Suppr超能文献

细胞外基质蛋白对牛成纤维脂肪祖细胞体外黏附、增殖及分化的影响

The impact of extracellular matrix proteins on bovine fibro-adipogenic progenitor cell adhesion, proliferation, and differentiation in vitro.

作者信息

Gish Perri, Stewart Madison, Khuu Brandon, Meyer Nathaniel, Vahmani Payam, Smith Lucas

机构信息

Department of Neurobiology, Physiology, & Behavior, College of Biological Sciences, University of California, Davis, California, USA.

Department of Animal Science, College of Agricultural and Environmental Sciences, University of California, Davis, California, USA.

出版信息

Physiol Rep. 2025 May;13(9):e70283. doi: 10.14814/phy2.70283.

Abstract

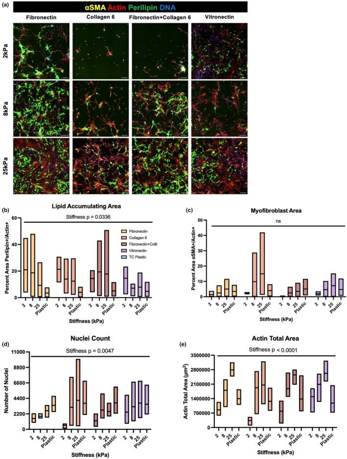
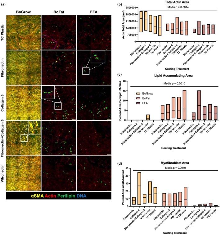
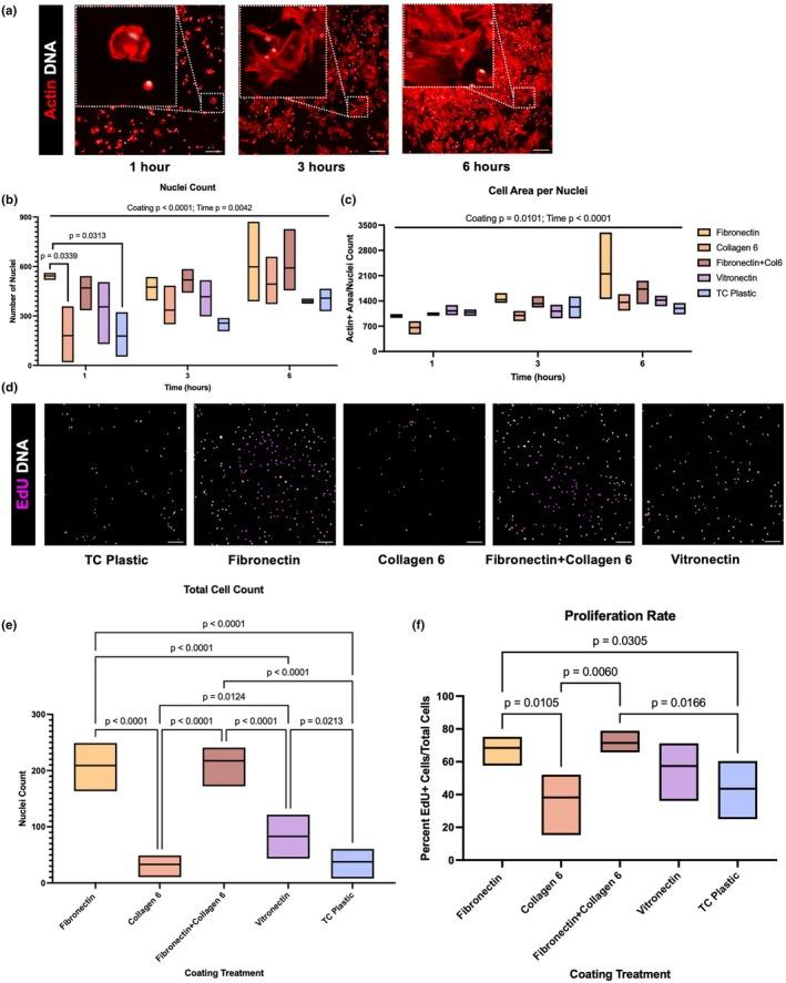
Fibro-adipogenic progenitor cells (FAPs) are mesenchymal stem cells that produce extracellular matrix (ECM) and intramuscular adipocytes in skeletal muscle. While FAPs have demonstrated responsiveness to their physical environment, there is limited knowledge of how the ECM substrate of FAPs impacts their differentiation, particularly in livestock animals. We hypothesized that the ECM substrate FAPs are cultured on will differentially impact their adherence, proliferation, and differentiation. Through an initial screen of 9 ECM proteins and their combinations, significant variation of bovine FAP attachment and differentiation across coatings was observed. The ECM substrates fibronectin, collagen 6, vitronectin, and a combination of fibronectin and collagen 6 were selected for further testing. Notably, fibronectin increased cell proliferation and attachment rates, without impairing FAP adipogenic or fibrogenic differentiation compared to the other coatings. Benefits of fibronectin were maintained at lower concentrations and when combined with less favorable coatings such as collagen 6. When assessed for their adipogenic potential on each coating at different substrate stiffnesses, lipid accumulation decreased with increasing substrate stiffness, while cell attachment increased on stiffer substrates. Overall, these results demonstrate the high responsiveness of FAPs to their ECM substrate, along with highlighting fibronectin as a preferred substrate for in vitro experiments with bovine FAPs.

摘要

成纤维脂肪生成祖细胞(FAPs)是在骨骼肌中产生细胞外基质(ECM)和肌内脂肪细胞的间充质干细胞。虽然FAPs已显示出对其物理环境的反应能力,但关于FAPs的ECM底物如何影响其分化的知识有限,尤其是在牲畜动物中。我们假设FAPs培养所使用的ECM底物会对其黏附、增殖和分化产生不同影响。通过对9种ECM蛋白及其组合的初步筛选,观察到牛FAP在不同涂层上的附着和分化存在显著差异。选择纤连蛋白、胶原蛋白6、玻连蛋白以及纤连蛋白和胶原蛋白6的组合作为ECM底物进行进一步测试。值得注意的是,与其他涂层相比,纤连蛋白提高了细胞增殖和附着率,同时不影响FAP的成脂或成纤维分化。在较低浓度下以及与不太理想的涂层(如胶原蛋白6)组合时,纤连蛋白的优势依然存在。当在不同底物硬度下评估其在每种涂层上的成脂潜力时,脂质积累随底物硬度增加而减少,而细胞附着在较硬的底物上增加。总体而言,这些结果证明了FAPs对其ECM底物具有高度反应性,同时突出了纤连蛋白作为牛FAP体外实验的首选底物。

https://cdn.ncbi.nlm.nih.gov/pmc/blobs/6d64/12045701/d7dee018f143/PHY2-13-e70283-g005.jpg

文献AI研究员

20分钟写一篇综述,助力文献阅读效率提升50倍。

立即体验

用中文搜PubMed

大模型驱动的PubMed中文搜索引擎

马上搜索

文档翻译

学术文献翻译模型,支持多种主流文档格式。

立即体验