Suppr超能文献

纤维化型肺结节病——从发病机制到治疗

Fibrotic Pulmonary Sarcoidosis-From Pathogenesis to Management.

作者信息

Łyżwa Ewa, Wakuliński Jacek, Szturmowicz Monika, Tomkowski Witold, Sobiecka Małgorzata

机构信息

1st Department of Lung Diseases, National Research Institute of Tuberculosis and Lung Diseases, 01-138 Warsaw, Poland.

Department of Radiology, National Research Institute of Tuberculosis and Lung Diseases, 01-138 Warsaw, Poland.

出版信息

J Clin Med. 2025 Mar 30;14(7):2381. doi: 10.3390/jcm14072381.

Abstract

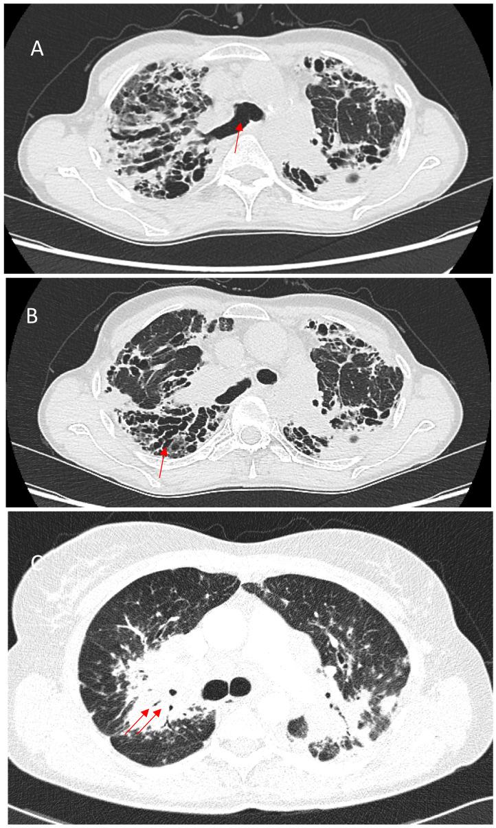
Sarcoidosis is a multiorgan, granulomatous disease of an unknown etiology. The characteristic feature of the disease is the formation of noncaseating granulomas. Spontaneous resolution occurs in most patients, but the clinical course may be chronic or progressive, complicated by pulmonary fibrosis, which is a major cause of mortality in sarcoidosis. Recent studies have provided new information on the immunological mechanisms of pulmonary fibrosis. Its pathogenesis includes the alteration of lymphocyte activity and the imbalance between their subpopulations, the polarization of macrophages to the profibrotic phenotype, and an imbalance between the activity of metalloproteinases and their tissue inhibitors. A multidisciplinary approach is required for the optimal management of fibrotic pulmonary sarcoidosis. Clinical symptoms, serum biomarkers, imaging, pulmonary function test results, other organ involvement, comorbidities, and complications should be considered when assessing disease activity and selecting the most appropriate treatment. The use of anti-inflammatory drugs is often discussed. There has been no consensus reached on whether antifibrotic agents should be added or used in monotherapy as initial treatment in such cases. This article will review all the information on fibrotic pulmonary sarcoidosis and present factors associated with fibrosis development, prognosis, and treatment options.

摘要

结节病是一种病因不明的多器官肉芽肿性疾病。该病的特征性表现是形成非干酪样肉芽肿。大多数患者可自发缓解,但临床病程可能是慢性或进行性的,并伴有肺纤维化,这是结节病患者死亡的主要原因。最近的研究提供了关于肺纤维化免疫机制的新信息。其发病机制包括淋巴细胞活性改变及其亚群之间的失衡、巨噬细胞向促纤维化表型的极化,以及金属蛋白酶与其组织抑制剂活性之间的失衡。对于纤维化型肺结节病的最佳管理需要多学科方法。在评估疾病活动度和选择最合适的治疗方法时,应考虑临床症状、血清生物标志物、影像学检查、肺功能测试结果、其他器官受累情况、合并症及并发症。抗炎药物的使用经常被讨论。对于在这类病例中是否应添加抗纤维化药物或使用其单一疗法作为初始治疗,尚未达成共识。本文将综述关于纤维化型肺结节病的所有信息,并介绍与纤维化发展、预后及治疗选择相关的因素。

https://cdn.ncbi.nlm.nih.gov/pmc/blobs/5505/11989801/7e4117e00c5e/jcm-14-02381-g001.jpg

文献AI研究员

20分钟写一篇综述,助力文献阅读效率提升50倍。

立即体验

用中文搜PubMed

大模型驱动的PubMed中文搜索引擎

马上搜索

文档翻译

学术文献翻译模型,支持多种主流文档格式。

立即体验