Suppr超能文献

河马信号通路对维持小鼠肾上腺皮质球状带细胞命运至关重要。

Hippo Signaling Is Essential for the Maintenance of Zona Glomerulosa Cell Fate in the Murine Adrenal Cortex.

作者信息

Abou Nader Nour, Jakuc Natalia, Meinsohn Marie-Charlotte, Charrier Laureline, Banville Laurence, Brind'Amour Julie, Paquet Marilène, St-Jean Guillaume, Boerboom Derek, Mao Junhao, Pépin David, Breault David T, Zamberlam Gustavo, Boyer Alexandre

机构信息

Centre de Recherche en Reproduction et Fertilité, Faculté de Médecine Vétérinaire, Université de Montréal, Saint-Hyacinthe, QC J2S 2M2, Canada.

Département de Biomédecine Vétérinaire, Faculté de Médecine Vétérinaire, Université de Montréal, Saint-Hyacinthe, QC J2S 2M2, Canada.

出版信息

Endocrinology. 2025 Apr 22;166(6). doi: 10.1210/endocr/bqaf077.

Abstract

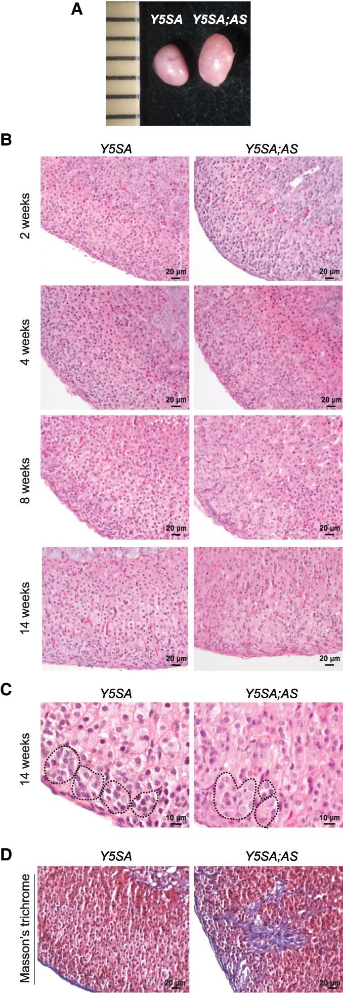
Cells of the zona glomerulosa (zG), the outermost zone of the adrenal cortex, secrete aldosterone and transdifferentiate into glucocorticoid-producing cells of the zona fasciculata (zF) during adrenal homeostasis. However, our understanding of the signaling pathways mediating zG cell maintenance or their transdifferentiation into zF cells is incomplete. Hippo is a major pathway that regulates cell proliferation/differentiation during embryogenesis and postnatal tissue homeostasis. Hypothesizing that Hippo signaling could be involved in zG cell maintenance or transdifferentiation, we generated a mouse model in which the two main kinases of the Hippo signaling cascade large tumor suppressor homolog kinases 1/2 (Lats1 and Lats2) are specifically inactivated in zG cells. Here we show that loss of function of Lats1 and Lats2 impairs zG steroidogenesis and leads to zG cell transdifferentiation into cells sharing characteristics with chondroblasts/osteoblasts rather than zF cells. Furthermore, we demonstrate that this phenotype can be rescued by the concomitant inactivation of the transcriptional coactivators Yes-associated protein (Yap) and transcriptional coactivator with PDZ-binding motif (Taz) with Lats1 and Lats2. Finally, we show that expression of a constitutively active form of YAP (YAP5SA) in zG cells does not alter their fate as severely as the loss of Lats1 and Lats2 but leads to adrenal hyperplasia. Together, these findings highlight the critical role of Hippo signaling in maintaining zG cell fate and function and provide key insights into broader mechanisms underlying cellular differentiation.

摘要

球状带(zG)细胞是肾上腺皮质的最外层区域,在肾上腺稳态过程中分泌醛固酮,并转分化为束状带(zF)中产生糖皮质激素的细胞。然而,我们对介导zG细胞维持或其向zF细胞转分化的信号通路的理解并不完整。Hippo是在胚胎发育和出生后组织稳态过程中调节细胞增殖/分化的主要通路。假设Hippo信号可能参与zG细胞的维持或转分化,我们构建了一个小鼠模型,其中Hippo信号级联的两个主要激酶大肿瘤抑制同源激酶1/2(Lats1和Lats2)在zG细胞中被特异性失活。在此我们表明,Lats1和Lats2功能丧失会损害zG细胞的类固醇生成,并导致zG细胞转分化为具有成软骨细胞/成骨细胞特征而非zF细胞特征的细胞。此外,我们证明,通过与Lats1和Lats2同时失活转录共激活因子Yes相关蛋白(Yap)和含PDZ结合基序的转录共激活因子(Taz),可以挽救这种表型。最后,我们表明,在zG细胞中表达组成型活性形式的YAP(YAP5SA)不会像Lats1和Lats2缺失那样严重改变它们的命运,但会导致肾上腺增生。总之,这些发现突出了Hippo信号在维持zG细胞命运和功能中的关键作用,并为细胞分化的更广泛机制提供了关键见解。

https://cdn.ncbi.nlm.nih.gov/pmc/blobs/eb34/12041920/a717edd35403/bqaf077f1.jpg

文献AI研究员

20分钟写一篇综述,助力文献阅读效率提升50倍。

立即体验

用中文搜PubMed

大模型驱动的PubMed中文搜索引擎

马上搜索

文档翻译

学术文献翻译模型,支持多种主流文档格式。

立即体验