Suppr超能文献

利用沿血管周围间隙的扩散张量成像分析高级别胶质瘤患者的类淋巴系统功能。

Analysis of the glymphatic system function in high-grade glioma patients using diffusion tensor imaging along perivascular spaces.

作者信息

Tian Bin, Jiang Xili, Luo Xin, Zhang Wei

机构信息

Department of Radiology, The Second People's Hospital of Hunan Province (Brain Hospital of Hunan Province), The School of Clinical Medicine, Hunan University of Chinese Medicine, Changsha, 410021, China.

Department of Radiology, The Second People's Hospital of Hunan Province (Brain Hospital of Hunan Province), Changsha, 410021, China.

出版信息

BMC Neurol. 2025 Apr 25;25(1):181. doi: 10.1186/s12883-025-04166-9.

Abstract

OBJECTIVES

This study seeks to determine if patients with high-grade glioma (HGG) demonstrate glymphatic system (GS) impairments using Diffusion Tensor Imaging Along Perivascular Spaces (DTI-ALPS). Additionally, it aims to examine the factors affecting GS performance and their implications for HGG prognosis.

METHODS

The study enrolled fifty HGG patients alongside fifty age- and sex-matched healthy individuals. Each participant underwent diffusion tensor imaging with a Philips 3.0T MRI scanner to assess and compute the ALPS index within perivascular spaces. Variables such as gender, grade, location, volume, peritumoral edema volume, mass-edema index (peritumoral edema volume/tumor volume) and ALPS index were recorded. The Student's t-test and rank sum test compared the ALPS indices between HGG patients and healthy controls to evaluate hemispheric differences. Linear and multivariate Cox regression analyses were utilized to discern factors influencing the ALPS index and to establish independent prognostic markers for HGG, respectively.

RESULTS

The ALPS indices in both hemispheres were significantly lower in HGG patients, with the ipsilateral hemisphere exhibiting further reduced levels than the contralateral (P < 0.001). In comparisons involving tumor and edema volumes, no significant variations were observed between the hemispheres within HGG patients harboring larger tumors (P = 0.079) or lesser edema volumes (P = 0.24). A decrease in postoperative ALPS indices compared to preoperative figures was noted (P < 0.001). Univariate linear regression indicated a negative relationship between the ipsilateral ALPS index and peritumoral edema volume (P = 0.0392). Kaplan-Meier analysis demonstrated shorter survival times in patients with lower ALPS indices. Moreover, multivariate Cox regression highlighted tumor grade (HR = 1.548, P = 0.023) and ipsilateral ALPS index (HR = 0.040, P = 0.003) as crucial prognostic indicators.

CONCLUSION

In patients with HGG, there is impaired GS function in both hemispheres of the brain. Additionally, the impaired GS function in the tumor-side hemisphere is associated with tumor-associated edema. Following surgery, further damage to GS function is observed in both hemispheres of the brain in HGG patients. Poor GS function in the tumor-side hemisphere is correlated with a worse prognosis in HGG patients.

摘要

目的

本研究旨在通过沿血管周围间隙的扩散张量成像(DTI-ALPS)确定高级别胶质瘤(HGG)患者是否存在脑淋巴系统(GS)损伤。此外,旨在研究影响GS功能的因素及其对HGG预后的影响。

方法

本研究纳入了50例HGG患者以及50例年龄和性别匹配的健康个体。每位参与者使用飞利浦3.0T MRI扫描仪进行扩散张量成像,以评估和计算血管周围间隙内的ALPS指数。记录性别、分级、位置、体积、瘤周水肿体积、质量-水肿指数(瘤周水肿体积/肿瘤体积)和ALPS指数等变量。采用Student's t检验和秩和检验比较HGG患者与健康对照之间的ALPS指数,以评估半球差异。分别利用线性和多因素Cox回归分析来识别影响ALPS指数的因素并建立HGG的独立预后标志物。

结果

HGG患者双侧半球的ALPS指数均显著降低,患侧半球的水平低于对侧(P < 0.001)。在涉及肿瘤和水肿体积的比较中,肿瘤较大(P = 0.079)或水肿体积较小(P = 0.24)的HGG患者半球之间未观察到显著差异。与术前相比,术后ALPS指数降低(P < 0.001)。单因素线性回归表明患侧ALPS指数与瘤周水肿体积呈负相关(P = 0.0392)。Kaplan-Meier分析显示ALPS指数较低的患者生存时间较短。此外,多因素Cox回归突出显示肿瘤分级(HR = 1.548,P = 0.023)和患侧ALPS指数(HR = 0.040,P = 0.003)是关键的预后指标。

结论

在HGG患者中,双侧大脑半球的GS功能受损。此外,肿瘤侧半球的GS功能受损与肿瘤相关水肿有关。手术后,HGG患者双侧大脑半球的GS功能进一步受损。肿瘤侧半球GS功能差与HGG患者预后较差相关。

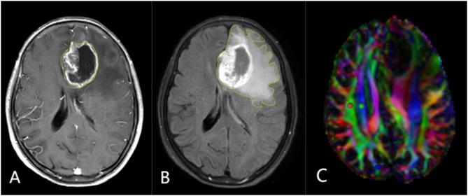
https://cdn.ncbi.nlm.nih.gov/pmc/blobs/24c5/12023570/5a145066809d/12883_2025_4166_Fig1_HTML.jpg

文献AI研究员

20分钟写一篇综述,助力文献阅读效率提升50倍。

立即体验

用中文搜PubMed

大模型驱动的PubMed中文搜索引擎

马上搜索

文档翻译

学术文献翻译模型,支持多种主流文档格式。

立即体验