Suppr超能文献

基于细胞凋亡和免疫炎症中相互作用介导的NF-κB双通路研究丹栀逍遥散对AD模型大鼠学习及认知能力的影响

Based on the Dual Pathway of Interaction-Mediated NF-κB in Cell Apoptosis and Immune Inflammation to Study the Effect of Danzhi Xiaoyao Powder on the Learning and Cognitive Ability of AD Model Rats.

作者信息

Wang Hu-Ping, Li Ming-Cheng, Yang Jiao, Zhou Jun, Meng Zhi-Peng, Hu Yun-Yun, Lyu Yu-Jie, Chen Yi-Qin, Han Yu-Mei, Pei Wen-Li

机构信息

School of Basic Medicine, Gansu University of Traditional Chinese Medicine, Lanzhou, People's Republic of China.

Key Laboratory of Traditional Chinese Herbs and Prescription Innovation and Transformation of Gansu Province, Gansu University of Traditional Chinese Medicine, Lanzhou, People's Republic of China.

出版信息

Degener Neurol Neuromuscul Dis. 2025 Apr 14;15:41-64. doi: 10.2147/DNND.S475290. eCollection 2025.

Abstract

BACKGROUND

Apoptosis and immune inflammation play important roles in the pathological process of Alzheimer's disease (AD), but their specific pathogenesis is still unclear. Therefore, this article focuses on exploring the effects of Danzhi Xiaoyao Powder (DXP) on the learning and memory ability of AD model rats from the dual mechanisms of apoptosis and immune inflammation.

METHODS

The AD model was replicated by injecting Okadaic acid (100 ng) into the bilateral hippocampus of rats. Successful rats were selected and orally administered with donepezil hydrochloride and DXP decoction for 42 days. Their learning and memory abilities, hippocampal morphology, Aβ expression, inflammatory factors, apoptotic factors, anti apoptotic factors, as well as the expression of pathway proteins and mRNA were detected.

RESULTS

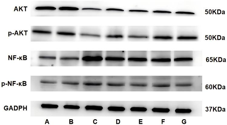
After DXP intervention, the learning and memory abilities of rats improved, the neuronal cell arrangement was more complete, the expression of Aβ decreased, the expression of pro-inflammatory cytokine and apoptotic factors decreased, the expression of anti apoptotic factors increased, Protein Kinase B (Akt) expression and activity significant up-regulation, and nuclear factor kappa-B (NF-κB), p38 MAPK (p38), MAPKAPK-2 (MK2), Cyclooxygenase-2 (COX-2) protein and mRNA expression were significantly down-regulated.

CONCLUSION

DXP can improve the learning and cognitive abilities of AD model rats, and its mechanism of action may be related to the regulation of the Akt/NF-κB apoptosis pathway mediated by NF-κB interaction and the p38MAPK/MK2/COX-2 immune inflammatory dual pathway.

摘要

背景

细胞凋亡和免疫炎症在阿尔茨海默病(AD)的病理过程中起重要作用,但其具体发病机制仍不清楚。因此,本文从细胞凋亡和免疫炎症双重机制出发,着重探讨丹栀逍遥散(DXP)对AD模型大鼠学习记忆能力的影响。

方法

通过向大鼠双侧海马注射冈田酸(100 ng)复制AD模型。选取造模成功的大鼠,分别灌胃给予盐酸多奈哌齐和DXP水煎剂,连续给药42天。检测其学习记忆能力、海马形态、Aβ表达、炎症因子、凋亡因子、抗凋亡因子以及相关信号通路蛋白和mRNA的表达。

结果

DXP干预后,大鼠学习记忆能力提高,神经元细胞排列更完整,Aβ表达降低,促炎细胞因子和凋亡因子表达减少,抗凋亡因子表达增加,蛋白激酶B(Akt)表达及活性显著上调,核因子κB(NF-κB)、p38丝裂原活化蛋白激酶(p38)、丝裂原活化蛋白激酶激活的蛋白激酶-2(MK2)、环氧化酶-2(COX-2)蛋白及mRNA表达显著下调。

结论

DXP可提高AD模型大鼠的学习认知能力,其作用机制可能与调节由NF-κB相互作用介导的Akt/NF-κB凋亡通路以及p38丝裂原活化蛋白激酶/MK2/COX-2免疫炎症双重通路有关。

https://cdn.ncbi.nlm.nih.gov/pmc/blobs/efb5/12035751/d905119c93a3/DNND-15-41-g0001.jpg

文献AI研究员

20分钟写一篇综述,助力文献阅读效率提升50倍。

立即体验

用中文搜PubMed

大模型驱动的PubMed中文搜索引擎

马上搜索

文档翻译

学术文献翻译模型,支持多种主流文档格式。

立即体验