Suppr超能文献

神经降压素通过调节肝细胞中的脂质摄取和线粒体适应性来促进肝脂肪变性。

Neurotensin promotes hepatic steatosis by regulating lipid uptake and mitochondrial adaptation in hepatocytes.

作者信息

Banerjee Moumita, Song Jun, Yan Baoxiang, Wu Haoming, Norouzi Shaghayegh, Sengoku Tomoko, Sharma Savita, Fan Teresa W M, Lee Eun, He Daheng, Wang Chi, Liu Jinpeng, Schmitt Timothy M, Gao Tianyan, Weiss Heidi L, Li Jing, Evers B Mark

机构信息

Markey Cancer Center, University of Kentucky, Lexington, KY, USA.

Department of Surgery, University of Kentucky, Lexington, KY, USA.

出版信息

Cell Death Dis. 2025 Apr 27;16(1):347. doi: 10.1038/s41419-025-07664-3.

Abstract

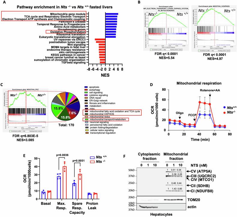
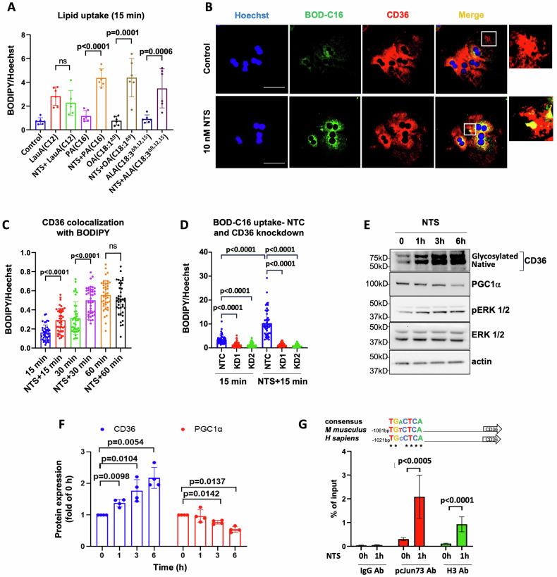
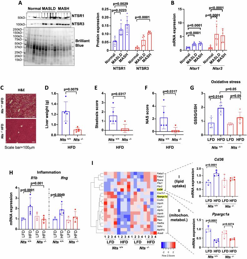
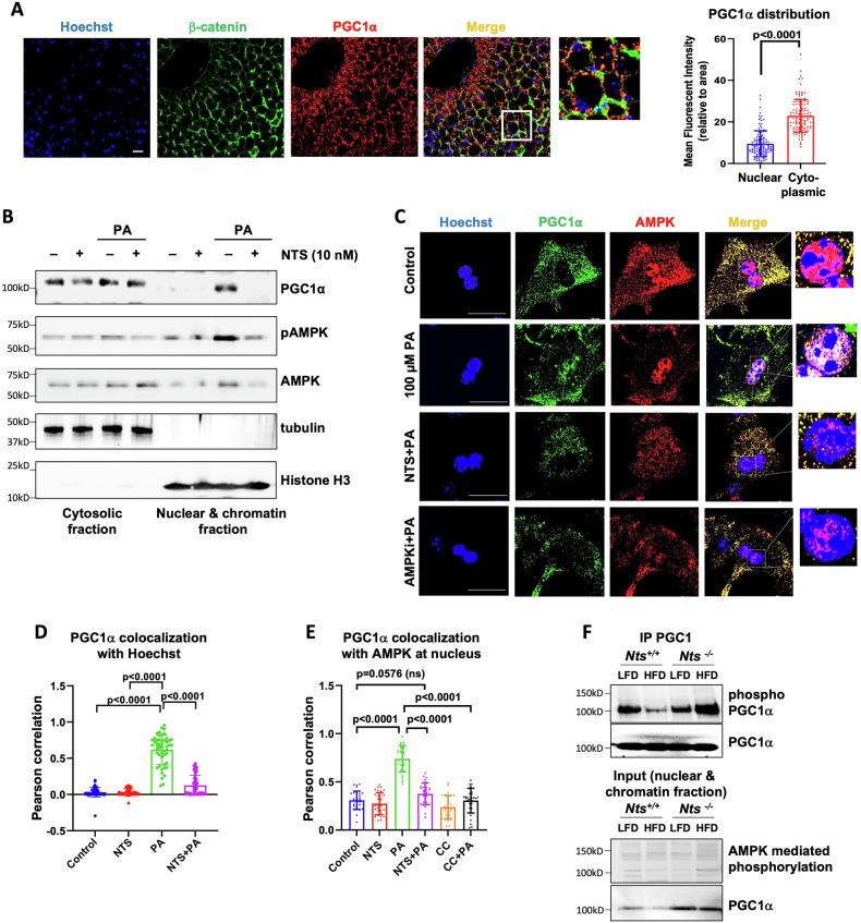
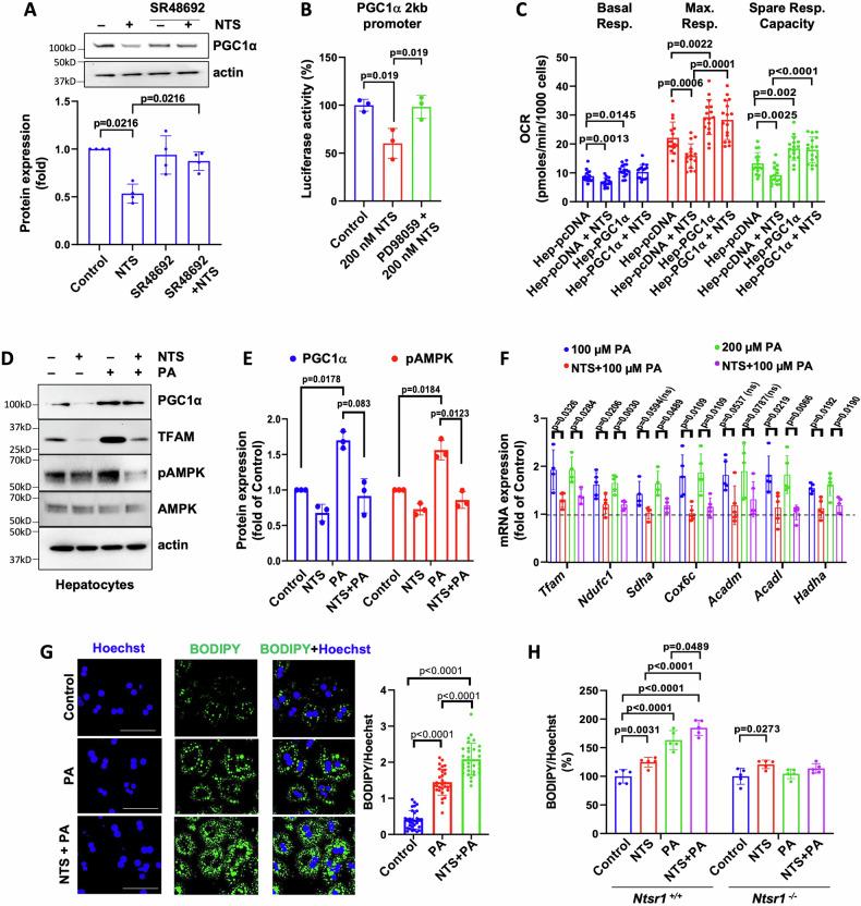
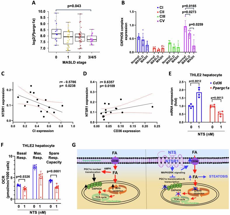
Metabolic dysfunction-associated steatotic liver disease (MASLD) is a multifactorial disease characterized by hepatic steatosis. Mitochondrial dysfunction resulting in the incomplete digestion of surplus fat is one of the key factors that lead to hepatic steatosis but the reason for this remains unclear. We investigated the role of neurotensin (NTS), a gut hormone, in inducing maladaptive fat metabolism in steatotic liver. We identify CD36 and PGC1α, two critical drivers of MASLD, as direct NTS signaling targets in the liver. NTS upregulates CD36, a free fatty acid receptor, in hepatocytes and promotes long chain lipid uptake. Conversely, NTS inhibits PGC1α, which acts as a lipid sensor and translocates to the nucleus to activate lipid catabolism-related genes in an AMPK-dependent manner. Thus, a high fat diet decreases the fatty acid oxidation and oxidative phosphorylation capacity of the liver and hepatocytes from NTS or NTS receptor 1 (NTSR1) wild type mice; whereas NTS deficiency preserves the lipid metabolism capacity of the liver. NTS signaling is significantly upregulated in MASLD and in metabolic dysfunction-associated steatohepatitis (MASH) human liver samples when compared to normal livers, which correlates with the expression of CD36 and oxidative phosphorylation proteins. These findings provide critical mechanistic insights into the maladaptive fat metabolism noted with steatosis in mice and humans and suggest novel strategies for therapeutic intervention of MASLD, which affects nearly one-quarter of the global population.

