Suppr超能文献

BARD1介导的METTL14稳定通过以YTHDF2依赖的方式对MXD1 mRNA进行m6A修饰来促进视网膜新生血管形成。

BARD1-mediated stabilization of METTL14 promotes retinal neovascularization by m6A-modifying MXD1 mRNA on a YTHDF2-dependent manner.

作者信息

Liu Xianyang, Zeng Shuhao, Meng Jiayu, Zhou Qian, Cao Fan, Chu Baorui, Wu Chao, Wang Yakun, Feng Hui, Bi Xiaorui, Chen Xinyuan, Yang Wenxian, Tian Meng, Yang Hui, Hu Ke, Hou Shengping

机构信息

The First Affiliated Hospital of Chongqing Medical University, China.

Beijing Institute of Ophthalmology, Beijing Tongren Eye Center, Beijing Tongren Hospital, Capital Medical University, Beijing Ophthalmology & Visual Sciences Key Laboratory, Beijing, 100730, China.

出版信息

Theranostics. 2025 Apr 13;15(11):5481-5498. doi: 10.7150/thno.110122. eCollection 2025.

Abstract

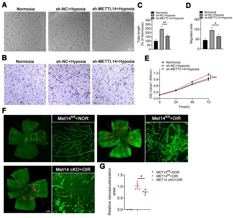
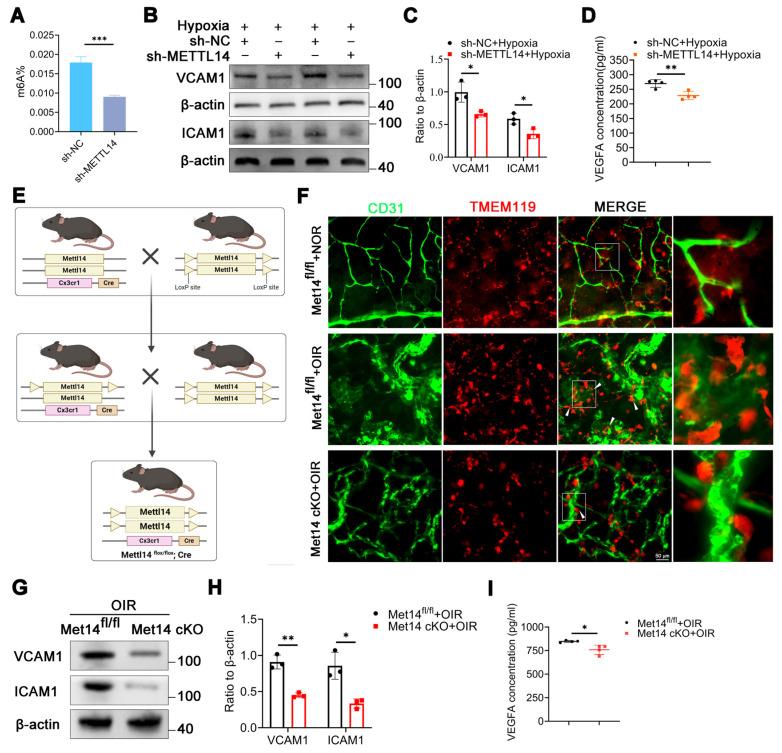
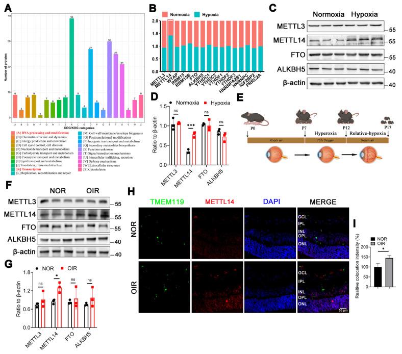
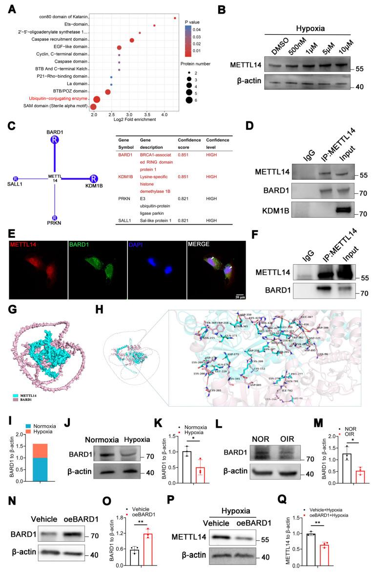
Retinal vascular diseases are typified by the proliferation of irregular and leaky microvessels, resulting in vision impairment. Although the etiology of retinal angiogenesis is not yet fully understood, it is evident that microglia play a pivotal role in promoting angiogenesis. In vivo, the METTL14 conditional knockout (cKO) mouse was constructed to investigate the role of METTL14 in oxygen-induced retinopathy (OIR). In vitro, a combination of methylated RNA immunoprecipitation sequencing (MeRIP-seq), RNA-sequencing (RNA-seq), RNA Immunoprecipitation (RIP) assay, dual-luciferase reporter assays, and Chromatin immunoprecipitation-qPCR (ChIP-qPCR), was performed to explore the underlying mechanisms. The proteomic analysis of hypoxic microglia has uncovered a pronounced enrichment in pathways related to RNA modification. Western blot has revealed that N6-methyladenosine (m6A) methyltransferase-like 14 (METTL14) exhibits the most significant increase among the RNA methylases. METTL14 cKO mice within an OIR model showed fewer neovascular formations. Additionally, in co-culture with sh-METTL14 HMC3 cells, HRMECs also exhibited reduced angiogenesis capabilities. Mechanically, E3 ubiquitin-protein ligase BARD1 can directly interact with METTL14, leading to an up-regulation of METTL14 protein level in hypoxic microglia. METTL14 could directly modifies and regulates the transcription factor MAX Dimerization Protein 1 (MXD1), which is subsequently recognized by the m6A "reader" YTH domain-containing family protein 2 (YTHDF2). Consequently, the modified MXD1 modulates the expression of VEGFA and VCAM1, promotes retinal neovascularization. Our study highlights the critical role of METTL14 in the OIR model and suggests a novel therapeutic target for addressing retinal vascular diseases.

