Suppr超能文献

蛋白质组和泛素化蛋白质组揭示了水稻中由……介导的耐寒性调控机制。 (注:原文中“by”后面内容缺失)

Proteomes and ubiquitylomes reveal the regulation mechanism of cold tolerance mediated by in rice.

作者信息

Zhang Li, Huang Renyan, Mao Donghai, Zeng Jia, Fang Pengpeng, He Qiang, Shu Fu, Deng Huafeng, Zhang Wuhan, Sun Pingyong

机构信息

State Key Laboratory of Hybrid Rice, Hunan Hybrid Rice Research Center, Hunan Academy of Agricultural Sciences, Changsha, China.

Hunan Institute of Nuclear Agriculture Sciences and Chinese Herbal Medicines, Changsha, China.

出版信息

Front Plant Sci. 2025 Mar 21;16:1531399. doi: 10.3389/fpls.2025.1531399. eCollection 2025.

Abstract

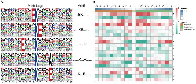
Low temperature is one of the major abiotic stresses that severely restrict the development of rice. It has been demonstrated previously that enhances cold tolerance in rice, the molecular mechanism of which remains unknown. This study employed a combination of proteome and ubiquitylome approaches to analyze mediated chilling between the overexpression line (OX) and wild type (CK). Proteome results showed that 6,157 proteins were identified and 5,045 proteins were quantified after 24-h cold treatment. A total of 59 proteins were upregulated and 63 proteins were downregulated in the OX24 vs. OX0 group; 27 proteins were upregulated and 34 proteins were downregulated in OX24 vs. CK24. Finally, 3,789 ubiquitination modification sites were located on 1,846 proteins, of which 2,695 sites of 1,376 proteins contained quantitative information. However, 178 sites in 131 proteins were quantified as upregulated and 92 sites in 72 proteins were quantified as downregulated differentially ubiquitin-modified proteins (DUMPs) in OX24 vs. OX0. To the contrary, 82 sites in 71 proteins were identified as upregulated and 13 sites in 12 proteins were identified as downregulated DUMPs in CK24 vs. OX24. The results suggested that global ubiquitination levels increase during cold tolerance in rice. In total, 76 differentially abundant proteins and 101 DUMPs were co-localized within 50 cold or stress tolerance Quantitative Trait Locis (QTLs). The combined analysis of proteomics and ubiquitination omics found that five proteins demonstrated opposing changes in protein and ubiquitination; the protein Q6ZH84 (Os02g0593700) was an upregulated differentially abundant protein (DAP) but was a downregulated DUMP in OX24 vs. OX0, which is a homologous gene of that regulated cold tolerance. Os02g0593700 should upregulate protein expression by reducing ubiquitination modification, thus affecting cold tolerance. The enrichment pathway shows that plays an important role in rice cold tolerance by ubiquitination through glutathione metabolism and arachidonic acid metabolism. The research provides a new perspective on the molecular mechanism of cold tolerance regulated by .

摘要

低温是严重限制水稻生长发育的主要非生物胁迫之一。先前已经证明[具体物质未明确]可增强水稻的耐寒性,但其分子机制尚不清楚。本研究采用蛋白质组学和泛素化组学相结合的方法,分析了过表达系(OX)和野生型(CK)之间[具体物质未明确]介导的冷胁迫。蛋白质组学结果显示,在24小时冷处理后,共鉴定出6157种蛋白质,5045种蛋白质得到定量。在OX24与OX0组中,共有59种蛋白质上调,63种蛋白质下调;在OX24与CK24组中,27种蛋白质上调,34种蛋白质下调。最终,在1846种蛋白质上定位到3789个泛素化修饰位点,其中1376种蛋白质的2695个位点包含定量信息。然而,在OX24与OX0组中,131种蛋白质中的178个位点被定量为上调的差异泛素化修饰蛋白(DUMP),72种蛋白质中的92个位点被定量为下调的DUMP。相反,在CK24与OX24组中,71种蛋白质中的82个位点被鉴定为上调的DUMP,12种蛋白质中的13个位点被鉴定为下调的DUMP。结果表明,在水稻耐寒过程中,整体泛素化水平升高。总共76种差异丰度蛋白质和101个DUMP共定位于50个耐寒或耐胁迫数量性状位点(QTL)内。蛋白质组学和泛素化组学的联合分析发现,有5种蛋白质在蛋白质和泛素化方面表现出相反的变化;蛋白质Q6ZH84(Os02g0593700)在OX24与OX0组中是上调的差异丰度蛋白(DAP),但却是下调的DUMP,它是[相关基因未明确]的同源基因,该基因调控耐寒性。Os02g0593700可能通过减少泛素化修饰来上调蛋白质表达,从而影响耐寒性。富集途径表明,[具体物质未明确]通过谷胱甘肽代谢和花生四烯酸代谢的泛素化作用在水稻耐寒性中发挥重要作用。该研究为[具体物质未明确]调控耐寒性的分子机制提供了新的视角。

https://cdn.ncbi.nlm.nih.gov/pmc/blobs/ac60/11968423/09025a2db022/fpls-16-1531399-g001.jpg

文献AI研究员

20分钟写一篇综述,助力文献阅读效率提升50倍。

立即体验

用中文搜PubMed

大模型驱动的PubMed中文搜索引擎

马上搜索

文档翻译

学术文献翻译模型,支持多种主流文档格式。

立即体验