Suppr超能文献

抑郁症中自杀意念的生物标志物:基于静息态功能磁共振成像分析和机器学习的见解

Biomarkers of Suicidal Ideation in Depression: Insights From VMHC Analysis and Machine Learning.

作者信息

Wang Xinlin, Liu Fei, Hu Xinyi, Zhang Qiong, Guan Xiaofeng, Wu Jiaxin, Long Xiangyun, Lu Zheng

机构信息

Department of Psychiatry, Tongji Hospital, School of Medicine, Tongji University, Shanghai, 200092, People's Republic of China.

Department of Psychiatry, the Affiliated Brain Hospital, Guangzhou Medical University, Guangzhou, 510370, People's Republic of China.

出版信息

Neuropsychiatr Dis Treat. 2025 Apr 13;21:855-865. doi: 10.2147/NDT.S500301. eCollection 2025.

Abstract

BACKGROUND

Suicidal ideation (SI) is a major cause of death in patients with major depressive disorder (MDD). Although current clinical tools can assess suicide risk, objective neurobiological markers based on research remain lacking. Clinical evidence suggests that resting-state functional magnetic resonance imaging (rs-fMRI) studies utilizing voxel-mirrored homotopic connectivity (VMHC) analysis can uncover the neural mechanisms underlying mental disorders. This study explores differences in interhemispheric connectivity between MDD patients with and without SI, aiming to identify imaging biomarkers for suicide risk.

METHODS

This study included 48 SI patients and 44 non-SI patients. VMHC values were calculated to assess interhemispheric functional connectivity. Brain regions with significant differences between the groups were identified. A support vector machine (SVM) model was applied to evaluate the utility of VMHC values in distinguishing SI patients from non-SI patients with MDD.

RESULTS

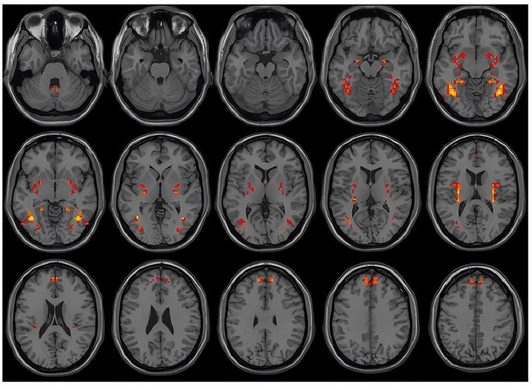
Patients with suicidal ideation exhibited significantly increased VMHC values in the superior frontal gyrus, putamen, inferior temporal gyrus, and cerebellum compared to those without suicidal ideation. The SVM model achieved an accuracy of 77.2%, sensitivity of 83.3%, specificity of 70.5%, and an area under the curve (AUC) of 0.81. When combining VMHC values from multiple brain regions, classification accuracy improved to 86.8%.

CONCLUSION

MDD patients with SI exhibit abnormal interhemispheric connectivity, with VMHC abnormalities in specific brain regions serving as potential biomarkers for suicide risk. The integration of machine learning and neuroimaging highlights the clinical relevance of VMHC as a tool for early detection and targeted intervention in suicide prevention.

摘要

背景

自杀观念(SI)是重度抑郁症(MDD)患者死亡的主要原因。尽管目前的临床工具可以评估自杀风险,但基于研究的客观神经生物学标志物仍然缺乏。临床证据表明,利用体素镜像同伦连接(VMHC)分析的静息态功能磁共振成像(rs-fMRI)研究可以揭示精神障碍背后的神经机制。本研究探讨有自杀观念和无自杀观念的MDD患者半球间连接的差异,旨在识别自杀风险的影像学生物标志物。

方法

本研究纳入了48例有自杀观念的患者和44例无自杀观念的患者。计算VMHC值以评估半球间功能连接。确定两组之间存在显著差异的脑区。应用支持向量机(SVM)模型评估VMHC值在区分有自杀观念的MDD患者和无自杀观念的MDD患者中的效用。

结果

与无自杀观念的患者相比,有自杀观念的患者在额上回、壳核、颞下回和小脑中的VMHC值显著增加。SVM模型的准确率为77.2%,敏感性为83.3%,特异性为70.5%,曲线下面积(AUC)为0.81。当结合多个脑区的VMHC值时,分类准确率提高到86.8%。

结论

有自杀观念的MDD患者表现出半球间连接异常,特定脑区的VMHC异常作为自杀风险的潜在生物标志物。机器学习与神经影像学的结合突出了VMHC作为自杀预防早期检测和靶向干预工具的临床相关性。

https://cdn.ncbi.nlm.nih.gov/pmc/blobs/bb0e/12005210/2dee739dbdbe/NDT-21-855-g0001.jpg

文献AI研究员

20分钟写一篇综述,助力文献阅读效率提升50倍。

立即体验

用中文搜PubMed

大模型驱动的PubMed中文搜索引擎

马上搜索

文档翻译

学术文献翻译模型,支持多种主流文档格式。

立即体验