Suppr超能文献

绵羊过度钻孔骨部位中羟基磷灰石涂层植入物和富血小板纤维蛋白的组织形态计量学和显微断层扫描评估

Histomorphometric and microtomographic evaluation of hydroxyapatite coated implants and L-PRF in over drilled bone sites in sheep.

作者信息

Costa De-Moraes Sylvio Luiz, Lima Fernando Cesar Amazonas, Sartoretto Suelen Cristina, Ghiraldini Bruna, Bezerra Fabio Jose Barbosa, Nunes Pamella Santana, de Freitas Farias Dos Santos Caio Márcio Sorrentino, Calasans-Maia Monica Diuana, Granjeiro Jose Mauro

机构信息

Post-Graduation Program in Dentistry, Fluminense Federal University, Niteroi, 24220-140, Brazil.

Clinical Research Laboratory, Dentistry School, Universidade Federal Fluminense, Niteroi, 24220-140, Brazil.

出版信息

Sci Rep. 2025 Apr 28;15(1):14761. doi: 10.1038/s41598-025-98126-5.

Abstract

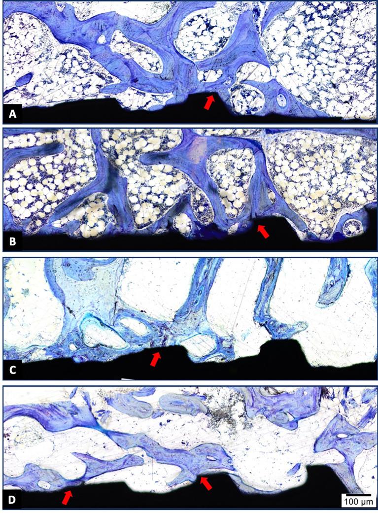
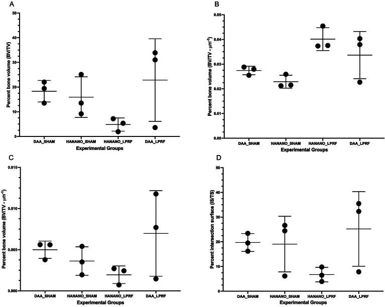
Hydroxyapatite used as a coating for titanium dental implants reduces the time required for osseointegration. Platelet-rich fibrin (L-PRF) releases growth factors and cytokines, enhancing tissue healing and bone regeneration. This study aimed to evaluate histologically, histomorphometrically, and by microcomputed tomography an implant surface coated with nanostructured hydroxyapatite (HAnano), in comparison with a double acid-etched (DAA) surface, both with and without peri-implant grafting with L-PRF, installed in over-instrumented sites in a low-density bone. Five adult sheep (2-4 years old) received twenty 3.5 × 10 mm implants in the iliac crest. Bone-to-implant contact (BIC) and bone-occupied area fraction (BAFo) were evaluated histomorphometrically after an 8-week experimental period. Brown-Forsyth analysis of variance (ANOVA) and Welch's ANOVA test did not identify significant differences between the experimental groups. On average, BIC ranged from 44% (HAnano + L-PRF) to 63% (DAA + L-PRF). µCT analysis revealed that bone volume density in the peri-implant region ranged from 26% (HAnano + L-PRF) to 39% (DAA). No statistically significant differences were observed between the groups. Both implant surfaces studied allowed osseointegration in low bone density sites, independently of peri-implant grafting with L-PRF, after 8 weeks of implantation. While this model provided controlled conditions for evaluating early-stage osseointegration, the absence of functional loading and the relatively short follow-up period should be considered when extrapolating the findings to clinical applications. Future studies should assess these variables under load-bearing conditions with extended observation periods. All the sheep in this study remained alive.

摘要

用作牙科钛植入物涂层的羟基磷灰石可减少骨结合所需的时间。富血小板纤维蛋白(L-PRF)可释放生长因子和细胞因子,促进组织愈合和骨再生。本研究旨在通过组织学、组织形态计量学以及微计算机断层扫描,评估一种涂覆有纳米结构羟基磷灰石(HAnano)的植入物表面,与双重酸蚀(DAA)表面相比,在低密度骨的过度预备部位植入时,有无L-PRF进行种植体周围植骨的情况。五只成年绵羊(2 - 4岁)在髂嵴植入20枚3.5×10毫米的植入物。在8周的实验期后,通过组织形态计量学评估骨与植入物接触(BIC)和骨占据面积分数(BAFo)。Brown-Forsyth方差分析(ANOVA)和Welch's ANOVA检验未发现实验组之间存在显著差异。平均而言,BIC范围为44%(HAnano + L-PRF)至63%(DAA + L-PRF)。µCT分析显示,种植体周围区域的骨体积密度范围为26%(HAnano + L-PRF)至39%(DAA)。各实验组之间未观察到统计学上的显著差异。植入8周后,所研究的两种植入物表面均可在低骨密度部位实现骨结合,与是否使用L-PRF进行种植体周围植骨无关。虽然该模型为评估早期骨结合提供了可控条件,但在将研究结果外推至临床应用时,应考虑缺乏功能负荷以及随访期相对较短的问题。未来的研究应在负重条件下并延长观察期来评估这些变量。本研究中的所有绵羊均存活。

https://cdn.ncbi.nlm.nih.gov/pmc/blobs/1d64/12037916/a509a7bc6dfc/41598_2025_98126_Fig1_HTML.jpg

文献AI研究员

20分钟写一篇综述,助力文献阅读效率提升50倍。

立即体验

用中文搜PubMed

大模型驱动的PubMed中文搜索引擎

马上搜索

文档翻译

学术文献翻译模型,支持多种主流文档格式。

立即体验