Suppr超能文献

用抗生素偶联探针对外膜囊泡进行特异性标记可揭示血液中的早期细菌感染。

Specific labeling of outer membrane vesicles with antibiotic-conjugated probe reveals early bacterial infections in blood.

作者信息

Li Qianbei, Ou Zihao, Lin Jinduan, Tang Die, He Bairong, Wu Yuanyuan, Huang Xinyue, Huang Xixin, Ru Bingbing, Wang Qianwen, Yao Weirong, Situ Bo, Zheng Lei

机构信息

Department of Laboratory Medicine, Nanfang Hospital, Southern Medical University, Guangzhou, 510515, China.

Department of Laboratory Medicine, Affiliated Qingyuan Hospital, Guangzhou Medical University (Qingyuan People's Hospital), Qingyuan, 511500, China.

出版信息

Nat Commun. 2025 Apr 14;16(1):3535. doi: 10.1038/s41467-025-58676-8.

Abstract

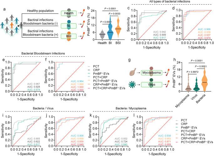
Bacterial outer membrane vesicles (OMVs) are nano-sized structures derived from the outer membrane of Gram-negative bacteria, which have emerged as key players in host-pathogen interactions, yet their potential as biomarkers remains largely unexplored due to the difficulty of identification in complex biological samples. Here we show an approach for detecting and quantifying bacterial OMVs in blood using a Polymyxin B-fluorescein probe (PmBF), which targets bacterial lipopolysaccharides (LPS). The probe selectively labels OMVs, enabling their differentiation from host extracellular vesicles and quantitative analysis using nano-flow cytometry. In male mouse models of pneumonia, we observe elevated serum PmBF EVs as early as 6 h post-infection, preceding positive blood cultures. In clinical samples, PmBF EVs show superior performance for diagnosing bacterial infections and differentiate them from virus or mycoplasma infections. Our findings highlight circulating PmBF EVs as promising biomarkers of bacterial infections.

摘要

细菌外膜囊泡(OMVs)是源自革兰氏阴性菌外膜的纳米级结构,已成为宿主与病原体相互作用的关键参与者,但由于在复杂生物样品中难以鉴定,其作为生物标志物的潜力在很大程度上仍未得到探索。在此,我们展示了一种使用靶向细菌脂多糖(LPS)的多粘菌素B-荧光素探针(PmBF)来检测和定量血液中细菌OMVs的方法。该探针选择性地标记OMVs,使其能够与宿主细胞外囊泡区分开来,并使用纳米流式细胞术进行定量分析。在雄性小鼠肺炎模型中,我们观察到早在感染后6小时血清PmBF EVs就升高,早于血培养呈阳性。在临床样本中,PmBF EVs在诊断细菌感染方面表现出卓越性能,并能将其与病毒或支原体感染区分开来。我们的研究结果突出了循环PmBF EVs作为细菌感染有前景的生物标志物。

https://cdn.ncbi.nlm.nih.gov/pmc/blobs/5426/11997070/5b19857bcaec/41467_2025_58676_Fig1_HTML.jpg

文献AI研究员

20分钟写一篇综述,助力文献阅读效率提升50倍。

立即体验

用中文搜PubMed

大模型驱动的PubMed中文搜索引擎

马上搜索

文档翻译

学术文献翻译模型,支持多种主流文档格式。

立即体验