Suppr超能文献

ZMYND8通过对IL-27的脂质调控驱动乳腺癌中的HER2抗体耐药性。

ZMYND8 drives HER2 antibody resistance in breast cancer via lipid control of IL-27.

作者信息

Wang Yong, Wang Yanan, Bao Lei, Vale Goncalo, McDonald Jeffrey G, Fang Yisheng, Peng Yan, Kumar Ashwani, Xing Chao, Brasó-Maristany Fara, Prat Aleix, Arteaga Carlos L, Wang Yingfei, Luo Weibo

机构信息

Department of Pathology, UT Southwestern Medical Center, Dallas, TX, USA.

Center for Human Nutrition, UT Southwestern Medical Center, Dallas, TX, USA.

出版信息

Nat Commun. 2025 Apr 25;16(1):3908. doi: 10.1038/s41467-025-59184-5.

Abstract

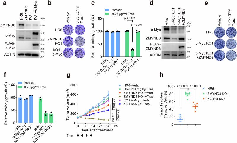
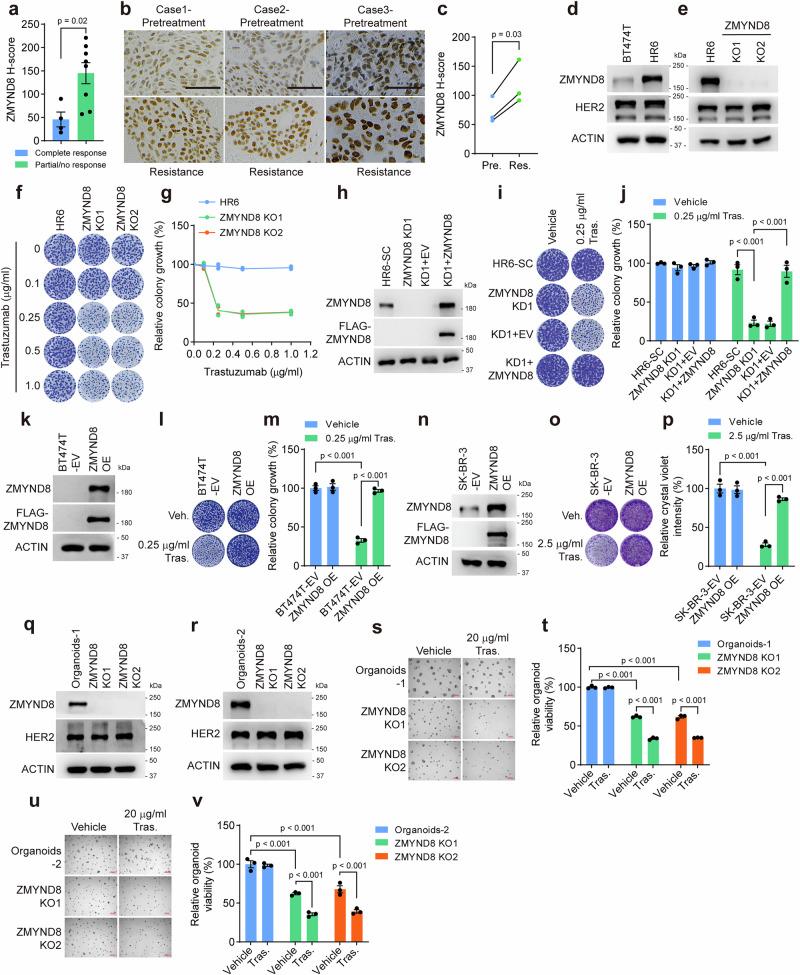
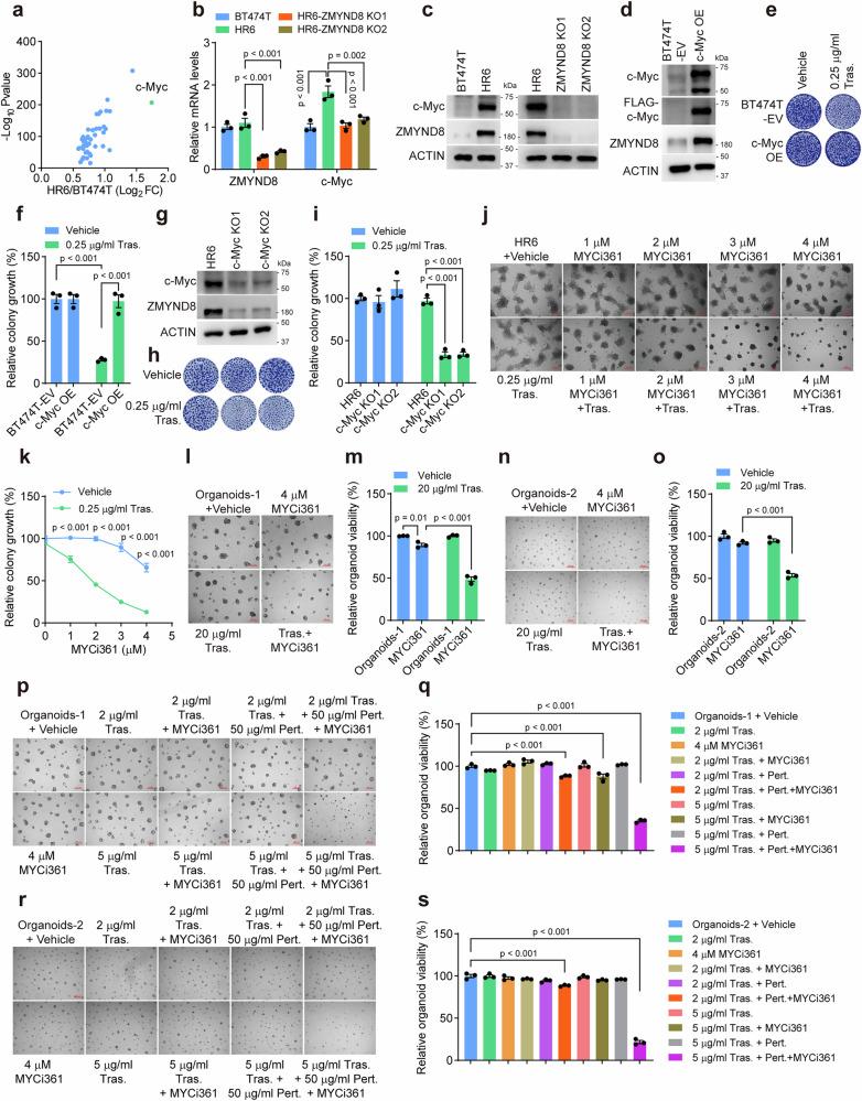
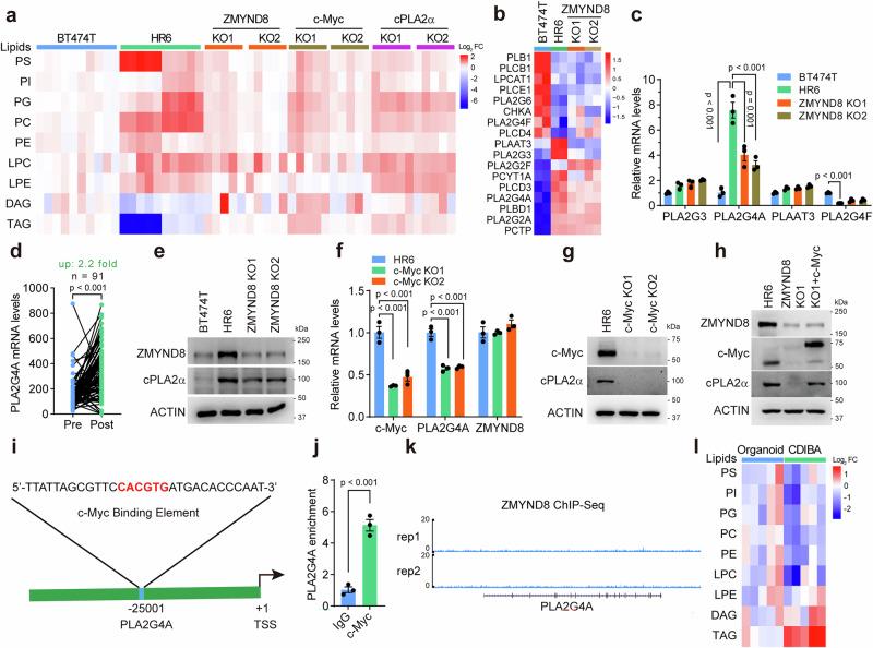
Anti-HER2 antibodies are effective but often lead to resistance in patients with HER2+ breast cancer. Here, we report an epigenetic crosstalk with aberrant glycerophospholipid metabolism and inflammation as a key resistance mechanism of anti-HER2 therapies in HER2+ breast cancer. Histone reader ZMYND8 specifically confers resistance to cancer cells against trastuzumab and/or pertuzumab. Mechanistically, ZMYND8 enhances cPLA2α expression in resistant tumor cells through inducing c-Myc. cPLA2α inactivates phosphatidylcholine-specific phospholipase C to inhibit phosphatidylcholine breakdown into diacylglycerol, which diminishes protein kinase C activity leading to interleukin-27 secretion. Supplementation with interleukin-27 protein counteracts cPLA2α loss to reinforce trastuzumab resistance in HER2+ tumor cells and patient-derived organoids. Upregulation of ZMYND8, c-Myc, cPLA2α, and IL-27 is prevalent in HER2+ breast cancer patients following HER2-targeted therapies. Targeting c-Myc or cPLA2α effectively overcomes anti-HER2 therapy resistance in patient-derived xenografts. Collectively, this study uncovers a druggable signaling cascade that drives resistance to HER2-targeted therapies in HER2+ breast cancer.

