Suppr超能文献

三参散方剂通过增强突触功能来抑制阿尔茨海默病的认知功能和病理变化。

Sanshen San Formula Hinders Cognitive Function and Pathology in Alzheimer's Disease Through Potentiating the Function of Synapse.

作者信息

Chang Shiquan, Ding Nana, Li Yalin, Li Ying, Tang Ziling, Pan Junping, Yan Li, Chen Jiaxu

机构信息

Guangzhou Key Laboratory of Formula-Pattern of Traditional Chinese, Medicine, Jinan University, Guangzhou, China.

College of Basic Medicine, Hubei University of Chinese Medicine, Wuhan, China.

出版信息

CNS Neurosci Ther. 2025 Apr;31(4):e70349. doi: 10.1111/cns.70349.

Abstract

BACKGROUND

Alzheimer's disease (AD) constitutes a devastating neurodegenerative disorder, manifested by amyloid-β aggregation, phosphorylated tau accumulation, and progressive cognitive deterioration. Current therapeutic interventions remain predominantly symptomatic, underscoring the urgency for more efficacious treatment strategies.

PURPOSE

This study elucidated the therapeutic potential of Sanshen San (SSS), a traditional Chinese herbal formula encompassing Polygala Radix, Pini Radix in Poria, and Acori Tatarinowii Rhizoma, on cognitive function and AD pathology.

METHODS

We implemented both acute Aβ-injected mice and 5xFAD transgenic mouse models. The therapeutic efficacy of SSS was assessed through behavioral paradigms including Y-maze, Novel Object Recognition, and Morris Water Maze. Molecular mechanisms were delineated utilizing RNA sequencing, metabolomics analysis, immunofluorescence staining, Golgi-Cox staining, transmission electron microscopy, and Western blotting.

RESULTS

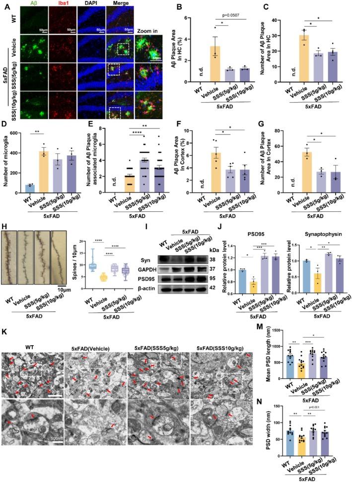
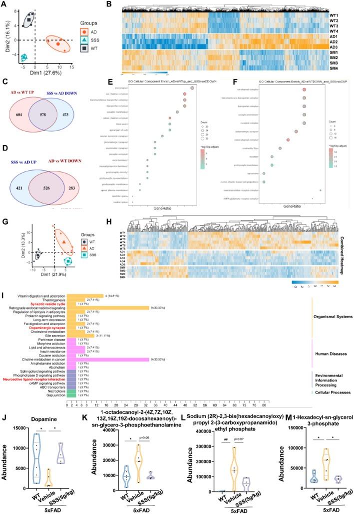
Chemical analysis unveiled 10 principal bioactive compounds in SSS. The formula substantially ameliorated cognitive performance in both Aβ-injected and 5xFAD mouse models, attenuated Aβ plaque burden, and augmented microglial phagocytosis. SSS safeguarded synaptic integrity, enhanced mitochondrial function, and facilitated autophagy. Transcriptomic and metabolomic analyses demonstrated that SSS predominantly operates by reinstating synaptic transmission and neurotransmitter function, particularly in the dopaminergic system.

CONCLUSION

SSS efficaciously mitigates AD pathology through potentiating synaptic function, optimizing mitochondrial homeostasis, and restoring neurotransmitter balance, exemplifying a promising multi-target therapeutic strategy for the treatment of AD.

摘要

背景

阿尔茨海默病(AD)是一种毁灭性的神经退行性疾病,表现为β淀粉样蛋白聚集、磷酸化tau蛋白积累以及进行性认知衰退。目前的治疗干预措施主要仍为对症治疗,这凸显了更有效治疗策略的紧迫性。

目的

本研究阐明了中药配方参参散(SSS)(包含远志、茯苓中的茯苓根、石菖蒲)对认知功能和AD病理的治疗潜力。

方法

我们采用了急性注射Aβ的小鼠和5xFAD转基因小鼠模型。通过Y迷宫、新物体识别和莫里斯水迷宫等行为范式评估了SSS的治疗效果。利用RNA测序、代谢组学分析、免疫荧光染色、高尔基-考克斯染色、透射电子显微镜和蛋白质免疫印迹法来阐明分子机制。

结果

化学分析揭示了SSS中的10种主要生物活性化合物。该配方显著改善了注射Aβ的小鼠模型和5xFAD小鼠模型的认知表现,减轻了Aβ斑块负担,并增强了小胶质细胞的吞噬作用。SSS保护了突触完整性,增强了线粒体功能,并促进了自噬。转录组学和代谢组学分析表明,SSS主要通过恢复突触传递和神经递质功能来发挥作用,特别是在多巴胺能系统中。

结论

SSS通过增强突触功能、优化线粒体稳态和恢复神经递质平衡有效减轻了AD病理,是一种有前景的治疗AD的多靶点治疗策略。

https://cdn.ncbi.nlm.nih.gov/pmc/blobs/e037/11979623/c0b4ada552ad/CNS-31-e70349-g002.jpg

文献AI研究员

20分钟写一篇综述,助力文献阅读效率提升50倍。

立即体验

用中文搜PubMed

大模型驱动的PubMed中文搜索引擎

马上搜索

文档翻译

学术文献翻译模型,支持多种主流文档格式。

立即体验