Suppr超能文献

探索水果乙醇粗提物对乙醇介导的胃糜烂的潜在保护和抗炎作用。

Exploring the potential protective and anti-inflammatory effects of the crude ethanolic extract of fruit against Ethanol-mediated gastric erosion.

作者信息

Al-Zubaidi Hanadi J, Mohammed Mohammed T, Al-Zebeeby Aoula, Alkaby Azhar A, Hassan Wurood Razzaq

机构信息

Department of Pathology and Poultry Diseases, Faculty of Veterinary Medicine, University of Kufa, Al-Najaf Al-Ashraf, Iraq.

Department of Veterinary Microbiology, Faculty of Veterinary Medicine, University of Kufa, Kufa, Al-Najaf Al-Ashraf, Iraq.

出版信息

Open Vet J. 2025 Feb;15(2):795-803. doi: 10.5455/OVJ.2025.v15.i2.28. Epub 2025 Feb 28.

Abstract

BACKGROUND

is a medically important fruit that belongs to the family Annonaceae and has many medical benefits, including antiulcer effects.

AIM

The present study explored the potential protection and anti-inflammatory effects of the crude ethanolic extract of (EEA) against ethanol-mediated peptic sever erosion using a rodent model in comparison with a synthetic compound broadly used in clinics to tackle peptic disturbances, known as Omeprazole.

METHODS

To do that, twenty-four both sex Wistar rats were assigned into four groups (six rats per group), namely control negative (C-) and control positive (C+) both received normal saline, Omeprazole (OM) administered OM at a dose of 20 mg/kg of body, and crude EEA received the extract at a dose of 200 mg/kg for two weeks. All groups except the C- group received absolute ethanol at a dose of 5 ml/kg of body weight for 1 hour. After euthanization, the gross ulcer index and protection ratio results exhibited a good percentage of protection in the EEA group compared with the C+ and OM groups.

RESULTS

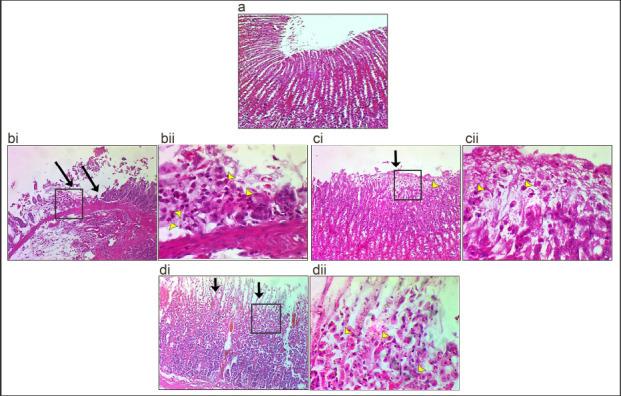
These results were correlated with histopathological examination, which indicated that the gastric lesion of the EEA showed erosion in the pits area and isthmus, including destruction of parietal cells, whereas the gastric lesion of the C+ group showed severe necrosis of epithelial cells of the gastric mucosa, resulting in the absence of all mucosal layers of the affected area. In addition, the results revealed the anti-inflammatory properties of EEA through its ability to control the regulation of TNF-α and IL-1α. Both proteins were downregulated in response to the presence of EEA. Conclusion: To our knowledge, this is the first study to detect high IL-1α in ethanol-induced severe gastric erosion. These results suggested that EEA exhibited protective and anti-inflammatory effects against ethanol-mediated gastric erosion.

摘要

背景

是一种具有重要医学价值的水果,属于番荔枝科,有许多医学益处,包括抗溃疡作用。

目的

本研究使用啮齿动物模型,探讨了(水果名称未给出,推测为某水果)粗乙醇提取物(EEA)对乙醇介导的消化性严重溃疡的潜在保护和抗炎作用,并与临床上广泛用于治疗消化性紊乱的合成化合物奥美拉唑进行比较。

方法

为此,将24只雌雄Wistar大鼠分为四组(每组6只大鼠),即阴性对照组(C-)和阳性对照组(C+)均接受生理盐水,奥美拉唑组(OM)以20mg/kg体重的剂量给予奥美拉唑,粗EEA组以200mg/kg的剂量给予提取物,持续两周。除C-组外,所有组均接受5ml/kg体重的无水乙醇,持续1小时。安乐死后,与C+组和OM组相比,EEA组的大体溃疡指数和保护率结果显示出良好的保护百分比。

结果

这些结果与组织病理学检查相关,结果表明EEA组的胃部病变显示在胃小凹区域和峡部有糜烂,包括壁细胞的破坏,而C+组的胃部病变显示胃黏膜上皮细胞严重坏死,导致受影响区域所有黏膜层缺失。此外,结果通过其控制TNF-α和IL-1α调节的能力揭示了EEA的抗炎特性。这两种蛋白质在EEA存在时均下调。结论:据我们所知,这是第一项检测乙醇诱导的严重胃糜烂中高IL-1α的研究。这些结果表明,EEA对乙醇介导的胃糜烂具有保护和抗炎作用。

https://cdn.ncbi.nlm.nih.gov/pmc/blobs/d642/11974273/65c947cc9dba/OpenVetJ-15-795-g001.jpg

文献AI研究员

20分钟写一篇综述,助力文献阅读效率提升50倍。

立即体验

用中文搜PubMed

大模型驱动的PubMed中文搜索引擎

马上搜索

文档翻译

学术文献翻译模型,支持多种主流文档格式。

立即体验