Suppr超能文献

冷大气等离子体通过增强乳酸化依赖性p53表达,驱动USP49/HDAC3轴介导的铁死亡,作为子宫内膜癌的一种新型治疗策略。

Cold atmospheric plasma drives USP49/HDAC3 axis mediated ferroptosis as a novel therapeutic strategy in endometrial cancer via reinforcing lactylation dependent p53 expression.

作者信息

Liu Jinlin, Li Yang, Ma Ruonan, Chen Youming, Wang Jinyang, Zhang Lindong, Wang Baojin, Zhang Zidi, Huang Lili, Zhang Hongyan, Wan Junhu, Liu Hongyang

机构信息

Department of Obstetrics and Gynecology, The Third Affiliated Hospital of Zhengzhou University, Zhengzhou, Henan, China.

Department of Clinical Laboratory, The First Affiliated Hospital of Zhengzhou University, Zhengzhou, Henan, China.

出版信息

J Transl Med. 2025 Apr 15;23(1):442. doi: 10.1186/s12967-025-06449-8.

Abstract

BACKGROUND

Endometrial cancer ranks among the most common gynecological cancers, with increasing rates of incidence and death. Cold atmospheric plasma (CAP) has become a promising novel therapeutic approach for cancer treatment. Nevertheless, the specific impact of CAP on endometrial cancer remains inadequately characterized.

OBJECTIVES

This study aimed to investigate the effect of CAP on the progression of endometrial cancer and reveal its specific regulatory mechanisms.

