Suppr超能文献

维格列汀能否预防辐射诱导的卵巢早衰?对AMPK和AKT信号通路的见解。

Can vildagliptin protect against radiation-induced premature ovarian failure? Insights into the AMPK and AKT signaling pathways.

作者信息

Mahgoub Nada A, El-Sherbiny Doaa A, El-Demerdash Ebtehal

机构信息

Department of Pharmacology & Toxicology, Faculty of Pharmacy, Ain Shams University, Abbasia, Cairo, Egypt.

Preclinical & Translational Research Center, Faculty of Pharmacy, Ain Shams University, Abbasia, Cairo, Egypt.

出版信息

BMC Pharmacol Toxicol. 2025 Apr 12;26(1):81. doi: 10.1186/s40360-025-00903-5.

Abstract

BACKGROUND

Among the detrimental side effects caused by radiotherapy in young females is the ovarian damage, eventually causing premature ovarian failure (POF). While many signaling pathways contribute to the pathogenesis of POF, to date no sufficient data exist on the AMPK and AKT signaling pathways in irradiated ovaries. Both AMPK and AKT play crucial roles in the process of folliculogenesis. Vildagliptin (vilda) is a dipeptidyl peptidase-4 inhibitor with modulatory effect on both AMPK and AKT. Therefore, our study aimed to investigate the biochemical changes that occur in the AMPK/AKT signaling pathway, and the effect of co-administration of vildagliptin in radiation-induced POF.

METHODS

Female Sprague-dawley rats were randomly divided into four groups: control, radiation, radiation + vilda, or vilda alone groups. Vilda was administered orally once/day, and on the 10th day of the experiment, radiation and radiation + vilda group rats were subjected to 3.2 Gy of whole-body gamma irradiation. Behavioral activity was assessed on the 13th day of the experiment. On day 14 of the experiment, all rats were euthanized. Serum samples were collected, and ovaries were dissected for histological and biochemical analyses.

RESULTS

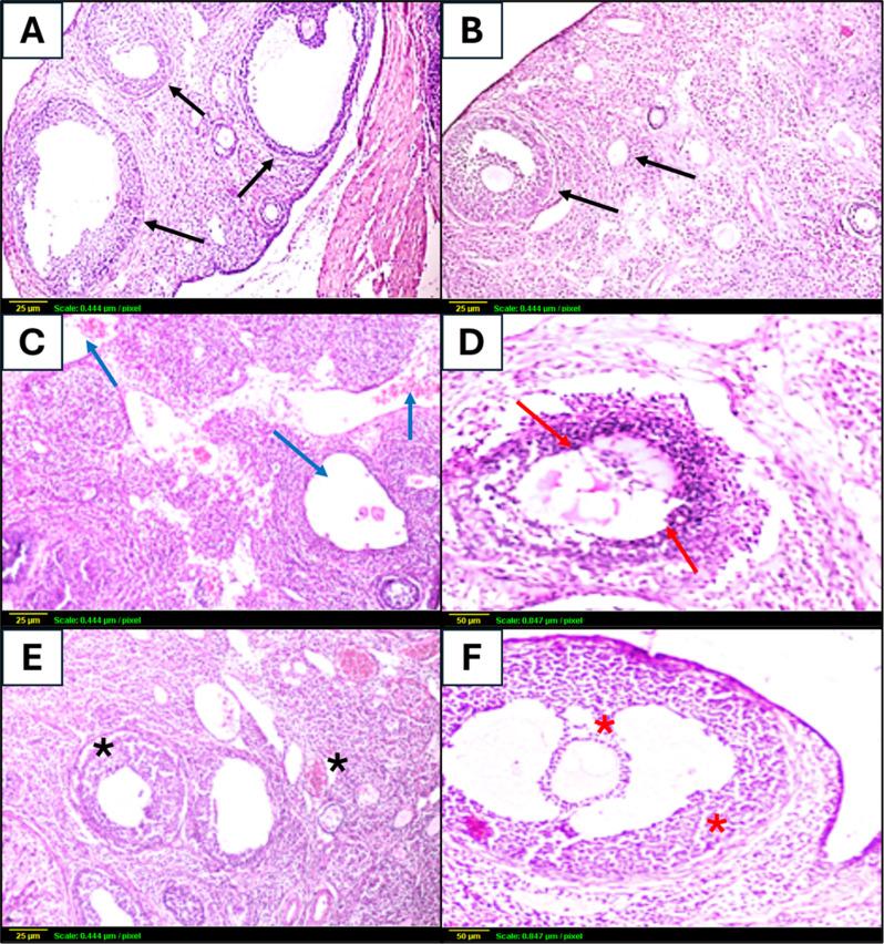
Irradiation of female rats resulted in increased locomotor hyperactivity, impaired memory, and ovarian damage as evidenced by the marked histopathological deterioration. Additionally, irradiation led to a significant decrease in body weight gain, gonadosomatic index, and serum estradiol level. Further, it caused a significant increase in serum AMH, phosphorylated AMPK, phosphorylated AKT, cytoplasmic Nrf2 expression and phosphorylated CREB levels. Co-administration of vilda exhibited neuroprotective effects, preserved the ovarian histological architecture but failed to preserve the primordial follicle pool in irradiated rats.