摘要

视网膜血管疾病的典型特征是不规则且渗漏的微血管增殖,导致视力受损。尽管视网膜血管生成的病因尚未完全明确,但小胶质细胞在促进血管生成中起着关键作用这一点是显而易见的。在体内,构建了METTL14条件性敲除(cKO)小鼠以研究METTL14在氧诱导性视网膜病变(OIR)中的作用。在体外,进行了甲基化RNA免疫沉淀测序(MeRIP-seq)、RNA测序(RNA-seq)、RNA免疫沉淀(RIP)分析、双荧光素酶报告基因分析和染色质免疫沉淀-qPCR(ChIP-qPCR)的组合,以探索潜在机制。对缺氧小胶质细胞的蛋白质组学分析发现,与RNA修饰相关的通路有明显富集。蛋白质免疫印迹显示,N6-甲基腺苷(m6A)甲基转移酶样14(METTL14)在RNA甲基化酶中表现出最显著的增加。在OIR模型中的METTL14 cKO小鼠显示出较少的新生血管形成。此外,在与sh-METTL14 HMC3细胞共培养时,人视网膜微血管内皮细胞(HRMECs)的血管生成能力也降低。机制上,E3泛素蛋白连接酶BARD1可直接与METTL14相互作用,导致缺氧小胶质细胞中METTL14蛋白水平上调。METTL14可直接修饰并调节转录因子MAX二聚化蛋白1(MXD1),随后该蛋白被m6A“读取器”含YTH结构域家族蛋白2(YTHDF2)识别。因此,被修饰的MXD1调节血管内皮生长因子A(VEGFA)和血管细胞黏附分子1(VCAM1)的表达,促进视网膜新生血管形成。我们的研究突出了METTL14在OIR模型中的关键作用,并为解决视网膜血管疾病提出了一个新的治疗靶点。

https://cdn.ncbi.nlm.nih.gov/pmc/blobs/1e8e/12036877/ba95750a8caf/thnov15p5481g001.jpg

文献AI研究员

20分钟写一篇综述,助力文献阅读效率提升50倍。

立即体验

用中文搜PubMed

大模型驱动的PubMed中文搜索引擎

马上搜索

文档翻译

学术文献翻译模型,支持多种主流文档格式。

立即体验