Suppr超能文献

严重急性呼吸综合征冠状病毒2变异株在转基因K18-h和近交免疫活性C57BL/6J小鼠中的感染动态及发病机制

Severe Acute Respiratory Syndrome Coronavirus 2 Variant Infection Dynamics and Pathogenesis in Transgenic K18-h and Inbred Immunocompetent C57BL/6J Mice.

作者信息

Liu Hongwei, Ramirez Brianna M, Wong Talia S, Weiss Christopher M, Lloyd Kevin C K, Gong Qizhi, Coffey Lark L

机构信息

Department of Pathology, Microbiology, and Immunology, School of Veterinary Medicine, University of California, Davis, CA 95616, USA.

Department of Cell Biology and Human Anatomy, School of Medicine, University of California, Davis, CA 95616, USA.

出版信息

Viruses. 2025 Mar 30;17(4):500. doi: 10.3390/v17040500.

Abstract

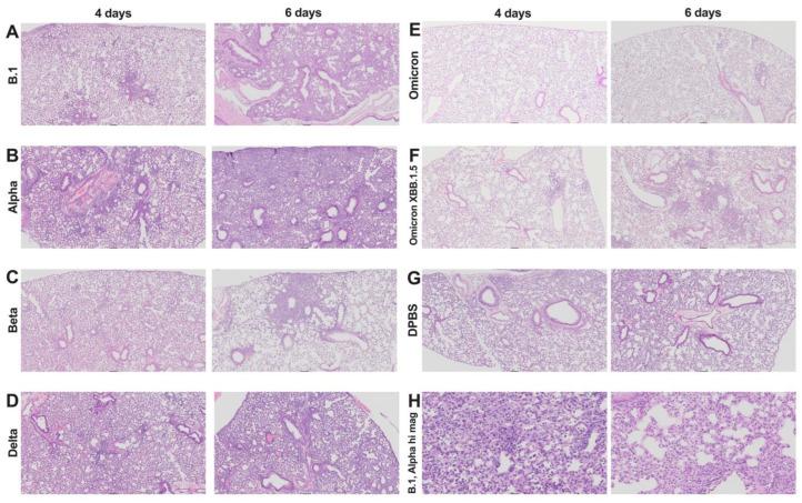
The global impact of the COVID-19 pandemic, caused by severe acute respiratory syndrome coronavirus 2 (SARS-CoV-2), persists in part due to the emergence of new variants. Understanding variant-specific infection dynamics and pathogenesis in murine models is crucial for identifying phenotypic changes and guiding the development of countermeasures. To address the limitations of earlier studies that investigated only a few variants or used small sample sizes, we evaluated clinical disease, infection kinetics, viral titers, cellular localization, and histopathologic changes in the lungs and brains of transgenic B6.Cg-Tg(K18-)2Prlmn/J ("K18") and corresponding genetic control (C57BL/6J) mice expressing human angiotensin-converting enzyme 2 (hACE2). Six SARS-CoV-2 variants were assessed: B.1 (WA1-like), alpha, beta, delta, omicron, and omicron XBB.1.5, using cohorts of ≥18 mice. Following intranasal inoculation with B.1, alpha, beta, or delta variants, K18 mice experienced rapid weight loss and reached euthanasia criteria by 5-6 days post-inoculation (dpi). In contrast, K18 mice inoculated with both omicron variants recovered to their starting weight within 4-6 dpi. Infectious SARS-CoV-2 was detected in the oropharynx at 1 and2 dpi, in the lungs at 2, 4, and 6 dpi, and in the brain at 4 and 6 dpi for all variants except omicron. SARS-CoV-2 nucleoprotein was detected, and interstitial pneumonia of varying severity was observed in K18 mice infected with all variants. Brain lesions were identified in mice infected with the B.1, beta, and delta variants 6 dpi. As K18 mice express hACE2 in the brain-a feature not present in humans-we also compared infection dynamics of three variants to those of a mouse-adapted WA1 strain in C57BL/6J mice lacking the human gene. C57BL/6J mice did not experience lethal disease, exhibited milder pneumonia, and had no evidence of neuroinvasion despite similar infection kinetics to K18 mice. These findings demonstrate contrasting phenotypes across the two models and reduced tropism and pathology of omicron compared to earlier variants in both models. This comprehensive analysis of SARS-CoV-2 variants in two mouse models provides valuable insights for model and variant selection for future studies.

摘要

由严重急性呼吸综合征冠状病毒2(SARS-CoV-2)引起的新冠疫情的全球影响仍在持续,部分原因是新变种的出现。了解鼠模型中变种特异性的感染动态和发病机制对于识别表型变化和指导应对措施的开发至关重要。为了解决早期研究仅调查少数变种或样本量较小的局限性,我们评估了表达人类血管紧张素转换酶2(hACE2)的转基因B6.Cg-Tg(K18-)2Prlmn/J(“K18”)小鼠和相应基因对照(C57BL/6J)小鼠的肺部和大脑中的临床疾病、感染动力学、病毒滴度、细胞定位和组织病理学变化。使用≥18只小鼠的队列评估了六种SARS-CoV-2变种:B.1(类似WA1)、α、β、δ、奥密克戎和奥密克戎XBB.1.5。用B.1、α、β或δ变种进行鼻内接种后,K18小鼠体重迅速减轻,在接种后5 - 6天达到安乐死标准。相比之下,接种两种奥密克戎变种的K18小鼠在4 - 6天内恢复到起始体重。除奥密克戎外,所有变种在接种后1天和2天在口咽部、2天、4天和6天在肺部以及4天和6天在大脑中检测到传染性SARS-CoV-2。在感染所有变种的K18小鼠中检测到SARS-CoV-2核蛋白,并观察到不同严重程度的间质性肺炎。在接种后6天感染B.1、β和δ变种的小鼠中发现了脑部病变。由于K18小鼠在大脑中表达hACE2(这是人类所没有的特征),我们还比较了三种变种与缺乏人类基因的C57BL/6J小鼠中适应小鼠的WA1毒株的感染动态。C57BL/6J小鼠没有出现致命疾病,但肺炎较轻,尽管感染动力学与K18小鼠相似,但没有神经侵袭的证据。这些发现表明两种模型的表型存在差异,并且与早期变种相比,奥密克戎在两种模型中的嗜性和病理学都有所降低。对两种小鼠模型中的SARS-CoV-2变种进行的这种全面分析为未来研究的模型和变种选择提供了有价值的见解。

https://cdn.ncbi.nlm.nih.gov/pmc/blobs/2568/12031173/9cafac17d1e9/viruses-17-00500-g001.jpg

文献AI研究员

20分钟写一篇综述,助力文献阅读效率提升50倍。

立即体验

用中文搜PubMed

大模型驱动的PubMed中文搜索引擎

马上搜索

文档翻译

学术文献翻译模型,支持多种主流文档格式。

立即体验