Suppr超能文献

多发性肺内不确定结节(IPNs)作为儿童骨肉瘤独立预后指标的十年回顾性研究

Multiple Indeterminate pulmonary nodules (IPNs) as independent prognostic indicators in pediatric osteosarcoma: A ten-year retrospective study.

作者信息

Weitao Yao, Xinhui Du, Zhehuang Li, Jingyu Hou, Shengbiao Ma, Panhong Zhang, Xiaohui Niu

机构信息

Bone and Soft Department, the Affiliated Cancer Hospital of Zheng Zhou University, He Nan Cancer Hospital, China.

Department of Orthopedic Oncology Surgery, Beijing Ji Shui Tan Hospital, Peking University, China.

出版信息

J Bone Oncol. 2025 Mar 19;52:100674. doi: 10.1016/j.jbo.2025.100674. eCollection 2025 Jun.

Abstract

BACKGROUND

Osteosarcoma is the most common primary malignant bone tumor in pediatric and adolescent patients. Although pulmonary metastasis is a key driver of prognosis, the role of IPNs in risk stratification remains inadequately defined.

OBJECTIVE

This study aims to assess the incidence, progression, and prognostic significance of IPNs in pediatric and adolescent osteosarcoma patients, providing insights for clinical staging and treatment strategy development.

METHODS

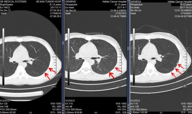
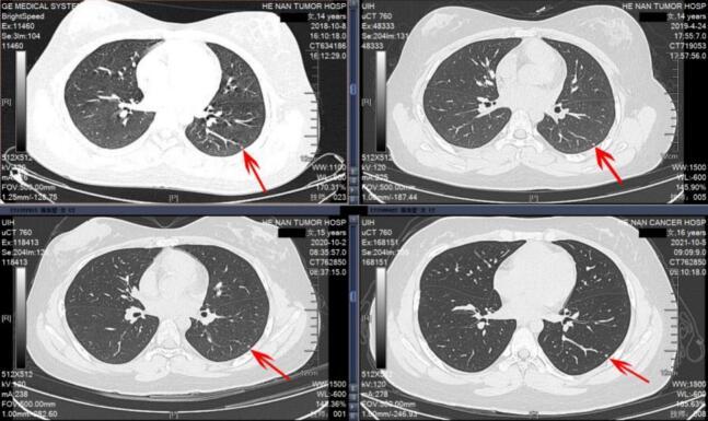
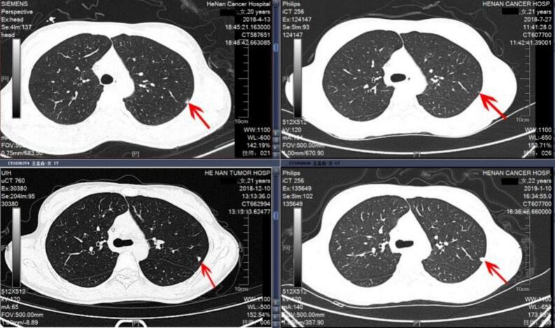
We retrospectively analyzed clinical data from 126 osteosarcoma patients aged 20 years or younger who were treated at Henan Cancer Hospital between January 2012 and January 2022. Pre-treatment thin-slice computed tomography (CT) scans of lung were used to categorize patients into three groups: no IPN (n = 100), solitary IPN (n = 16), and multiple IPNs (n = 10). Baseline characteristics, primary tumor parameters, treatment modalities, and follow-up data were collected. Univariate and multivariate analyses were conducted to assess risk factors and survival outcomes.

