Suppr超能文献

炎症性肠病中的炎症相关致癌作用:临床特征与分子机制

Inflammation-Associated Carcinogenesis in Inflammatory Bowel Disease: Clinical Features and Molecular Mechanisms.

作者信息

Hisamatsu Tadakazu, Miyoshi Jun, Oguri Noriaki, Morikubo Hiromu, Saito Daisuke, Hayashi Akimasa, Omori Teppei, Matsuura Minoru

机构信息

Department of Gastroenterology and Hepatology, Kyorin University School of Medicine, Tokyo 181-8611, Japan.

Department of Gastroenterology and Hepatology, Kyorin University Suginami Hospital, Tokyo 166-0012, Japan.

出版信息

Cells. 2025 Apr 9;14(8):567. doi: 10.3390/cells14080567.

Abstract

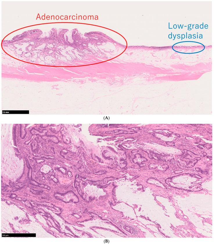
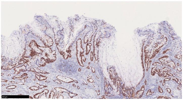
Inflammatory bowel disease (IBD), comprising ulcerative colitis (UC) and Crohn's disease (CD), is a chronic condition marked by persistent intestinal inflammation of unknown etiology. Disease onset involves genetic predisposition and environmental factors that disrupt the intestinal immune homeostasis. The intestinal microbiome and immune response play pivotal roles in disease progression. Advances in molecular therapies and early interventions have reduced surgery rates; however, colorectal cancer (CRC) remains a significant concern, driven by chronic inflammation. In UC, the risk of UC-associated neoplasia (UCAN) increases with disease duration, while CD patients face elevated risks of small intestine, anal fistula, and anal canal cancers. Endoscopic surveillance is advised for UCAN, but optimal screening intervals remain undefined, and no established guidelines exist for CD-associated cancers. UCAN morphology often complicates detection due to its flat, inflammation-blended appearance, which differs pathologically from sporadic CRC (sCRC). UCAN is frequently surrounded by dysplasia, with p53 mutations evident at the dysplasia stage. IBD-associated gastrointestinal cancers exemplify inflammation-driven carcinogenesis with distinct molecular mechanisms from the adenoma-carcinoma sequence. This review explores the epidemiology, risk factors, clinical and pathological features, current surveillance practices, and molecular pathways underlying inflammation-associated cancers in IBD.

摘要

炎症性肠病(IBD)包括溃疡性结肠炎(UC)和克罗恩病(CD),是一种慢性病,其特征为病因不明的持续性肠道炎症。疾病的发作涉及遗传易感性和破坏肠道免疫稳态的环境因素。肠道微生物群和免疫反应在疾病进展中起关键作用。分子疗法和早期干预的进展降低了手术率;然而,由慢性炎症引发的结直肠癌(CRC)仍然是一个重大问题。在UC中,UC相关肿瘤形成(UCAN)的风险随疾病持续时间增加,而CD患者面临小肠、肛瘘和肛管癌的风险升高。建议对UCAN进行内镜监测,但最佳筛查间隔仍未明确,且对于CD相关癌症尚无既定指南。UCAN的形态因其扁平、与炎症混合的外观而常使检测复杂化,其病理特征与散发性结直肠癌(sCRC)不同。UCAN常被发育异常所包围,在发育异常阶段可见p53突变。IBD相关的胃肠道癌症体现了炎症驱动的致癌作用,其分子机制与腺瘤-癌序列不同。本综述探讨了IBD中炎症相关癌症的流行病学、危险因素、临床和病理特征、当前监测实践以及分子途径。

https://cdn.ncbi.nlm.nih.gov/pmc/blobs/1680/12025475/be12da2b67a3/cells-14-00567-g001a.jpg

文献AI研究员

20分钟写一篇综述,助力文献阅读效率提升50倍。

立即体验

用中文搜PubMed

大模型驱动的PubMed中文搜索引擎

马上搜索

文档翻译

学术文献翻译模型,支持多种主流文档格式。

立即体验