摘要

抗HER2抗体有效,但HER2阳性乳腺癌患者常出现耐药。在此,我们报告了一种表观遗传串扰,其与异常甘油磷脂代谢和炎症是HER2阳性乳腺癌抗HER2治疗的关键耐药机制。组蛋白阅读器ZMYND8特异性赋予癌细胞对曲妥珠单抗和/或帕妥珠单抗的耐药性。机制上,ZMYND8通过诱导c-Myc增强耐药肿瘤细胞中cPLA2α的表达。cPLA2α使磷脂酰胆碱特异性磷脂酶C失活,以抑制磷脂酰胆碱分解为二酰甘油,从而降低蛋白激酶C活性,导致白细胞介素-27分泌。补充白细胞介素-27蛋白可抵消cPLA2α缺失,增强HER2阳性肿瘤细胞和患者来源类器官中曲妥珠单抗的耐药性。在HER2靶向治疗后的HER2阳性乳腺癌患者中,ZMYND8、c-Myc、cPLA2α和IL-27的上调普遍存在。靶向c-Myc或cPLA2α可有效克服患者来源异种移植物中抗HER2治疗的耐药性。总体而言,本研究揭示了一种可药物靶向的信号级联反应,其驱动HER2阳性乳腺癌对HER2靶向治疗的耐药性。

https://cdn.ncbi.nlm.nih.gov/pmc/blobs/804f/12032076/ca5a2d414f96/41467_2025_59184_Fig1_HTML.jpg

文献AI研究员

20分钟写一篇综述,助力文献阅读效率提升50倍。

立即体验

用中文搜PubMed

大模型驱动的PubMed中文搜索引擎

马上搜索

文档翻译

学术文献翻译模型,支持多种主流文档格式。

立即体验