Suppr超能文献

使用浓缩生长因子对一颗未成熟的下颌第一磨牙三根进行血管再生:病例报告

Revascularization of an Immature Three Rooted First Mandibular Molar Using Concentrated Growth Factor: A Case Report.

作者信息

Mehrabani Mahgol, Goodarzy Arya, Feli Mojgan

机构信息

Department of Endodontics, School of Dentistry, Shahid Beheshti University of Medical Sciences, Tehran, Iran.

School of Dentistry, Shahid Beheshti University of Medical Sciences, Tehran, Iran.

出版信息

Iran Endod J. 2025;20(1):e11. doi: 10.22037/iej.v20i1.46700. Epub 2025 Jan 18.

Abstract

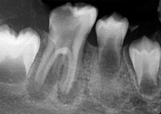
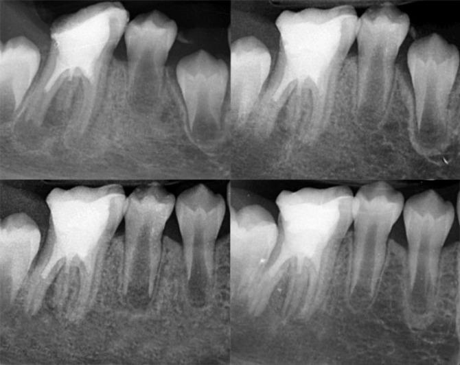
Regenerative endodontic procedures (REPs) have emerged as a biologically driven approach for managing immature teeth with necrotic pulp and open apices, providing an alternative to traditional apexification techniques. This case report describes the successful treatment of a three-rooted immature mandibular first molar with necrotic pulp and chronic apical periodontitis in a 9-year-old patient using REPs. The treatment followed the guidelines set by the American Association of Endodontists and utilized a two-visit protocol. Concentrated growth factor (CGF) was employed as a biological scaffold in the root canals, while calcium-enriched mixture (CEM) cement was used for the coronal seal. Radiographic evaluations conducted at 6, 12, and 15 months revealed progressive periapical healing, significant root elongation, increased thickness of the root walls, and partial apical closure. Clinically, the patient remained asymptomatic during all follow-ups. This case highlights the potential of CGF and CEM cement-enhanced REPs to promote continued root development and achieve predictable outcomes in immature teeth with necrotic pulps, offering a biologically based alternative to conventional apexification.

摘要

再生牙髓治疗程序(REPs)已成为一种以生物学为驱动的方法,用于处理牙髓坏死且根尖孔开放的未成熟牙齿,为传统根尖诱导成形技术提供了一种替代方案。本病例报告描述了一名9岁患者的下颌第一恒磨牙三根未成熟牙,患有牙髓坏死和慢性根尖周炎,采用REPs成功治疗的过程。治疗遵循美国牙髓病学家协会制定的指南,并采用了两次就诊方案。浓缩生长因子(CGF)被用作根管内的生物支架,而富钙混合物(CEM)水泥用于冠部封闭。在6个月、12个月和15个月时进行的影像学评估显示根尖周逐渐愈合、牙根显著伸长、根壁厚度增加以及根尖部分闭合。临床上,患者在所有随访期间均无症状。本病例突出了CGF和CEM水泥增强的REPs在促进未成熟牙髓坏死牙齿持续牙根发育并实现可预测结果方面的潜力,为传统根尖诱导成形提供了一种基于生物学的替代方法。

https://cdn.ncbi.nlm.nih.gov/pmc/blobs/dfaa/11981003/58726c03f712/IEJ-20-e11-g001.jpg

文献AI研究员

20分钟写一篇综述,助力文献阅读效率提升50倍。

立即体验

用中文搜PubMed

大模型驱动的PubMed中文搜索引擎

马上搜索

文档翻译

学术文献翻译模型,支持多种主流文档格式。

立即体验