Suppr超能文献

在盐敏感性高血压小鼠中加剧正畸牙齿移动

Exacerbating orthodontic tooth movement in mice with salt-sensitive hypertension.

作者信息

Fan Ziqiu, Kitaura Hideki, Noguchi Takahiro, Ohori Fumitoshi, Marahleh Aseel, Ma Jinghan, Ren Jiayi, Lin Angyi, Narita Kohei, Mizoguchi Itaru

机构信息

Division of Orthodontics and Dentofacial Orthopedics, Tohoku University Graduate School of Dentistry, Sendai, Japan.

Frontier Research Institute for Interdisciplinary Sciences, Tohoku University, Sendai, Japan.

出版信息

J Dent Sci. 2025 Apr;20(2):764-769. doi: 10.1016/j.jds.2024.10.020. Epub 2024 Oct 24.

Abstract

BACKGROUND/PURPOSE: Orthodontic tooth movement (OTM) is a critical aspect of dental treatment that requires the precise control of bone remodeling processes. Hypertension (HTN) can affect the effectiveness of OTM. Salt-sensitive hypertension (SSHTN) is of particular concern due to its detrimental effects on bone health, potentially altering orthodontic outcomes. This study aimed to investigate the effects of SSHTN on OTM using a mouse model.

MATERIALS AND METHODS

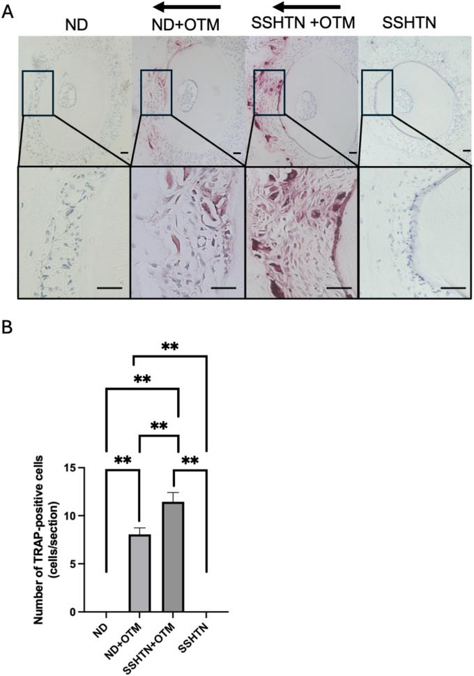
Male mice were divided into a normal and an SSHTN group. The SSHTN model was generated by administering N(ω)-nitro-l-arginine methyl ester (l-NAME) followed by a high-salt diet. The OTM was performed using a nickel-titanium (Ni-Ti) closed-coil spring, and the tooth movement was measured after 12 days. Silicone imprinting was used to estimate the OTM distance. Osteoclast activity was assessed using tartrate-resistant acid phosphatase (TRAP) staining of decalcified maxillary sections.

RESULTS

SSHTN mice exhibited significantly increased tooth movement compared to normal mice. This enhanced movement was associated with more osteoclasts in the SSHTN group than in the control group. These findings suggest that SSHTN increases OTM levels by promoting bone resorption.

CONCLUSION

SSHTN significantly affected OTM by enhancing osteoclast activity and increasing tooth movement. These results underscore the importance of considering hypertensive conditions in orthodontic treatment planning as they may require adjustments in force application to prevent potential adverse effects.

摘要

背景/目的:正畸牙齿移动(OTM)是牙科治疗的一个关键方面,需要精确控制骨重塑过程。高血压(HTN)会影响OTM的效果。盐敏感性高血压(SSHTN)因其对骨骼健康的有害影响,可能改变正畸结果,故而备受关注。本研究旨在使用小鼠模型探究SSHTN对OTM的影响。

材料与方法

将雄性小鼠分为正常组和SSHTN组。通过给予N(ω)-硝基-L-精氨酸甲酯(L-NAME)随后给予高盐饮食来建立SSHTN模型。使用镍钛(Ni-Ti)闭合螺旋弹簧进行OTM,并在12天后测量牙齿移动情况。使用硅橡胶印模来估计OTM距离。通过对上颌脱钙切片进行抗酒石酸酸性磷酸酶(TRAP)染色来评估破骨细胞活性。

结果

与正常小鼠相比,SSHTN小鼠的牙齿移动明显增加。这种增强的移动与SSHTN组中比对照组更多的破骨细胞有关。这些发现表明,SSHTN通过促进骨吸收来增加OTM水平。

结论

SSHTN通过增强破骨细胞活性和增加牙齿移动显著影响OTM。这些结果强调了在正畸治疗计划中考虑高血压状况的重要性,因为可能需要调整施力以防止潜在的不良影响。

https://cdn.ncbi.nlm.nih.gov/pmc/blobs/adf2/11993012/5eec94bfa957/gr1.jpg

文献AI研究员

20分钟写一篇综述,助力文献阅读效率提升50倍。

立即体验

用中文搜PubMed

大模型驱动的PubMed中文搜索引擎

马上搜索

文档翻译

学术文献翻译模型,支持多种主流文档格式。

立即体验