Suppr超能文献

体温过低改变新生儿缺氧缺血性脑病的神经退行性变表型,但在相关仔猪模型中未出现:与毒性构象和内在无序的朊病毒样蛋白积累的可能关系。

Hypothermia Shifts Neurodegeneration Phenotype in Neonatal Human Hypoxic-Ischemic Encephalopathy but Not in Related Piglet Models: Possible Relationship to Toxic Conformer and Intrinsically Disordered Prion-like Protein Accumulation.

作者信息

Martin Lee J, Lee Jennifer K, Niedzwiecki Mark V, Amrein Almira Adriana, Javdan Cameron, Chen May W, Olberding Valerie, Brown Stephen M, Park Dongseok, Yohannan Sophie, Putcha Hasitha, Zheng Becky, Garrido Annalise, Benderoth Jordan, Kisner Chloe, Ghaemmaghami Javid, Northington Frances J, Kratimenos Panagiotis

机构信息

Department of Pathology, Division of Neuropathology, Johns Hopkins University School of Medicine, 558 Ross Building, 720 Rutland Avenue, Baltimore, MD 20205-2196, USA.

Department of Neuroscience, Johns Hopkins University School of Medicine, 558 Ross Building, 720 Rutland Avenue, Baltimore, MD 20205-2196, USA.

出版信息

Cells. 2025 Apr 12;14(8):586. doi: 10.3390/cells14080586.

Abstract

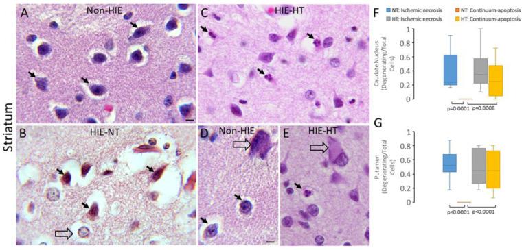
Hypothermia (HT) is used clinically for neonatal hypoxic-ischemic encephalopathy (HIE); however, the brain protection is incomplete and selective regional vulnerability and lifelong consequences remain. Refractory damage and impairment with HT cooling/rewarming could result from unchecked or altered persisting cell death and proteinopathy. We tested two hypotheses: (1) HT modifies neurodegeneration type, and (2) intrinsically disordered proteins (IDPs) and encephalopathy cause toxic conformer protein (TCP) proteinopathy neonatally. We studied postmortem human neonatal HIE cases with or without therapeutic HT, neonatal piglets subjected to global hypoxia-ischemia (HI) with and without HT or combinations of HI and quinolinic acid (QA) excitotoxicity surviving for 29-96 h to 14 days, and human oligodendrocytes and neurons exposed to QA for cell models. In human and piglet encephalopathies with normothermia, the neuropathology by hematoxylin and eosin staining was similar; necrotic cell degeneration predominated. With HT, neurodegeneration morphology shifted to apoptosis-necrosis hybrid and apoptotic forms in human HIE, while neurons in HI piglets were unshifting and protected robustly. Oligomers and putative TCPs of α-synuclein (αSyn), nitrated-Syn and aggregated αSyn, misfolded/oxidized superoxide dismutase-1 (SOD1), and prion protein (PrP) were detected with highly specific antibodies by immunohistochemistry, immunofluorescence, and immunoblotting. αSyn and SOD1 TCPs were seen in human HIE brains regardless of HT treatment. αSyn and SOD1 TCPs were detected as early as 29 h after injury in piglets and QA-injured human oligodendrocytes and neurons in culture. Cell immunophenotyping by immunofluorescence showed αSyn detected with antibodies to aggregated/oligomerized protein; nitrated-Syn accumulated in neurons, sometimes appearing as focal dendritic aggregations. Co-localization also showed aberrant αSyn accumulating in presynaptic terminals. Proteinase K-resistant PrP accumulated in ischemic Purkinje cells, and their target regions had PrP-positive neuritic plaque-like pathology. Immunofluorescence revealed misfolded/oxidized SOD1 in neurons, axons, astrocytes, and oligodendrocytes. HT attenuated TCP formation in piglets. We conclude that HT differentially affects brain damage in humans and piglets. HT shifts neuronal cell death to other forms in human while blocking ischemic necrosis in piglet for sustained protection. HI and excitotoxicity also acutely induce formation of TCPs and prion-like proteins from IDPs globally throughout the brain in gray matter and white matter. HT attenuates proteinopathy in piglets but seemingly not in humans. Shifting of cell death type and aberrant toxic protein formation could explain the selective system vulnerability, connectome spreading, and persistent damage seen in neonatal HIE leading to lifelong consequences even after HT treatment.

