Suppr超能文献

人参皂苷Rb1通过促进调节性T细胞增殖和抑制炎性T细胞来缓解哮喘

Asthma Alleviation by Ginsenoside Rb1 via Promotion of Treg Proliferation and Inflammatory T Cell Inhibition.

作者信息

Choi Susanna, Yoo Seung-Ah, Ji Kon-Young, Jung Dong Ho, Lee Saseong, Lee Kang-Gu, Kim Ki-Myo, Lee Joo Young, Jung Myung-A, Pyun Bo-Jeong, Hur Jung, Choi Joon Young, Rhee Chin Kook, Kim Wan-Uk, Kim Taesoo

机构信息

KM Convergence Research Division, Korea Institute of Oriental Medicine, Daejeon, Republic of Korea.

Department of Medical Life Sciences, College of Medicine, The Catholic University of Korea, Seoul, Republic of Korea.

出版信息

Allergy. 2025 Jun;80(6):1647-1668. doi: 10.1111/all.16551. Epub 2025 Apr 19.

Abstract

BACKGROUND

Regulatory T cells (Tregs) are living drugs with feasibility, tolerability, and therapeutic benefits. Although Tregs are linked to asthma prognosis through inflammation regulation, no therapeutic agents specifically designed to manage asthma by upregulating Tregs have been developed to date.

METHODS

We screened a library of 250 natural products using a cytometric bead array. Among the selected candidates, gRb1 was identified for further investigation. The effects of gRb1 on Treg and Th17 populations were evaluated in mouse asthma models and human PBMCs from both healthy donors and asthma patients using flow cytometry and cytokine analysis.

RESULTS

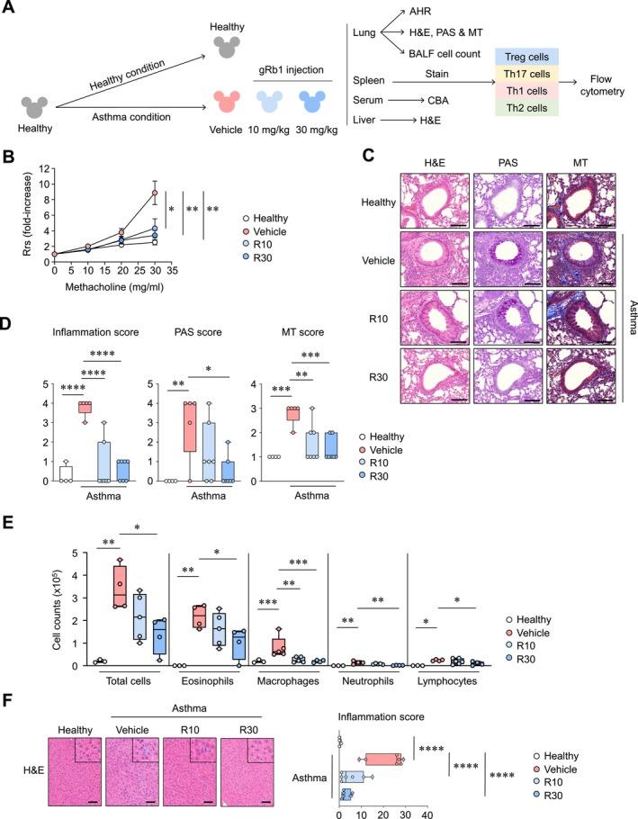
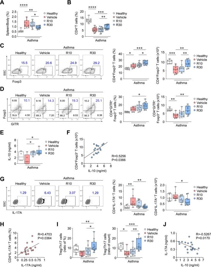
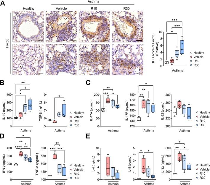
In inflammatory conditions, ginsenoside Rb1 (gRb1, a major ginseng component) increased IL-10- and TGF-β-expressing Treg populations and decreased the Th17 population; activated phospho-STAT5 and NFAT1 in Tregs; inhibited NFAT1 activation in conventional T cells (Tconvs); increased Treg proliferation and Tconv-Treg differentiation, inhibiting Tconv proliferation; and reduced inflammatory cytokine secretion by Tconvs. In asthma model mice, suppression of asthma symptoms by gRb1 was associated with elevated Treg and lower Th17, Th1, and Th2 counts. gRb1 treatment of stimulated PBMCs from patients with asthma and healthy donors increased IL-10- and TGF-β-expressing Treg populations and decreased IL-17A-, IL-22-, IFN-γ-, and TNF-α-expressing T-cell populations.

CONCLUSIONS

gRb1 alleviate asthma by shifting the Treg-inflammatory T cell balance. These findings suggest a strategy for enhancing Treg activity through treatment with gRb1. This may provide a novel therapeutic approach for asthma and related disorders.

摘要

背景

调节性T细胞(Tregs)是具有可行性、耐受性和治疗益处的生物药物。尽管Tregs通过炎症调节与哮喘预后相关,但迄今为止尚未开发出专门通过上调Tregs来治疗哮喘的治疗药物。

方法

我们使用细胞计数珠阵列筛选了一个包含250种天然产物的文库。在选定的候选物中,确定人参皂苷Rb1(gRb1)进行进一步研究。使用流式细胞术和细胞因子分析,在小鼠哮喘模型以及来自健康供体和哮喘患者的人外周血单核细胞(PBMC)中评估gRb1对Treg和Th17细胞群体的影响。

结果

在炎症条件下,人参皂苷Rb1(gRb1,人参的主要成分)增加了表达白细胞介素-10(IL-10)和转化生长因子-β(TGF-β)的Treg细胞群体,减少了Th17细胞群体;激活了Tregs中的磷酸化信号转导和转录激活因子5(STAT5)和活化T细胞核因子1(NFAT1);抑制了常规T细胞(Tconvs)中NFAT1的激活;增加了Treg细胞的增殖和Tconv-Treg细胞分化,抑制了Tconv细胞的增殖;并减少了Tconvs分泌的炎性细胞因子。在哮喘模型小鼠中,gRb1对哮喘症状的抑制与Treg细胞升高以及Th17、Th1和Th2细胞计数降低有关。gRb1处理哮喘患者和健康供体的受刺激PBMC,增加了表达IL-10和TGF-β的Treg细胞群体,并减少了表达IL-17A、IL-22、干扰素-γ(IFN-γ)和肿瘤坏死因子-α(TNF-α)的T细胞群体。

结论

gRb1通过改变Treg-炎性T细胞平衡来缓解哮喘。这些发现提示了一种通过gRb1治疗增强Treg活性的策略。这可能为哮喘及相关疾病提供一种新的治疗方法。

https://cdn.ncbi.nlm.nih.gov/pmc/blobs/7a65/12186593/d5847db2dee7/ALL-80-1647-g007.jpg

文献AI研究员

20分钟写一篇综述,助力文献阅读效率提升50倍。

立即体验

用中文搜PubMed

大模型驱动的PubMed中文搜索引擎

马上搜索

文档翻译

学术文献翻译模型,支持多种主流文档格式。

立即体验