METHODS

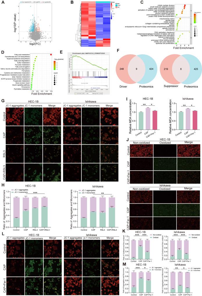
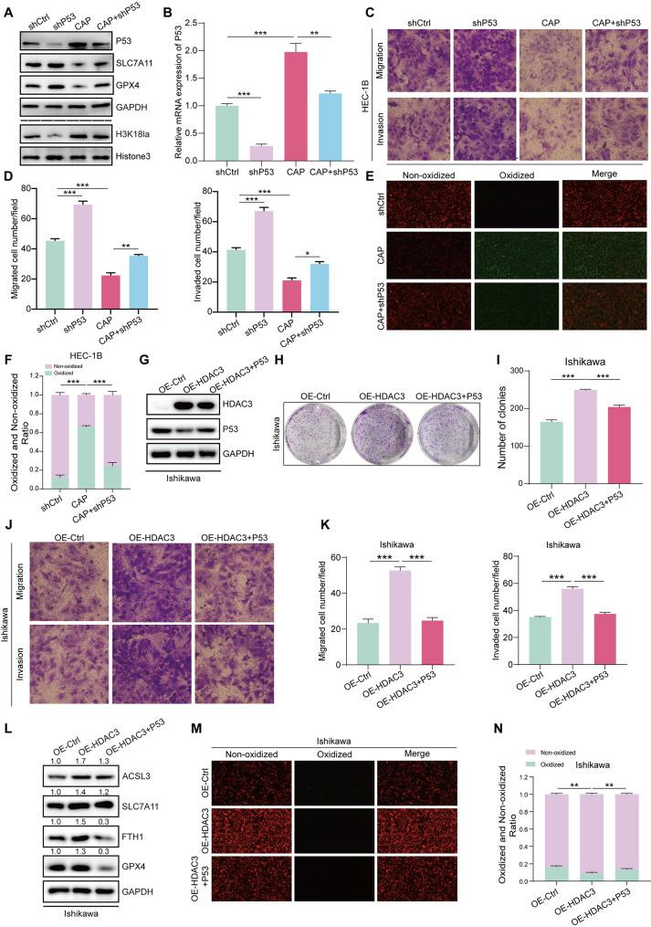
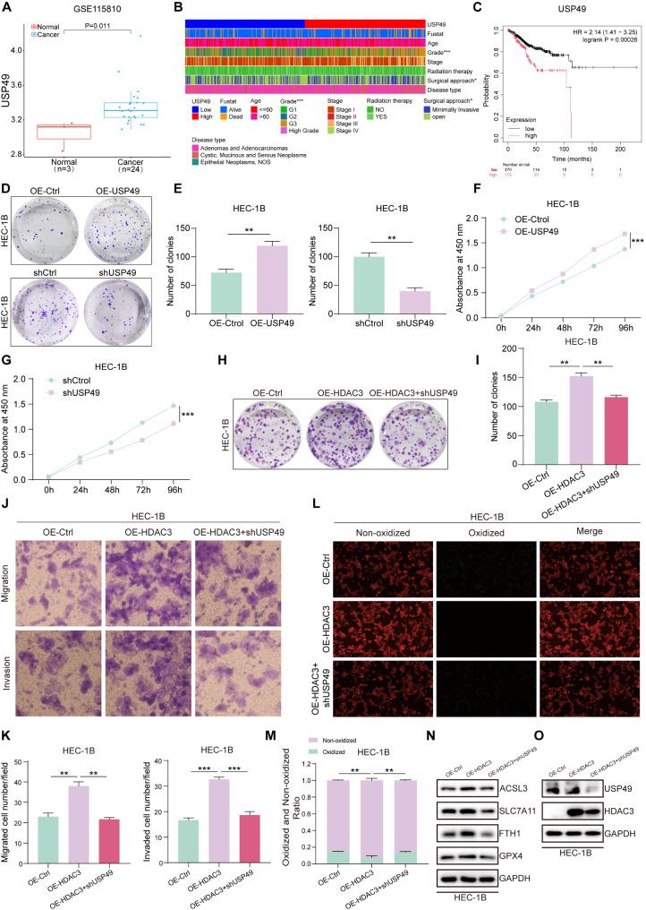
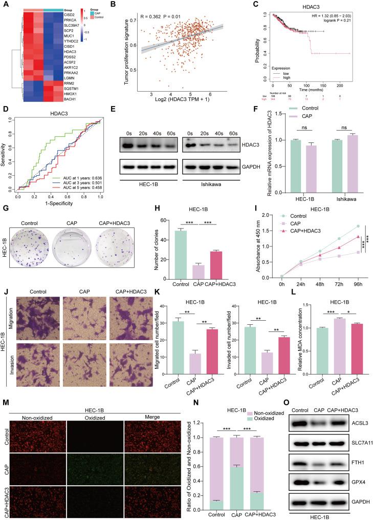
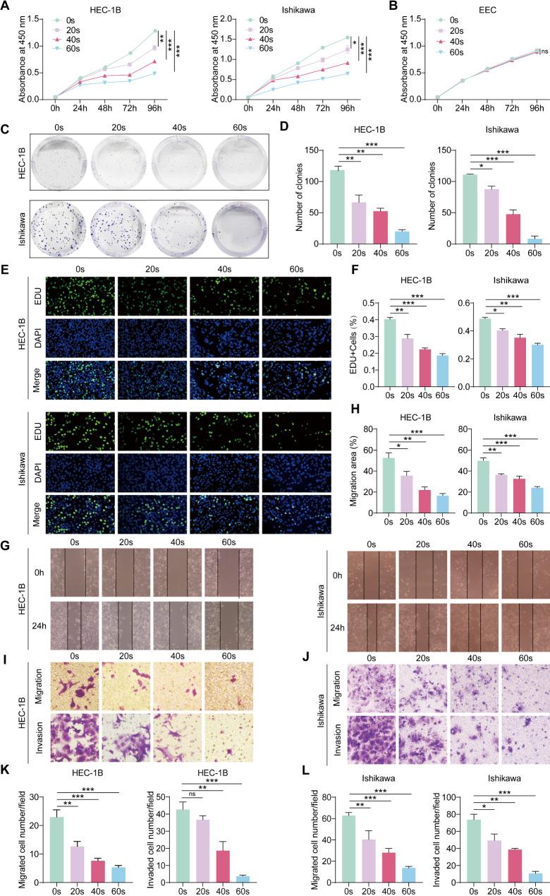
Colony formation, EdU, wound-healing, and transwell assay were used to detect the effect of CAP on endometrial cancer progression. Proteomics is employed to identify potential targets and signaling pathways through which CAP impacts endometrial cancer cells. MDA, lipid ROS, and JC-1 MMP assays were used to detect ferroptosis. Immunoprecipitation-mass spectrometry, co-immunoprecipitation, immunofluorescence co-localization, and molecular docking were used to analyze USP49 and HDAC3 interactions. The tumor xenografts model determined that CAP inhibits endometrial cancer growth in vivo.