摘要

低温疗法(HT)临床上用于新生儿缺氧缺血性脑病(HIE);然而,脑保护并不完全,仍存在选择性区域易损性和终身后果。HT 冷却/复温过程中出现的难治性损伤和功能障碍可能源于未受控制或改变的持续性细胞死亡和蛋白病。我们检验了两个假设:(1)HT 改变神经退行性变类型,(2)内在无序蛋白(IDP)和脑病在新生儿期导致毒性构象蛋白(TCP)蛋白病。我们研究了接受或未接受治疗性 HT 的新生儿 HIE 死后病例、经历全脑缺氧缺血(HI)且接受或未接受 HT 或 HI 与喹啉酸(QA)兴奋性毒性联合作用并存活 29 - 96 小时至 14 天的新生仔猪,以及暴露于 QA 的人少突胶质细胞和神经元作为细胞模型。在体温正常的人和仔猪脑病中,苏木精和伊红染色显示的神经病理学相似;坏死性细胞变性占主导。对于 HT,在人类 HIE 中神经退行性变形态转变为凋亡 - 坏死混合及凋亡形式,而 HI 仔猪中的神经元未发生转变且得到有力保护。通过免疫组织化学、免疫荧光和免疫印迹法,用高度特异性抗体检测到α - 突触核蛋白(αSyn)、硝化 - Syn 和聚集的αSyn 的寡聚体和假定的 TCP、错误折叠/氧化的超氧化物歧化酶 - 1(SOD1)以及朊蛋白(PrP)。无论是否进行 HT 治疗,在人类 HIE 大脑中均可见αSyn 和 SOD1 TCP。在仔猪以及 QA 损伤的培养人少突胶质细胞和神经元中,损伤后 29 小时即可检测到αSyn 和 SOD1 TCP。通过免疫荧光进行细胞免疫表型分析显示,αSyn 可被聚集/寡聚化蛋白抗体检测到;硝化 - Syn 在神经元中积累,有时表现为局灶性树突聚集。共定位还显示异常的αSyn 在突触前终末积累。蛋白酶 K 抗性 PrP 在缺血的浦肯野细胞中积累,其靶区域有 PrP 阳性的神经炎性斑块样病理改变。免疫荧光显示神经元、轴突、星形胶质细胞和少突胶质细胞中存在错误折叠/氧化的 SOD1。HT 减轻了仔猪中 TCP 的形成。我们得出结论,HT 对人和仔猪脑损伤的影响存在差异。HT 在人类中将神经元细胞死亡转变为其他形式,而在仔猪中阻断缺血性坏死以提供持续保护。HI 和兴奋性毒性还会在全脑的灰质和白质中急性诱导 IDP 形成 TCP 和朊病毒样蛋白。HT 减轻了仔猪中的蛋白病,但在人类中似乎并非如此。细胞死亡类型的转变和异常毒性蛋白的形成可以解释新生儿 HIE 中所见的选择性系统易损性、连接组扩散以及持续性损伤,即使经过 HT 治疗仍会导致终身后果。

https://cdn.ncbi.nlm.nih.gov/pmc/blobs/1865/12025496/d55b101c93d1/cells-14-00586-g001.jpg

文献AI研究员

20分钟写一篇综述,助力文献阅读效率提升50倍。

立即体验

用中文搜PubMed

大模型驱动的PubMed中文搜索引擎

马上搜索

文档翻译

学术文献翻译模型,支持多种主流文档格式。

立即体验