Suppr超能文献

使用具有不同功能特性的植物源生物活性物质进行日粮添加对肉鸡免疫基因表达、肠道组织学、生长性能和产肉性能的影响

Effects of Dietary Supplementation Using Phytobiotics with Different Functional Properties on Expression of Immunity Genes, Intestinal Histology, Growth, and Meat Productivity of Broiler Chickens.

作者信息

Selionova Marina I, Trukhachev Vladimir I, Zagarin Artem Yu, Kulikov Egor I, Belyaeva Nina P

机构信息

Department of Animal Breeding, Genetics and Biotechnology, Institute of Animal Science and Biology, Russian State Agrarian University-Moscow Timiryazev Agricultural Academy, 49 Timiryazevskaya Str., Moscow 127434, Russia.

Department of Animal Nutrition, Institute of Animal Science and Biology, Russian State Agrarian University-Moscow Timiryazev Agricultural Academy, 49 Timiryazevskaya Str., Moscow 127434, Russia.

出版信息

Vet Sci. 2025 Mar 25;12(4):302. doi: 10.3390/vetsci12040302.

Abstract

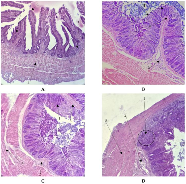
The aim of this study was to investigate the expression of immunity-related genes and morpho-histological features of the intestines, and the growth and meat production of broiler chickens when fed plant extracts with different functional components. Chickens in the control group received a basic diet. The feed in the experimental groups contained plant extracts standardized to various biologically active components such as the extract of common chicory with inulin (INUL), St. John's wort with flavonoids (FLAV), maral root with ecdysterone (ECDS), and extracts of creeping thyme with flavonoids and tannins (FLAV-TANN). The results of this study showed that the application of the studied phytobiotics increased the expression of the pro-inflammatory gene , with the 2 value ranging from 2.66 to 4.63. In the case of the antimicrobial peptide gene , the 2 value ranged from 1.66 to 8.16, depending on the group. gene expression increased (2 = 2.19) when the chickens were fed the chicory extract and decreased when thyme extract was used (2 = 0.33). The study also found that using biologically active components in the diets of broiler chickens was accompanied by a significant decrease in the height of epithelial cells in the cecum mucous membrane in the INUL group (61.3%, ≤ 0.001), FLAV group (60.0%, ≤ 0.001), ECDS group (48.2%, ≤ 0.001), and FLAV + TANN group (67.6%, ≤ 0.001). It also caused a reduction in the depth of crypts in the INUL (38.4%, ≤ 0.001), FLAV (32.3%, ≤ 0.001), ECDS (50.9%, ≤ 0.001), and FLAV + TANN (53.4%, ≤ 0.001) groups. The use of all extracts, except creeping thyme, caused changes in the size of muscular elements in the intestinal walls; thus, the thickness of the muscular layer increased 1.5-2.0 times under the influence of flavonoids in St. John's wort and of inulin in chicory, to 430.99 and 579.87 μm, respectively ( ≤ 0.001), and decreased 1.9 times under the influence of ecdysterone in maral root to 151.59 μm ( ≤ 0.001). The use of phytobiotics increased feed consumption and stock safety, leading to an increase of 4.1-7.5% in the live weights of broiler chickens at the end of the rearing period, thus contributing to the higher slaughter quality of poultry; in particular, the weights of breast muscles in cockerels in the INUL group increased by 16.9% ( ≤ 0.05), while the weights in the ECDS and FLAV + TANN groups increased by 18.1% ( ≤ 0.05) and 23.1% ( ≤ 0.01), respectively. Thus, the use of the studied phytobiotics in the broiler chicken diet increases meat production and activates immunity, which indicates the possibility of replacing antibacterial drugs with natural nutraceuticals.

摘要

本研究旨在调查免疫相关基因的表达、肠道的形态组织学特征,以及给肉鸡饲喂具有不同功能成分的植物提取物时其生长和产肉性能。对照组的鸡只饲喂基础日粮。实验组的饲料含有标准化为各种生物活性成分的植物提取物,如含菊粉的普通菊苣提取物(INUL)、含黄酮类化合物的圣约翰草提取物(FLAV)、含蜕皮甾酮的马鹿茸提取物(ECDS),以及含黄酮类化合物和单宁的匍匐百里香提取物(FLAV-TANN)。本研究结果表明,所研究的植物源生物活性物质的应用增加了促炎基因的表达,其2值范围为2.66至4.63。就抗菌肽基因而言,2值范围为1.66至8.16,具体取决于组别。当给鸡饲喂菊苣提取物时,基因表达增加(2 = 2.19),而使用百里香提取物时则降低(2 = 0.33)。该研究还发现,在肉鸡日粮中使用生物活性成分伴随着INUL组(61.3%,≤ 0.001)、FLAV组(60.0%,≤ 0.001)、ECDS组(48.2%,≤ 0.001)和FLAV + TANN组(67.6%,≤ 0.001)盲肠黏膜上皮细胞高度的显著降低。这也导致INUL组(38.4%,≤ 0.001)、FLAV组(32.3%,≤ 0.001)、ECDS组(50.9%,≤ 0.001)和FLAV + TANN组(53.4%,≤ 0.001)隐窝深度的降低。除了匍匐百里香外,所有提取物的使用均导致肠壁肌肉成分大小的变化;因此,在圣约翰草中的黄酮类化合物和菊苣中的菊粉的影响下,肌层厚度分别增加1.5至2.0倍,达到430.99和579.87μm(≤ 0.001),而在马鹿茸中的蜕皮甾酮的影响下降低1.9倍,至151.59μm(≤ 0.001)。植物源生物活性物质的使用增加了采食量和存栏安全性,导致饲养期结束时肉鸡活重增加4.1 - 7.5%,从而有助于提高家禽的屠宰质量;特别是,INUL组公鸡胸肌重量增加了16.9%(≤ 0.05),而ECDS组和FLAV + TANN组的重量分别增加了18.1%(≤ 0.05)和23.1%(≤ 0.01)。因此,在肉鸡日粮中使用所研究的植物源生物活性物质可提高产肉性能并激活免疫力,这表明用天然营养保健品替代抗菌药物的可能性。

https://cdn.ncbi.nlm.nih.gov/pmc/blobs/320f/12030954/19ac050bf4ce/vetsci-12-00302-g001.jpg

文献AI研究员

20分钟写一篇综述,助力文献阅读效率提升50倍。

立即体验

用中文搜PubMed

大模型驱动的PubMed中文搜索引擎

马上搜索

文档翻译

学术文献翻译模型,支持多种主流文档格式。

立即体验