RESULTS

This study observed a significant inhibitory effect of CAP on the proliferation and migration of endometrial cancer cells and reported for the first time that CAP induces ferroptosis in endometrial cancer cells. Mechanistically, CAP activated the transcription of p53 by modulating HDAC3 mediated the histone H3K18 lactylation, resulting in upregulation of p53 driving cell ferroptosis. The interaction between USP49 and HDAC3 was validated through mass spectrometry and co-immunoprecipitation experiments. The regulation of HDAC3 by CAP is contingent upon USP49, wherein the down-regulation of USP49 augments the ubiquitination of HDAC3, consequently diminishing its protein stability. Furthermore, animal models with transplanted tumors corroborated the inhibitory impact of CAP on endometrial cancer in vivo.

CONCLUSIONS

Our findings illustrate the suppressive effect of CAP treatment on endometrial cancer and uncover a novel regulatory mechanism mediated by CAP. Specifically, CAP modulates the ferroptosis pathway through the HDAC3/H3K18la/p53 axis, presenting a novel therapeutic approach for endometrial cancer treatment.

摘要

背景

子宫内膜癌是最常见的妇科癌症之一,其发病率和死亡率呈上升趋势。冷大气等离子体(CAP)已成为一种有前景的新型癌症治疗方法。然而,CAP对子宫内膜癌的具体影响仍未得到充分表征。

目的

本研究旨在探讨CAP对子宫内膜癌进展的影响,并揭示其具体调控机制。

方法

采用集落形成、EdU、伤口愈合和Transwell实验检测CAP对子宫内膜癌进展的影响。利用蛋白质组学鉴定CAP影响子宫内膜癌细胞的潜在靶点和信号通路。采用丙二醛(MDA)、脂质活性氧(ROS)和JC-1线粒体膜电位(MMP)实验检测铁死亡。通过免疫沉淀-质谱、免疫共沉淀、免疫荧光共定位和分子对接分析泛素特异性蛋白酶49(USP49)和组蛋白去乙酰化酶3(HDAC3)的相互作用。肿瘤异种移植模型确定CAP在体内抑制子宫内膜癌生长。

结果

本研究观察到CAP对子宫内膜癌细胞的增殖和迁移具有显著抑制作用,并首次报道CAP诱导子宫内膜癌细胞发生铁死亡。机制上,CAP通过调节HDAC3介导的组蛋白H3K18乳酸化激活p53转录,导致p53上调驱动细胞铁死亡。通过质谱和免疫共沉淀实验验证了USP49与HDAC3之间的相互作用。CAP对HDAC3的调节取决于USP49,其中USP49的下调增强了HDAC3的泛素化,从而降低其蛋白质稳定性。此外,移植瘤动物模型证实了CAP在体内对子宫内膜癌的抑制作用。

结论

我们的研究结果表明CAP治疗对子宫内膜癌具有抑制作用,并揭示了一种由CAP介导的新型调控机制。具体而言,CAP通过HDAC3/H3K18la/p53轴调节铁死亡途径,为子宫内膜癌治疗提供了一种新的治疗方法。

https://cdn.ncbi.nlm.nih.gov/pmc/blobs/bfc5/11998187/84c8c28213bd/12967_2025_6449_Fig1_HTML.jpg

文献AI研究员

20分钟写一篇综述,助力文献阅读效率提升50倍。

立即体验

用中文搜PubMed

大模型驱动的PubMed中文搜索引擎

马上搜索

文档翻译

学术文献翻译模型,支持多种主流文档格式。

立即体验