Suppr超能文献

虾青素通过调节氧化应激、细胞凋亡和炎症标志物来减轻氟虫腈诱导的雄性大鼠神经元损伤。

Astaxanthin alleviates fipronil-induced neuronal damages in male rats through modulating oxidative stress, apoptosis, and inflammatory markers.

作者信息

Hafez Mona H, El-Far Ali H, Elblehi Samar S

机构信息

Department of Physiology, Faculty of Veterinary Medicine, Alexandria University, Alexandria, 22758, Egypt.

Department of Biochemistry, Faculty of Veterinary Medicine, Damanhour University, Damanhour, 22511, Egypt.

出版信息

Sci Rep. 2025 Apr 24;15(1):14299. doi: 10.1038/s41598-025-95447-3.

Abstract

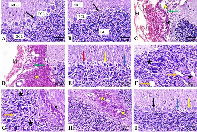
Fipronil (FPN) is an effective pesticide for veterinary and agricultural use; however, it can induce neurotoxic effects on non-target organisms after accidental exposure. Astaxanthin (AST) is a dark red carotenoid with antioxidant, anti-inflammatory, neuroprotective, and antiapoptotic effects. This study investigated the ameliorative impact of AST against FPN-induced brain damage in rats. Thirty-two adult Wistar rats were allocated into four groups (n = 8): Control, AST (20 mg/kg bwt/day), fipronil (FPN) (20 mg/kg bwt/day), and AST + FPN group. Acetylcholine (ACh), dopamine, malondialdehyde (MDA), and proinflammatory cytokines, including tumor necrosis factor-α (TNF-α), interleukin-1β (IL-1β), interleukin-6 (IL-6), and inflammatory cytokine cyclooxygenase-2 (COX2) levels were enhanced in the FPN-administered group relative to the control group. In addition, a substantial reduction of acetylcholine esterase (AchE), gamma-aminobutyric acid (GABA), serotonin, reduced glutathione (GSH) levels, catalase (CAT), and total superoxide dismutase (T-SOD) enzyme activities were determined. FPN induced histopathological alterations in the cerebral and cerebellar tissues. Likewise, the histomorphometric image analysis of H and E-stained tissue sections was constant with FPN-induced neurotoxicity. Immunohistochemically, an intense positive immunohistochemical staining of apoptotic marker caspase-3 and astrocytes activation marker glial fibrillary acidic protein (GFAP) in the examined tissues was noticed. Inversely, the simultaneous administration of AST partially attenuated FPN impacts, ameliorating the severity of FPN-induced neuronal damage. These results were also established with the molecular docking findings. It could be suggested that AST has antioxidant, anti-inflammatory, and anti-apoptotic capabilities against FPN-induced neuronal damage via suppression of oxidative stress and pro-inflammatory cytokines, preservation of the neurotransmitters, and the cerebral and cerebellar histoarchitectures.

摘要

氟虫腈(FPN)是一种用于兽医和农业的有效杀虫剂;然而,意外接触后它会对非靶标生物产生神经毒性作用。虾青素(AST)是一种深红色类胡萝卜素,具有抗氧化、抗炎、神经保护和抗凋亡作用。本研究调查了AST对FPN诱导的大鼠脑损伤的改善作用。32只成年Wistar大鼠被分为四组(n = 8):对照组、AST组(20 mg/kg体重/天)、氟虫腈(FPN)组(20 mg/kg体重/天)和AST + FPN组。与对照组相比,给予FPN的组中乙酰胆碱(ACh)、多巴胺、丙二醛(MDA)以及促炎细胞因子,包括肿瘤坏死因子-α(TNF-α)、白细胞介素-1β(IL-1β)、白细胞介素-6(IL-6)和炎性细胞因子环氧合酶-2(COX2)水平升高。此外,还测定了乙酰胆碱酯酶(AchE)、γ-氨基丁酸(GABA)、血清素、还原型谷胱甘肽(GSH)水平、过氧化氢酶(CAT)和总超氧化物歧化酶(T-SOD)酶活性的显著降低。FPN诱导了大脑和小脑组织的组织病理学改变。同样,苏木精和伊红染色组织切片的组织形态计量学图像分析与FPN诱导的神经毒性一致。免疫组织化学分析发现,在所检查的组织中凋亡标志物半胱天冬酶-3和星形胶质细胞活化标志物胶质纤维酸性蛋白(GFAP)有强烈的阳性免疫组织化学染色。相反,同时给予AST可部分减轻FPN的影响,改善FPN诱导的神经元损伤的严重程度。分子对接结果也证实了这些结果。可以认为,AST通过抑制氧化应激和促炎细胞因子、保护神经递质以及大脑和小脑的组织结构,对FPN诱导的神经元损伤具有抗氧化、抗炎和抗凋亡能力。

https://cdn.ncbi.nlm.nih.gov/pmc/blobs/f360/12022106/2b863b0ae824/41598_2025_95447_Fig1_HTML.jpg

文献AI研究员

20分钟写一篇综述,助力文献阅读效率提升50倍。

立即体验

用中文搜PubMed

大模型驱动的PubMed中文搜索引擎

马上搜索

文档翻译

学术文献翻译模型,支持多种主流文档格式。

立即体验