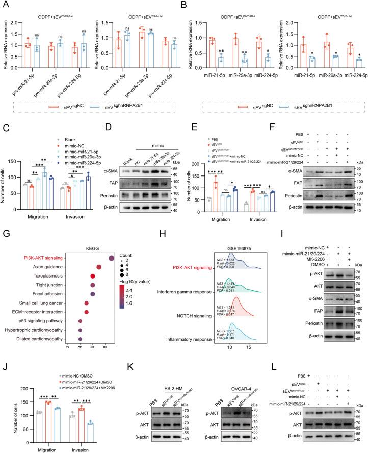
In this study, among the RNA-binding proteins, hnRNPA2B1 was identified as the most significant factor associated with survival in OvCa patients, and its expression was higher in omental metastases compared to paired ovarian lesions. Based on the CRISPR-Cas9 technique, orthotopic xenograft mice revealed a remarkable metastasis-inhibiting effect of hnRNPA2B1-knockdown, accompanied by diminished myofibroblast signals in the omentum. Meanwhile, after hnRNPA2B1-knockdown, OvCa-sEVs largely lost the ability to promote omental metastasis and myofibroblast activation in vivo and in vitro. High-throughput miRNA sequencing of sEV cargoes revealed that UAG motif-containing miRNAs were significantly affected by hnRNPA2B1, and RNA immunoprecipitation (RIP) verified their direct binding to hnRNPA2B1. In pull down assays, the miRNAs with mutated UAG motif exhibited decreased binding capacity to hnRNPA2B1. The myofibroblasts activated by OvCa-sEVs could promote tumor metastasis, and this effect was notably impacted by manipulating hnRNPA2B1, related sEV-miRNAs, and PI3K/AKT signaling.

CONCLUSIONS

These findings highlight the miRNA sorting to sEVs mediated by hnRNPA2B1 as an important mechanism involved in OvCa metastasis, which may illuminate new therapeutic strategies.

摘要

背景

卵巢癌(OvCa)转移由包含微小RNA(miRNA)的小细胞外囊泡(sEV)介导的肿瘤-基质相互作用引发并促进。然而,将相关miRNA分选到肿瘤sEV中的机制仍不清楚。

结果

在本研究中,在RNA结合蛋白中,异质性核糖核蛋白A2B1(hnRNPA2B1)被确定为与OvCa患者生存相关的最显著因素,并且与配对的卵巢病变相比,其在网膜转移灶中的表达更高。基于CRISPR-Cas9技术,原位异种移植小鼠显示hnRNPA2B1敲低具有显著的转移抑制作用,同时网膜中的肌成纤维细胞信号减弱。与此同时,hnRNPA2B1敲低后,OvCa-sEV在体内和体外基本丧失了促进网膜转移和肌成纤维细胞活化的能力。对sEV货物进行高通量miRNA测序发现,含UAG基序的miRNA受到hnRNPA2B1的显著影响,RNA免疫沉淀(RIP)验证了它们与hnRNPA2B1的直接结合。在下拉实验中,具有突变UAG基序的miRNA与hnRNPA2B1的结合能力降低。由OvCa-sEV激活的肌成纤维细胞可促进肿瘤转移,而通过操纵hnRNPA2B1、相关的sEV-miRNA和PI3K/AKT信号传导,这一效应受到显著影响。

结论

这些发现突出了由hnRNPA2B1介导的miRNA分选到sEV中是参与OvCa转移的重要机制,这可能为新的治疗策略提供思路。

https://cdn.ncbi.nlm.nih.gov/pmc/blobs/2a31/11969718/f9c17dff2d5f/12951_2025_3342_Fig1_HTML.jpg

文献AI研究员

20分钟写一篇综述,助力文献阅读效率提升50倍。

立即体验

用中文搜PubMed

大模型驱动的PubMed中文搜索引擎

马上搜索

文档翻译

学术文献翻译模型,支持多种主流文档格式。

立即体验