Suppr超能文献

黑人患者结直肠癌中PD-L1的免疫组化表达及其临床病理相关性:一项横断面研究。

Immunohistochemical expression of PD-L1 in colorectal carcinoma among black patients and the clinicopathological correlates: a cross-sectional study.

作者信息

Menkiti Felix Emeka, Okani Chukwudi Onyeaghana, Onyiaorah Igwebuike Victor, Ukah Cornelius Ozobia, Menkiti Ifeoma Oluchukwu, Ihekwoaba Eric Chukwudi, Okoye Odili Aloysius, Ofiaeli Ogochukwu Chioma, Akpuaka Frank Chinedu

机构信息

Department of Anatomic Pathology and Forensic Medicine, Faculty of Basic Clinical Sciences, Nnamdi Azikiwe University, Awka, Nigeria.

Department of Histopathology, Nnamdi Azikiwe University Teaching Hospital, Nnewi, Anambra State, Nigeria.

出版信息

BMC Gastroenterol. 2025 Apr 20;25(1):277. doi: 10.1186/s12876-025-03862-7.

Abstract

BACKGROUND

Colorectal cancer (CRC) incidence is rising in Nigeria, with majority of patients presenting with advanced disease. Despite promising results of PD-L1 antibody therapy in clinical trials, efficacy data exclusively derives from Caucasian populations, leaving a critical knowledge gap for African populations. This study investigated PD-L1 expression in CRC among blacks, correlating it with clinicopathologic parameters.

METHODS

The immunohistochemical expression of PD-L1 was evaluated in 96 cases of CRC diagnosed between February 2022 and January 2024, using formalin-fixed paraffin-embedded (FFPE) tissue blocks. Statistical analysis was performed using SPSS version 25. The relationships between the PD-L1 expression and the clinicopathological parameters of CRC patients were determined using the chi-square test and Spearman's rank correlation. p < 0.05 was considered to be statistically significant.

RESULTS

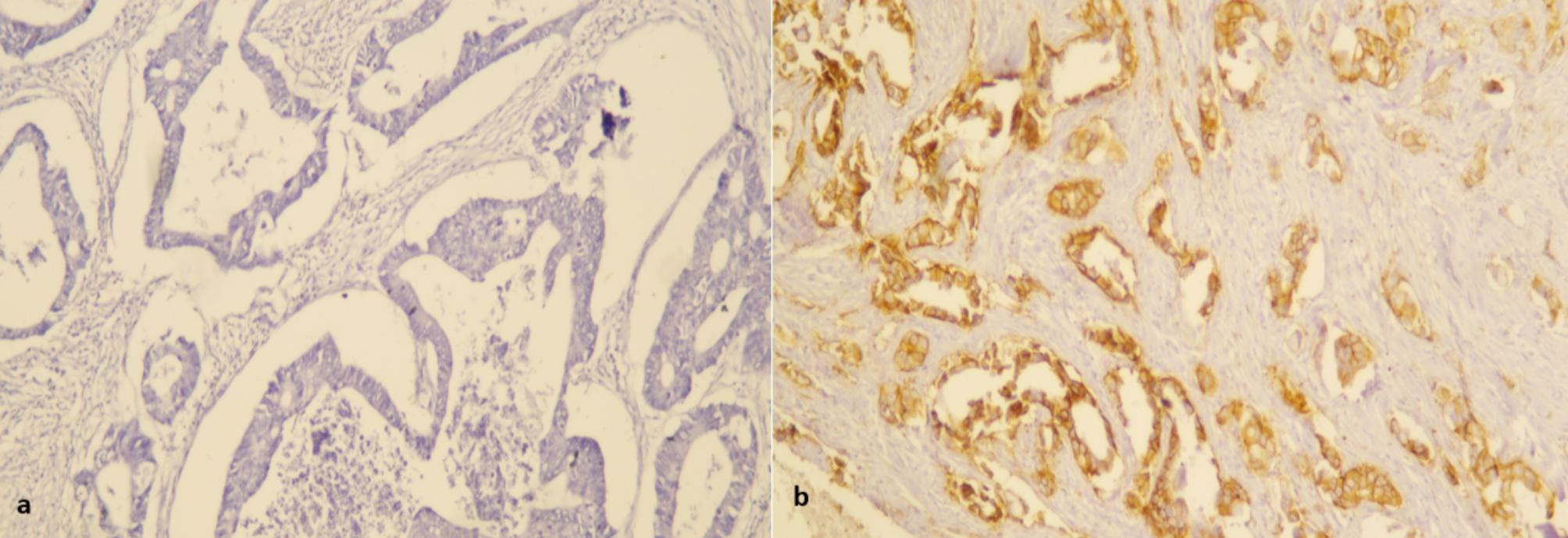
CRC showed a male: female ratio of 1:1.8, most occurred in the seventh decade and 54.17% were right-sided. Adenocarcinoma NOS accounted for 72.5%. The majority (n = 55, 57.3%) of the patients were diagnosed at an advanced stage. PD-L1 expression was observed in 86.46% of cases, significantly correlating with tumour Size (r = 0.263, p = 0.010*), histologic Grade (r = 0.446, p = 0.000*) and tumour Stage (r = 0.367, p = 0.000*).

CONCLUSION

This study highlighted the high frequency of PD-L1 expression in CRC among black patients, with significant associations to clinicopathologic parameters. The findings suggest the potential benefit of PD-1/PD-L1 targeted therapies and emphasize the need for enhanced early detection and screening in Nigeria.

摘要

背景

在尼日利亚,结直肠癌(CRC)的发病率正在上升,大多数患者就诊时已处于疾病晚期。尽管PD-L1抗体疗法在临床试验中取得了令人鼓舞的结果,但其疗效数据仅来自白种人群体,这使得非洲人群体存在关键的知识空白。本研究调查了黑人CRC患者中PD-L1的表达情况,并将其与临床病理参数相关联。

方法

使用福尔马林固定石蜡包埋(FFPE)组织块,对2022年2月至2024年1月期间诊断的96例CRC患者的PD-L1免疫组化表达进行评估。使用SPSS 25版进行统计分析。采用卡方检验和Spearman等级相关性分析确定PD-L1表达与CRC患者临床病理参数之间的关系。p < 0.05被认为具有统计学意义。

结果

CRC患者的男女比例为1:1.8,大多数发生在七十岁,54.17%为右侧病变。非特殊类型腺癌占72.5%。大多数患者(n = 55,57.3%)在晚期被诊断出来。86.46%的病例观察到PD-L1表达,与肿瘤大小(r = 0.263,p = 0.010*)、组织学分级(r = 0.446,p = 0.000*)和肿瘤分期(r = 0.367,p = 0.000*)显著相关。

结论

本研究强调了黑人CRC患者中PD-L1表达的高频率,且与临床病理参数存在显著关联。研究结果表明PD-1/PD-L1靶向治疗具有潜在益处,并强调了尼日利亚加强早期检测和筛查的必要性。

https://cdn.ncbi.nlm.nih.gov/pmc/blobs/99f1/12010690/639973f05073/12876_2025_3862_Fig1_HTML.jpg

文献AI研究员

20分钟写一篇综述,助力文献阅读效率提升50倍。

立即体验

用中文搜PubMed

大模型驱动的PubMed中文搜索引擎

马上搜索

文档翻译

学术文献翻译模型,支持多种主流文档格式。

立即体验