Suppr超能文献

冻干粉末对体内肾脏生物标志物和炎症的肾保护潜力。

Nephroprotective Potential of Lyophilized Powder Against Renal Biomarkers and Inflammation In Vivo.

作者信息

Latif Saima, Sohaib Muhammad, Iqbal Sanaullah, Mushtaq Muhammad Hassan, Sultan Muhammad Tauseef

机构信息

Department of Food Science & Human Nutrition, University of Veterinary & Animal Sciences, Lahore 54000, Punjab, Pakistan.

Department of Epidemiology & Public Health, University of Veterinary and Animal Sciences, Lahore 54000, Punjab, Pakistan.

出版信息

J Nutr Metab. 2025 Apr 19;2025:3726752. doi: 10.1155/jnme/3726752. eCollection 2025.

Abstract

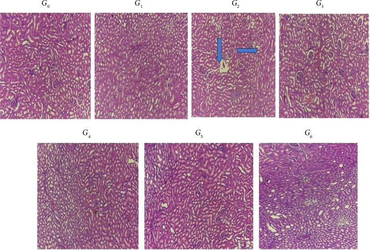
Phalsa () fruit is known for its rich nutritional profile and diverse pharmacological properties such as antioxidants, anti-inflammatory, and anti-cancer, making it a promising contender for preventive measures against cisplatin-induced acute kidney injury (AKI) in living organisms. In the present study, rats were provided with different levels of lyophilized 200, 300, and 400 mg/kg body weight along with control, fed on the basal diet. After trial completion, blood serum samples of rats subjected to renal biomarkers, hematology, and liver function tests, interleukin-6 (IL-6), whereas enzymes (alanine aminotransferase (ALT); sodium oxide dismutase, and glutathione) for kidney tissues along with photomicrographs for kidney tissue damage were measured. The findings revealed that lyophilized provision effectively reduced renal biomarkers, blood urea nitrogen, and creatinine with AKI in the rats as well as treatments demonstrated significant improvements in antioxidant activity by reducing malonaldehyde levels and increasing the activity of glutathione, catalase, and superoxide dismutase in groups treated with dosages of 300 and 400 mg/kg powder. exhibited remarkable hepatoprotective properties by decreasing ALT and displayed anti-inflammatory properties, as evidenced by a substantial decrease in interleukin-6 serum levels. The study findings also added valuable insight into the multiform nephroprotective reverberation of lyophilized phalsa powder, emphasizing its plausible protective use in reducing cisplatin-induced nephrotoxicity.

摘要

紫穗醋栗()果实以其丰富的营养成分和多种药理特性而闻名,如抗氧化、抗炎和抗癌特性,这使其成为预防生物体顺铂诱导的急性肾损伤(AKI)的有力候选者。在本研究中,给大鼠提供不同水平的冻干紫穗醋栗(200、300和400毫克/千克体重),同时设对照组,以基础饮食喂养。试验结束后,对大鼠进行肾脏生物标志物、血液学和肝功能测试,检测血清中的白细胞介素-6(IL-6),同时检测肾脏组织中的酶(丙氨酸转氨酶(ALT)、氧化钠歧化酶和谷胱甘肽),并拍摄肾脏组织损伤的显微照片。研究结果表明,冻干紫穗醋栗能有效降低大鼠急性肾损伤的肾脏生物标志物、血尿素氮和肌酐,并且在300和400毫克/千克粉末处理组中,通过降低丙二醛水平和提高谷胱甘肽、过氧化氢酶和超氧化物歧化酶的活性,抗氧化活性有显著改善。通过降低ALT显示出显著的肝脏保护特性,并通过血清白细胞介素-6水平的大幅下降证明具有抗炎特性。研究结果还为冻干紫穗醋栗粉的多种肾脏保护作用提供了有价值的见解,强调了其在减轻顺铂诱导的肾毒性方面的合理保护作用。

https://cdn.ncbi.nlm.nih.gov/pmc/blobs/e50a/12033067/6950b471bfdc/JNME2025-3726752.001.jpg

文献AI研究员

20分钟写一篇综述,助力文献阅读效率提升50倍。

立即体验

用中文搜PubMed

大模型驱动的PubMed中文搜索引擎

马上搜索

文档翻译

学术文献翻译模型,支持多种主流文档格式。

立即体验