Suppr超能文献

基于成纤维细胞活化蛋白抑制剂(FAPI)的诊疗一体化

Fibroblast Activation Protein Inhibitor (FAPI)-Based Theranostics.

作者信息

Serumula William, Pillay Venesen, Hadebe Bawinile, Vorster Mariza

机构信息

Department of Nuclear Medicine, School of Health Sciences, University of KwaZulu-Natal, Durban 4058, South Africa.

出版信息

Pharmaceuticals (Basel). 2025 Apr 3;18(4):522. doi: 10.3390/ph18040522.

Abstract

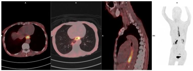
Fibroblast activation protein (FAP) is a serine protease selectively expressed in cancer-associated fibroblasts (CAFs), fibrotic tissues, and areas of active tissue remodeling, making it an attractive target for diagnostic imaging across a spectrum of disease. FAP inhibitors (FAPIs) labeled with PET tracers have rapidly advanced as a novel imaging modality with broad clinical applications that offers several advantages, including rapid tumor accumulation, low background uptake, and high tumor-to-background ratios. In oncology, FAPI PET has demonstrated excellent performance in visualizing a wide range of malignancies, including those with low glycolytic activity, such as pancreatic cancer, cholangiocarcinoma, and certain sarcomas. Its high sensitivity and specificity for the stromal component enables improved tumor delineation, staging, and response assessment. Additionally, the potential to guide theranostic approaches, where the same tracer can be labeled with therapeutic radionuclides, positions FAPI as a key player in precision oncology. Beyond oncology, FAPI PET has shown promise in imaging conditions characterized by fibrotic and inflammatory processes. In the cardiovascular field, FAPI PET imaging is being investigated for its ability to detect myocardial fibrosis and active cardiac remodeling, crucial in conditions like heart failure, post-myocardial infarction remodeling, and hypertrophic cardiomyopathy. This review highlights the expanding clinical applications of FAPI-based PET imaging across oncology, inflammation, and cardiovascular disease. While the current data are promising, further large-scale studies and multicenter trials are essential to validate these findings and establish standardized protocols. The versatility and broad applicability of FAPI PET underscore its potential as a transformative tool in precision medicine.

摘要

成纤维细胞活化蛋白(FAP)是一种丝氨酸蛋白酶,在癌症相关成纤维细胞(CAF)、纤维化组织和活跃的组织重塑区域中选择性表达,这使其成为一系列疾病诊断成像的有吸引力的靶点。用PET示踪剂标记的FAP抑制剂(FAPI)作为一种具有广泛临床应用的新型成像方式迅速发展,具有多种优势,包括肿瘤快速聚集、低本底摄取和高肿瘤与本底比值。在肿瘤学中,FAPI PET在可视化多种恶性肿瘤方面表现出色,包括那些糖酵解活性低的肿瘤,如胰腺癌、胆管癌和某些肉瘤。其对基质成分的高敏感性和特异性有助于改善肿瘤的勾勒、分期和反应评估。此外,由于可以用治疗性放射性核素标记相同的示踪剂,FAPI在指导治疗诊断方法方面具有潜力,使其成为精准肿瘤学的关键参与者。除肿瘤学外,FAPI PET在以纤维化和炎症过程为特征的成像条件下也显示出前景。在心血管领域,正在研究FAPI PET成像检测心肌纤维化和活跃心脏重塑的能力,这在心力衰竭、心肌梗死后重塑和肥厚型心肌病等疾病中至关重要。本综述强调了基于FAPI的PET成像在肿瘤学、炎症和心血管疾病中的临床应用不断扩大。虽然目前的数据很有前景,但进一步的大规模研究和多中心试验对于验证这些发现并建立标准化方案至关重要。FAPI PET的多功能性和广泛适用性突显了其作为精准医学中变革性工具的潜力。

https://cdn.ncbi.nlm.nih.gov/pmc/blobs/cddd/12030087/350e17bb3e30/pharmaceuticals-18-00522-g001.jpg

文献AI研究员

20分钟写一篇综述,助力文献阅读效率提升50倍。

立即体验

用中文搜PubMed

大模型驱动的PubMed中文搜索引擎

马上搜索

文档翻译

学术文献翻译模型,支持多种主流文档格式。

立即体验