CONCLUSION

In conclusion, AMPK/AKT signaling pathway is upregulated in radiation-induced POF. It possibly contributes to POF pathogenesis by accelerating the activation of primordial follicles, hence leading to their premature depletion. Coadministration of vilda can protect the ovaries and temporarily preserve its endocrine function; however, it does not sustain the ovarian reproductive capacity due to the early depletion of the pool of primordial follicles. Women undergoing radiotherapy should be cautious with the use of AKT-activating drugs.

摘要

背景

放疗对年轻女性造成的有害副作用之一是卵巢损伤,最终导致卵巢早衰(POF)。虽然许多信号通路参与了POF的发病机制,但迄今为止,关于辐照卵巢中AMPK和AKT信号通路的数据尚不充分。AMPK和AKT在卵泡发生过程中均发挥关键作用。维格列汀(vilda)是一种二肽基肽酶-4抑制剂,对AMPK和AKT均有调节作用。因此,我们的研究旨在探讨AMPK/AKT信号通路中发生的生化变化,以及维格列汀联合用药对辐射诱导的POF的影响。

方法

将雌性Sprague-dawley大鼠随机分为四组:对照组、辐射组、辐射+维格列汀组或单独使用维格列汀组。维格列汀每天口服一次,在实验第10天,对辐射组和辐射+维格列汀组大鼠进行3.2 Gy的全身γ射线照射。在实验第13天评估行为活动。在实验第14天,将所有大鼠安乐死。收集血清样本,并解剖卵巢进行组织学和生化分析。

结果

雌性大鼠接受辐照后出现运动活动亢进、记忆受损和卵巢损伤,组织病理学明显恶化证明了这一点。此外,辐照导致体重增加、性腺指数和血清雌二醇水平显著降低。此外,它还导致血清AMH、磷酸化AMPK、磷酸化AKT、细胞质Nrf2表达和磷酸化CREB水平显著升高。维格列汀联合用药表现出神经保护作用,保留了卵巢组织结构,但未能保留辐照大鼠的原始卵泡库。

结论

总之,AMPK/AKT信号通路在辐射诱导的POF中上调。它可能通过加速原始卵泡的激活而导致POF发病机制,从而导致其过早耗竭。维格列汀联合用药可以保护卵巢并暂时保留其内分泌功能;然而,由于原始卵泡库的早期耗竭,它不能维持卵巢的生殖能力。接受放疗的女性应谨慎使用激活AKT的药物。

https://cdn.ncbi.nlm.nih.gov/pmc/blobs/e237/11994011/9d6498db7224/40360_2025_903_Fig1_HTML.jpg

文献AI研究员

20分钟写一篇综述,助力文献阅读效率提升50倍。

立即体验

用中文搜PubMed

大模型驱动的PubMed中文搜索引擎

马上搜索

文档翻译

学术文献翻译模型,支持多种主流文档格式。

立即体验