Suppr超能文献

美金刚可消除利培酮诱导的大鼠睾丸功能障碍,ERK1/2-Nrf2-半胱天冬酶-3信号通路可能发挥作用。

Memantine abrogates testicular dysfunction induced by risperidone in rats with a potential role of ERK1/2-Nrf2-caspase-3 signaling pathway.

作者信息

Mohyeldin Reham H, Sharata Ehab E, Fawzy Michael Atef, Attya Mina Ezzat, Welson Nermeen N, Rofaeil Remon Roshdy

机构信息

Department of Pharmacology and Toxicology, Faculty of Pharmacy, Deraya University, Minia, 61111, Egypt.

Department of Biochemistry, Faculty of Pharmacy, Minia University, Minia, 61511, Egypt.

出版信息

Sci Rep. 2025 Apr 15;15(1):12914. doi: 10.1038/s41598-025-94760-1.

Abstract

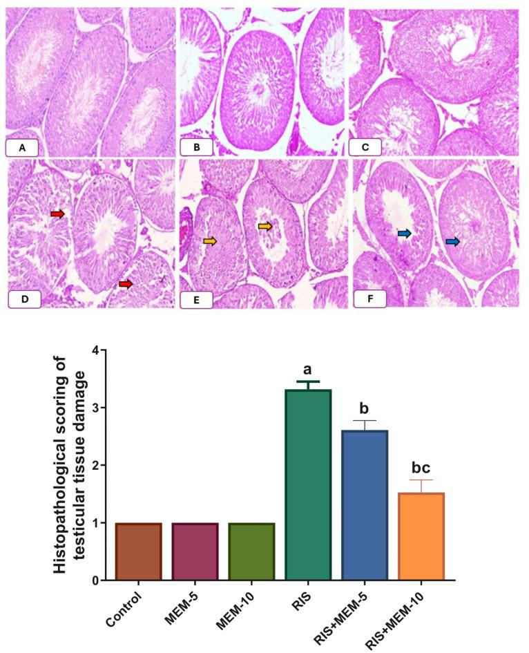
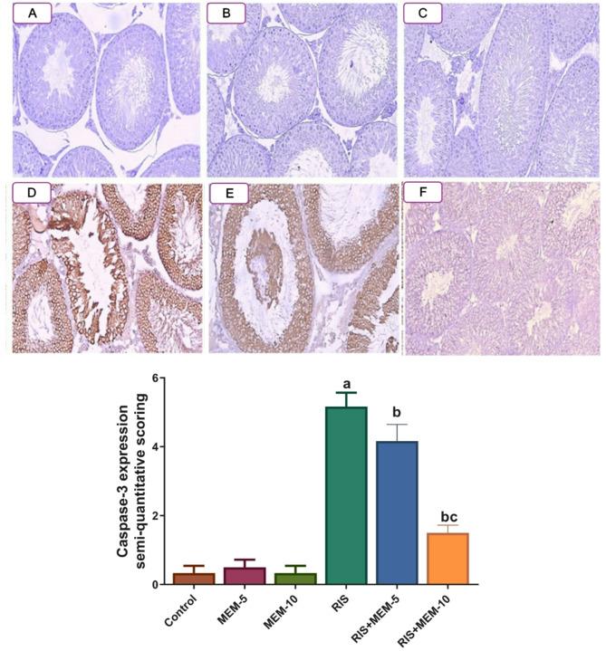
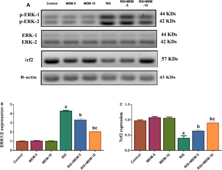
Psychosis is usually a substantial global burden with a prevalence of 0.4-2%. On the other hand, 50 million people are suffering from dementia, with dementia-related psychosis affecting approximately 25% of them. The current experiment aimed to investigate the effect of the anti-dementia drug memantine (MEM) on testicular damage and insulin resistance induced by the chronic administration of risperidone (RIS) in rats. Six groups of Wistar albino rats were designated as follows: control, MEM-5 (rats received MEM at 5 mg/kg/day, orally, for 4 weeks), MEM-10 (rats received MEM at 10 mg/kg/day, orally, for 4 weeks), RIS (rats were administered RIS at 2.5 mg/kg/day, orally, for 4 weeks), RIS + MEM-5 (rats received MEM at 5 mg/kg/day, orally, co-administered with RIS as in the RIS group for 4 weeks), and RIS + MEM-10 (rats received MEM at 10 mg/kg/day, orally, co-administered with RIS as in the RIS group for 4 weeks). The duration of the study was 28 days. Serum testosterone, resistin, and adiponectin concentrations were determined. The homeostatic model assessment of insulin resistance (HOMA-IR) was also evaluated. Oxidative stress, inflammatory markers, and immunoblotting of ERK1/2, and Nrf2 were quantified in testicular tissue together with histopathological evaluation and a caspase-3 immunohistochemical study. MEM co-administration increased adiponectin, serum testosterone, GSH, SOD, CAT, and Nrf2 expression while decreasing HOMA-IR, resistin, MDA, NOx, ERK1/2, IL-6, TNF-α, NFĸB, and caspase-3 expression. Furthermore, MEM ameliorated all measured parameters and histopathological changes that occurred in the RIS group in a dose-dependent manner. The primary outcomes were attained by attenuating oxidative stress, inflammation, and apoptosis in the testis caused by chronic RIS administration via regulation of the ERK1/2-Nrf2 signaling pathway. Targeting the ERK1/2-Nrf2 pathway is a potential strategy for addressing testicular injury.

