Suppr超能文献

B族链球菌感染的非典型病程:一名成年糖尿病患者发生硬脑膜下积脓。

Atypical progression of Group B Streptococcus infection: Subdural empyema in an adult with diabetes mellitus.

作者信息

Onaka Jo, Fukushima Takahiro, Yoshida Akihito, Leedy Nicole, Kobayashi Takaaki, Tomoto Kyoichi, Aoki Kazuaki

机构信息

Department of General Medicine, Kameda Medical Center, Kamogawa, Chiba, Japan.

Department of Internal Medicine, Division of Infectious Diseases, University of Kentucky, Lexington, KY, USA.

出版信息

IDCases. 2025 Mar 31;40:e02212. doi: 10.1016/j.idcr.2025.e02212. eCollection 2025.

Abstract

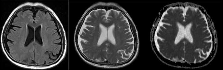
(Group B Streptococcus, GBS), traditionally associated with neonatal meningitis and urinary tract infections in pregnant women, has emerged as a significant pathogen in non-pregnant adults. A broad spectrum of GBS infections in adults has been reported, including skin and soft tissue infections, bacteremia without a clear source, urinary tract infections, pneumonia, and less commonly, endocarditis, meningitis, or other invasive infections. We report a rare case of subdural empyema following GBS bacteremia in a 74-year-old man with poorly controlled type 2 diabetes mellitus. The patient presented to the outpatient clinic with progressive gait instability persisting for five days, preceded by a resolved headache and diarrhea. On examination, he was febrile but exhibited no nuchal rigidity or focal neurological deficits. He was discharged home, but blood cultures subsequently grew , prompting emergent hospital admission. Initial neuroimaging, including magnetic resonance imaging (MRI) of the brain, was unremarkable. On hospital day 5, the patient developed worsening altered mental status and right upper limb weakness. A lumbar puncture confirmed GBS meningitis and repeat brain MRI revealed a subdural empyema. The patient underwent surgical drainage and received prolonged antibiotic therapy, resulting in significant clinical improvement. This case underscores the importance of maintaining a high index of suspicion for meningitis and subdural empyema in patients with GBS bacteremia who develop new neurological symptoms, even when initial imaging is unremarkable. Early recognition, repeat neuroimaging, and timely intervention are essential for managing invasive GBS infections and improving patient outcomes.

摘要

B组链球菌(GBS)传统上与新生儿脑膜炎及孕妇尿路感染有关,现已成为非妊娠成人中的一种重要病原体。已报告成人中广泛的GBS感染,包括皮肤和软组织感染、无明确来源的菌血症、尿路感染、肺炎,较少见的有心内膜炎、脑膜炎或其他侵袭性感染。我们报告一例74岁2型糖尿病控制不佳的男性患者,在GBS菌血症后发生硬膜下积脓的罕见病例。该患者因进行性步态不稳持续5天就诊于门诊,之前有头痛缓解和腹泻病史。检查时,他发热,但无颈项强直或局灶性神经功能缺损。他出院回家,但随后血培养生长出[具体细菌名称未给出],促使其紧急入院。包括脑部磁共振成像(MRI)在内的初始神经影像学检查无异常。住院第5天,患者出现精神状态恶化和右上肢无力加重。腰椎穿刺确诊为GBS脑膜炎,重复脑部MRI显示硬膜下积脓。患者接受了手术引流并接受了长时间抗生素治疗,临床症状显著改善。该病例强调,对于出现新的神经系统症状的GBS菌血症患者,即使初始影像学检查无异常,也应高度怀疑脑膜炎和硬膜下积脓。早期识别、重复神经影像学检查和及时干预对于管理侵袭性GBS感染及改善患者预后至关重要。

https://cdn.ncbi.nlm.nih.gov/pmc/blobs/d631/12001129/2116759c390e/gr1.jpg

文献AI研究员

20分钟写一篇综述,助力文献阅读效率提升50倍。

立即体验

用中文搜PubMed

大模型驱动的PubMed中文搜索引擎

马上搜索

文档翻译

学术文献翻译模型,支持多种主流文档格式。

立即体验