Suppr超能文献

HIV-1对巨噬细胞的细胞间感染可逃避I型干扰素和宿主限制因子,并且对抗逆转录病毒药物具有抗性。

HIV-1 cell-to-cell infection of macrophages escapes type I interferon and host restriction factors, and is resistant to antiretroviral drugs.

作者信息

Woottum Marie, Yan Sen, Durringer Agathe, Mézière Léa, Bracq Lucie, Han Mingyu, Ndiaye-Lobry Delphine, Chaumeil Julie, Pagès Jean-Christophe, Benichou Serge

机构信息

Institut Cochin, Inserm U1016, Paris, France.

CNRS, UMR8104, Paris, France.

出版信息

PLoS Pathog. 2025 Apr 28;21(4):e1013130. doi: 10.1371/journal.ppat.1013130. eCollection 2025 Apr.

Abstract

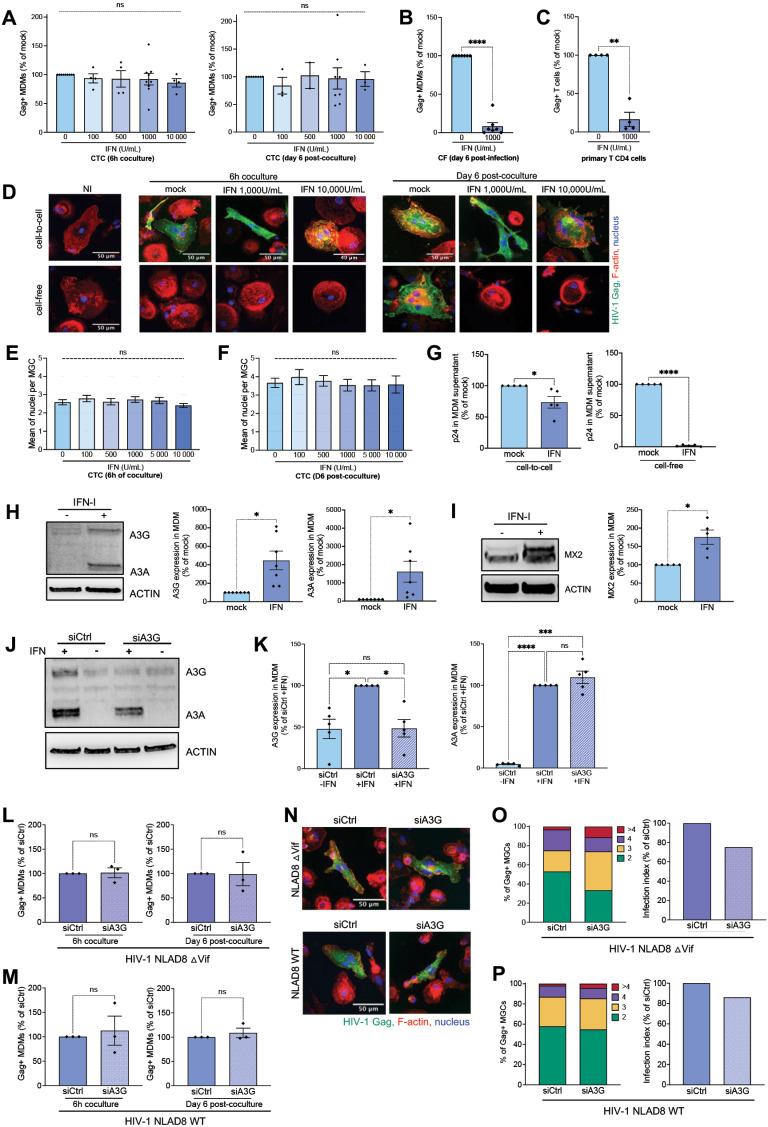
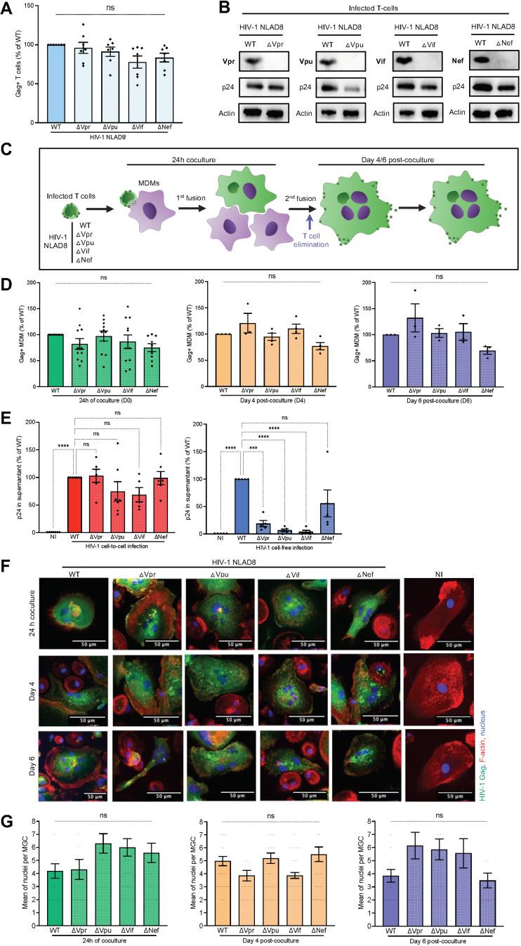
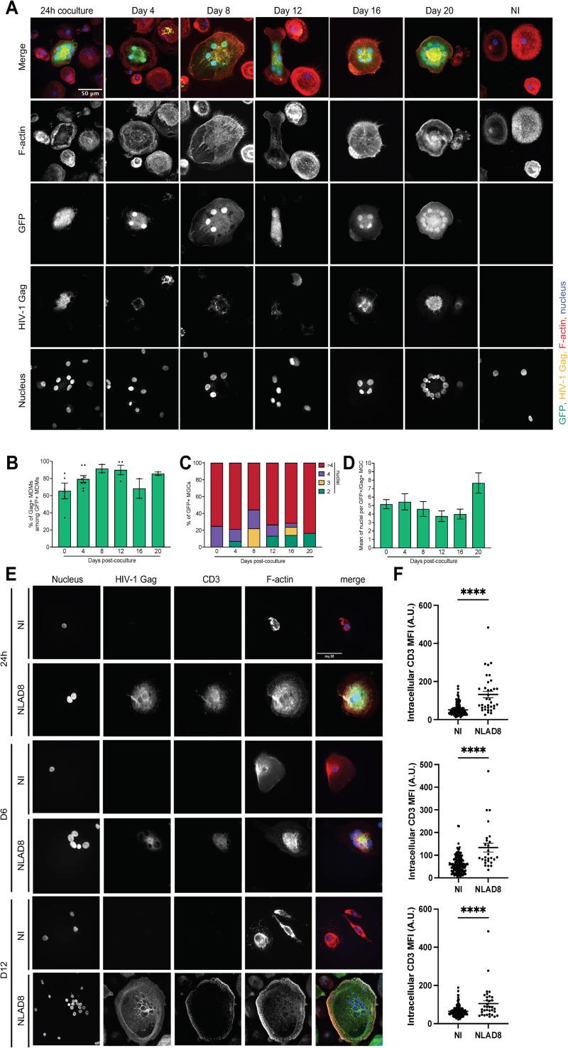
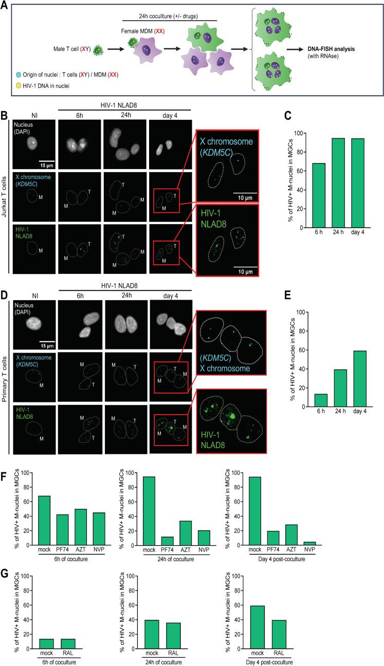
HIV-1-infected macrophages participate in viral transmission, dissemination, and establishment of tissue virus reservoirs. Despite counteracting viral proteins (Vif, Vpu, Vpr and Nef), cell-free virus macrophage infection is restricted by host cell factors, including those induced by interferons. Here, we show that these viral proteins and type I interferon do not influence HIV-1 cell-to-cell transfer to macrophages by cell-cell fusion with infected T cells, still leading to the formation of multinucleated giant cells (MGCs). Accordingly, depletion of SERINC5 and APOBEC3G do not alter virus spreading and formation of virus-producing MGCs. We further show that the nuclei derived from infected T cells remains transcriptionally active in MGCs and may explain resistance to restriction factors and antiretroviral drugs. Unexpectedly, we detect viral DNA in myeloid nuclei shortly after the initial fusion with macrophages. Together, these findings unravel how HIV-1 macrophage infection by cell-cell fusion escapes type I interferon and cellular restriction factors independently of the viral auxiliary proteins, while displaying resistance to antiretroviral drugs.

