Suppr超能文献

阐明Trem2在脂质代谢和神经炎症中的作用。

Elucidating the Role of Trem2 in Lipid Metabolism and Neuroinflammation.

作者信息

Zhao Chenhui, Qi Wei, Lv Xiaoping, Gao Xueli, Liu Chaonan, Zheng Shimin

机构信息

College of Veterinary Medicine, Northeast Agricultural University, Harbin, China.

Heilongjiang Key Laboratory of Laboratory Animals and Comparative Medicine, Harbin, China.

出版信息

CNS Neurosci Ther. 2025 Apr;31(4):e70338. doi: 10.1111/cns.70338.

Abstract

BACKGROUND

Alzheimer's disease (AD) is a neurodegenerative disorder characterized by cognitive impairment and neuroinflammation. Astrocytes play a key role in the neuroinflammatory environment of AD, especially through lipid metabolism regulation. However, the mechanisms by which astrocytes, particularly through the triggering receptor expressed on myeloid cells 2 (Trem2) receptor, contribute to lipid dysregulation and neuroinflammation in AD remain inadequately understood.

METHODS

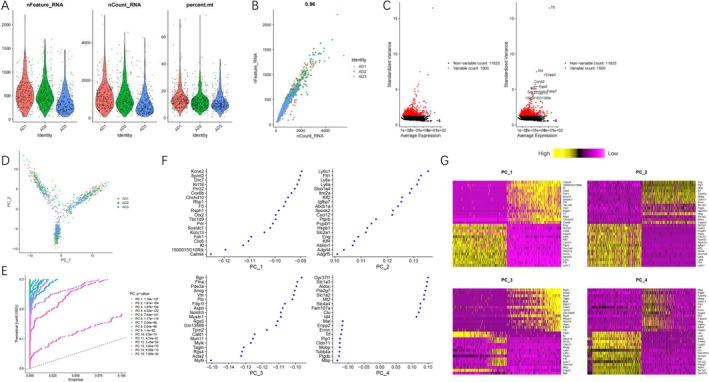
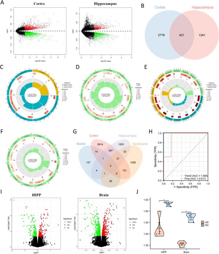
We employed an AD mouse model and integrated single-cell RNA sequencing (scRNA-seq), transcriptomics, and high-throughput metabolomics to analyze lipid metabolism and inflammatory profiles in astrocytes. Differential gene expression was further validated with the GEO database, and in vitro and in vivo experiments were conducted to assess the impact of Trem2 modulation on astrocytic inflammation and lipid composition.

RESULTS

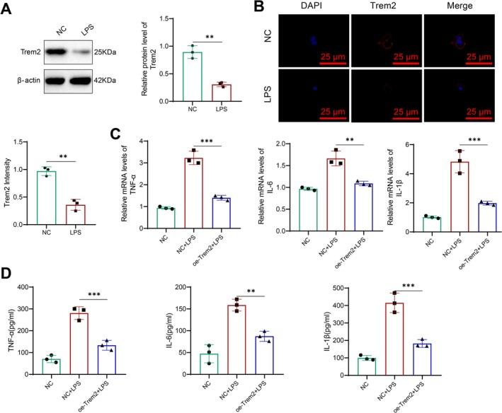
Our findings demonstrate that Trem2 modulates lipid metabolism in astrocytes, affecting fatty acid and phospholipid pathways. In the AD model, Trem2 expression was suppressed, enhancing nuclear factor-κB (NF-κB) signaling and promoting the secretion of pro-inflammatory factors such as tumor necrosis factor-α (TNF-α) and interleukin-6 (IL-6). Trem2 overexpression reduced astrocytic inflammation and altered lipid composition, attenuating neuroinflammation both in vitro and in vivo. These results underscore Trem2's regulatory role in lipid metabolism and its significant impact on neuroinflammation in AD.

CONCLUSIONS

This study identifies Trem2 as a pivotal regulator of astrocytic lipid metabolism and neuroinflammation in AD, providing potential molecular targets for early intervention and therapeutic strategies aimed at mitigating AD progression.

摘要

背景

阿尔茨海默病(AD)是一种以认知障碍和神经炎症为特征的神经退行性疾病。星形胶质细胞在AD的神经炎症环境中起关键作用,尤其是通过脂质代谢调节。然而,星形胶质细胞,特别是通过髓样细胞2(Trem2)受体上表达的触发受体,导致AD脂质失调和神经炎症的机制仍未得到充分理解。

方法

我们采用AD小鼠模型,并整合单细胞RNA测序(scRNA-seq)、转录组学和高通量代谢组学来分析星形胶质细胞中的脂质代谢和炎症谱。通过GEO数据库进一步验证差异基因表达,并进行体外和体内实验,以评估Trem2调节对星形胶质细胞炎症和脂质组成的影响。

结果

我们的研究结果表明,Trem2调节星形胶质细胞中的脂质代谢,影响脂肪酸和磷脂途径。在AD模型中,Trem2表达受到抑制,增强了核因子-κB(NF-κB)信号传导,并促进了肿瘤坏死因子-α(TNF-α)和白细胞介素-6(IL-6)等促炎因子的分泌。Trem2过表达减少了星形胶质细胞炎症并改变了脂质组成,在体外和体内均减轻了神经炎症。这些结果强调了Trem2在脂质代谢中的调节作用及其对AD神经炎症的重大影响。

结论

本研究确定Trem2是AD中星形胶质细胞脂质代谢和神经炎症的关键调节因子,为旨在减缓AD进展的早期干预和治疗策略提供了潜在的分子靶点。

https://cdn.ncbi.nlm.nih.gov/pmc/blobs/c7ad/11982525/8f3ade0eea99/CNS-31-e70338-g007.jpg

文献AI研究员

20分钟写一篇综述,助力文献阅读效率提升50倍。

立即体验

用中文搜PubMed

大模型驱动的PubMed中文搜索引擎

马上搜索

文档翻译

学术文献翻译模型,支持多种主流文档格式。

立即体验