摘要

精神病通常是一项沉重的全球负担,患病率为0.4%-2%。另一方面,有5000万人患有痴呆症,其中约25%的人患有与痴呆症相关的精神病。当前实验旨在研究抗痴呆药物美金刚(MEM)对大鼠长期服用利培酮(RIS)所致睾丸损伤和胰岛素抵抗的影响。将六组Wistar白化大鼠指定如下:对照组、MEM-5组(大鼠口服5mg/kg/天的MEM,持续4周)、MEM-10组(大鼠口服10mg/kg/天的MEM,持续4周)、RIS组(大鼠口服2.5mg/kg/天的RIS,持续4周)、RIS+MEM-5组(大鼠口服5mg/kg/天的MEM,与RIS组一样联合给药4周)以及RIS+MEM-10组(大鼠口服10mg/kg/天的MEM,与RIS组一样联合给药4周)。研究持续时间为28天。测定血清睾酮、抵抗素和脂联素浓度。还评估了胰岛素抵抗的稳态模型评估(HOMA-IR)。在睾丸组织中对氧化应激、炎症标志物以及ERK1/2和Nrf2的免疫印迹进行定量,并进行组织病理学评估和caspase-3免疫组织化学研究。联合使用MEM可增加脂联素、血清睾酮、谷胱甘肽、超氧化物歧化酶、过氧化氢酶和Nrf2表达,同时降低HOMA-IR、抵抗素、丙二醛、氧化氮、ERK1/2、白细胞介素-6、肿瘤坏死因子-α核因子κB和caspase-3表达。此外,MEM以剂量依赖的方式改善了RIS组中所有测量参数和组织病理学变化。主要结果是通过调节ERK1/2-Nrf2信号通路减轻慢性RIS给药引起的睾丸氧化应激、炎症和细胞凋亡而实现的。靶向ERK1/2-Nrf2途径是解决睾丸损伤的一种潜在策略。

https://cdn.ncbi.nlm.nih.gov/pmc/blobs/87c4/12000432/b6eb3701be2a/41598_2025_94760_Fig1_HTML.jpg

文献AI研究员

20分钟写一篇综述,助力文献阅读效率提升50倍。

立即体验

用中文搜PubMed

大模型驱动的PubMed中文搜索引擎

马上搜索

文档翻译

学术文献翻译模型,支持多种主流文档格式。

立即体验