摘要

代谢功能障碍相关脂肪性肝病(MASLD)是一种以肝脂肪变性为特征的多因素疾病。线粒体功能障碍导致多余脂肪消化不完全是导致肝脂肪变性的关键因素之一,但其原因尚不清楚。我们研究了肠道激素神经降压素(NTS)在脂肪性肝病中诱导适应性脂肪代谢异常中的作用。我们确定了MASLD的两个关键驱动因子CD36和PGC1α是肝脏中直接的NTS信号靶点。NTS上调肝细胞中游离脂肪酸受体CD36,并促进长链脂质摄取。相反,NTS抑制PGC1α,PGC1α作为脂质传感器,以AMPK依赖的方式转运至细胞核以激活脂质分解代谢相关基因。因此,高脂饮食会降低NTS或神经降压素受体1(NTSR1)野生型小鼠肝脏和肝细胞的脂肪酸氧化及氧化磷酸化能力;而NTS缺乏则保留了肝脏的脂质代谢能力。与正常肝脏相比,MASLD和代谢功能障碍相关脂肪性肝炎(MASH)患者肝脏样本中的NTS信号显著上调,这与CD36和氧化磷酸化蛋白的表达相关。这些发现为小鼠和人类脂肪变性中适应性脂肪代谢异常提供了关键的机制见解,并为MASLD的治疗干预提出了新策略,MASLD影响了全球近四分之一的人口。

https://cdn.ncbi.nlm.nih.gov/pmc/blobs/8040/12033321/c482d278d9e6/41419_2025_7664_Fig1_HTML.jpg

文献AI研究员

20分钟写一篇综述,助力文献阅读效率提升50倍。

立即体验

用中文搜PubMed

大模型驱动的PubMed中文搜索引擎

马上搜索

文档翻译

学术文献翻译模型,支持多种主流文档格式。

立即体验