摘要

感染HIV-1的巨噬细胞参与病毒传播、扩散以及组织病毒储存库的建立。尽管存在对抗病毒蛋白(Vif、Vpu、Vpr和Nef)的机制,但无细胞病毒对巨噬细胞的感染受到宿主细胞因子的限制,包括那些由干扰素诱导产生的因子。在此,我们表明这些病毒蛋白和I型干扰素不会通过与受感染T细胞的细胞-细胞融合影响HIV-1从细胞到巨噬细胞的转移,这仍会导致多核巨细胞(MGCs)的形成。相应地,SERINC5和APOBEC3G的耗竭不会改变病毒传播以及产生病毒的MGCs的形成。我们进一步表明,源自受感染T细胞的细胞核在MGCs中仍保持转录活性,这可能解释了对限制因子和抗逆转录病毒药物的抗性。出乎意料的是,在与巨噬细胞初次融合后不久,我们在髓细胞核中检测到了病毒DNA。总之,这些发现揭示了HIV-1通过细胞-细胞融合感染巨噬细胞是如何独立于病毒辅助蛋白而逃避I型干扰素和细胞限制因子的,同时还表现出对抗逆转录病毒药物的抗性。

https://cdn.ncbi.nlm.nih.gov/pmc/blobs/7e24/12064042/f94bd7a54499/ppat.1013130.g001.jpg

文献AI研究员

20分钟写一篇综述,助力文献阅读效率提升50倍。

立即体验

用中文搜PubMed

大模型驱动的PubMed中文搜索引擎

马上搜索

文档翻译

学术文献翻译模型,支持多种主流文档格式。

立即体验