RESULTS

The overall incidence of IPNs was 20.6 %, with multiple IPNs accounting for 38.5 % of the IPN-positive cases. A significantly higher proportion of patients in the IPN-positive group had bone involvement exceeding one-third of the total affected bone compared to the no-IPN group (57.7 % vs. 34.0 %, p = 0.016). While univariate analysis suggested a potential association between tumor diameter > 8 cm and IPN occurrence (odds ratio [OR] = 2.08, 95 % confidence interval [CI]: 0.83-5.21, p = 0.120), this was not statistically significant in multivariate analysis (OR = 3.61, p = 0.283). Kaplan-Meier survival analysis revealed that the 3-year metastasis-free survival (MFS) and overall survival (OS) rates in the IPN-positive group were significantly lower than those in the no-IPN group (MFS: 57.7 % vs. 64.0 %, p = 0.03; OS: 65.4 % vs. 76.0 %, p = 0.04). Further subgroup analysis indicated that while solitary IPN cases had survival outcomes comparable to those without IPNs, multiple IPN cases exhibited a markedly reduced 5-year OS (30.0 % vs. 69.0 %, p = 0.045). Cox regression analysis demonstrated that multiple IPNs increased the risk of death by 2.87-fold (hazard ratio [HR] = 2.87, p = 0.020).

CONCLUSION

Indeterminate Pulmonary Nodules are relatively common in pediatric osteosarcoma patients. In particular, multiple IPNs are strongly associated with a higher tumor burden and increased metastatic potential, serving as an independent indicator of poor prognosis. These findings emphasize the importance of preoperative IPN assessment and risk stratification in guiding individualized treatment strategies.

摘要

背景

骨肉瘤是儿童和青少年患者中最常见的原发性恶性骨肿瘤。尽管肺转移是预后的关键驱动因素,但不确定肺结节(IPNs)在风险分层中的作用仍未得到充分界定。

目的

本研究旨在评估儿童和青少年骨肉瘤患者中IPNs的发生率、进展情况及预后意义,为临床分期和治疗策略的制定提供见解。

方法

我们回顾性分析了2012年1月至2022年1月在河南省肿瘤医院接受治疗的126例20岁及以下骨肉瘤患者的临床资料。使用治疗前肺部薄层计算机断层扫描(CT)将患者分为三组:无IPN(n = 100)、孤立性IPN(n = 16)和多发性IPN(n = 10)。收集基线特征、原发肿瘤参数、治疗方式和随访数据。进行单因素和多因素分析以评估危险因素和生存结果。

结果

IPNs的总体发生率为20.6%,其中多发性IPN占IPN阳性病例的38.5%。与无IPN组相比,IPN阳性组中骨受累超过总受累骨三分之一的患者比例显著更高(57.7%对34.0%,p = 0.016)。虽然单因素分析表明肿瘤直径>8 cm与IPN发生之间可能存在关联(优势比[OR]=2.08,95%置信区间[CI]:0.83 - 5.21,p = 0.120),但在多因素分析中这一结果无统计学意义(OR = 3.61,p = 0.283)。Kaplan-Meier生存分析显示,IPN阳性组的3年无转移生存率(MFS)和总生存率(OS)显著低于无IPN组(MFS:57.7%对64.0%,p = 0.03;OS:65.4%对76.0%,p = 0.04)。进一步的亚组分析表明,虽然孤立性IPN病例的生存结果与无IPN的病例相当,但多发性IPN病例的5年OS明显降低(30.0%对69.0%,p = 0.045)。Cox回归分析表明,多发性IPN使死亡风险增加2.87倍(风险比[HR]=2.87,p = 0.020)。

结论

不确定肺结节在儿童骨肉瘤患者中相对常见。特别是,多发性IPN与更高的肿瘤负荷和增加的转移潜能密切相关,是预后不良的独立指标。这些发现强调了术前IPN评估和风险分层在指导个体化治疗策略中的重要性。

https://cdn.ncbi.nlm.nih.gov/pmc/blobs/2d4f/11982048/5e33078d4e29/gr1.jpg

文献AI研究员

20分钟写一篇综述,助力文献阅读效率提升50倍。

立即体验

用中文搜PubMed

大模型驱动的PubMed中文搜索引擎

马上搜索

文档翻译

学术文献翻译模型,支持多种主流文档格式。

立即体验