Suppr超能文献

用于MRI引导放疗中增强高分辨率MRI的通用映射和患者特异性先验隐式神经表示

Universal mapping and patient-specific prior implicit neural representation for enhanced high-resolution MRI in MRI-guided radiotherapy.

作者信息

Li Yunxiang, Deng Jie, Zhang You

机构信息

Department of Radiation Oncology, UT Southwestern Medical Center, Dallas, Texas, USA.

出版信息

Med Phys. 2025 Jul;52(7):e17863. doi: 10.1002/mp.17863. Epub 2025 May 2.

Abstract

BACKGROUND

Magnetic resonance imaging (MRI), known for its superior soft tissue contrast, plays a crucial role in radiation therapy (RT). The introduction of MR-LINAC systems enables the use of on-board MRI for adaptive radiotherapy (ART) on the day of treatment to maximize treatment accuracy.

PURPOSE

Due to patient comfort considerations and the time constraints associated with adaptive radiation therapy (ART), reducing the resolution of on-board MRI to accelerate image acquisition can improve efficiency, especially when acquiring multiple MRIs with different contrast weightings. However, the low-resolution imaging makes it challenging to identify key anatomical structures, potentially limiting treatment precision. To address this challenge, super-resolution of on-board MRI has emerged as a viable solution.

METHODS

To achieve super-resolution for on-board MRI, this study proposed a universal anatomical mapping and patient-specific prior implicit neural representation (USINR) framework. Unlike traditional methods that interpolate solely based on individual on-board MR images, USINR can fully utilize the patient-specific anatomical information from a high-resolution prior MRI. In addition, USINR leverages knowledge about universal mapping between population-based prior MRIs and on-board MRIs, elevating the upper bound of super-resolution performance and enabling faster on-board fine-tuning.

RESULTS

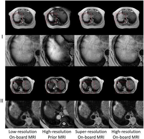
USINR was evaluated on three datasets, including IXI, BraTS, and an in-house abdominal dataset. It achieved state-of-the-art performance on all of them. For example, on the BraTS dataset, USINR was trained on 1151 paired training samples (for universal anatomical mapping) and tested on 50 patients. It achieved average SSIM, PSNR, and LPIPS scores of 0.9656, 37.12, and 0.0214, respectively, significantly outperforming the published state-of-the-art method SuperFormer, whose corresponding scores were 0.9488, 35.83, and 0.0388. Furthermore, USINR can complete patient-specific training in less than one minute, rendering it a favorable solution in time-constrained ART workflows. In addition to large-scale dataset evaluations, a case study was conducted on an in-house patient at UT Southwestern Medical Center. This case study included two MRI scans (a prior scan for plan simulation and a new one for on-board imaging) from a single patient with a long interval between two scans, during which the tumor size underwent a significant change. Despite these substantial anatomical changes between prior and on-board imaging, USINR was able to accurately capture the change in tumor size, highlighting its robustness for clinical applications.

CONCLUSIONS

By combining knowledge of universal anatomical mapping with patient-specific prior implicit neural representation, USINR offers a novel and reliable approach for MRI super-resolution. This method enhances the spatial resolution of MR images with minimal processing time, thereby balancing the need for image quality and the efficiency of MRI-guided adaptive radiotherapy.

摘要

背景

磁共振成像(MRI)以其卓越的软组织对比度而闻名,在放射治疗(RT)中发挥着关键作用。MR-LINAC系统的引入使得在治疗当天能够使用机载MRI进行自适应放射治疗(ART),以最大限度地提高治疗精度。

目的

出于患者舒适度考虑以及与自适应放射治疗(ART)相关的时间限制,降低机载MRI的分辨率以加速图像采集可以提高效率,特别是在采集具有不同对比度加权的多个MRI时。然而,低分辨率成像使得识别关键解剖结构具有挑战性,可能会限制治疗精度。为应对这一挑战,机载MRI的超分辨率技术应运而生,成为一种可行的解决方案。

方法

为实现机载MRI的超分辨率,本研究提出了一种通用解剖映射和患者特异性先验隐式神经表示(USINR)框架。与传统方法仅基于单个机载MR图像进行插值不同,USINR可以充分利用来自高分辨率先验MRI的患者特异性解剖信息。此外,USINR利用了基于人群的先验MRI与机载MRI之间通用映射的知识,提高了超分辨率性能的上限,并实现了更快的机载微调。

结果

USINR在三个数据集上进行了评估,包括IXI、BraTS和一个内部腹部数据集。在所有这些数据集上,它都取得了领先的性能。例如,在BraTS数据集上,USINR在1151对训练样本(用于通用解剖映射)上进行训练,并在50名患者上进行测试。它分别实现了平均结构相似性指数(SSIM)、峰值信噪比(PSNR)和学习感知图像补丁相似度(LPIPS)分数为0.9656、37.12和0.0214,显著优于已发表的领先方法SuperFormer,其相应分数分别为0.9488、35.83和0.0388。此外,USINR可以在不到一分钟的时间内完成患者特异性训练,使其成为时间受限的ART工作流程中的理想解决方案。除了大规模数据集评估外,还在德克萨斯大学西南医学中心的一名内部患者身上进行了案例研究。该案例研究包括来自一名患者的两次MRI扫描(一次用于计划模拟的先验扫描和一次用于机载成像的新扫描),两次扫描之间间隔较长,在此期间肿瘤大小发生了显著变化。尽管先验成像和机载成像之间存在这些显著的解剖结构变化,USINR仍能够准确捕捉肿瘤大小的变化,突出了其在临床应用中的稳健性。

结论

通过将通用解剖映射知识与患者特异性先验隐式神经表示相结合,USINR为MRI超分辨率提供了一种新颖且可靠的方法。该方法以最少的处理时间提高了MR图像的空间分辨率,从而平衡了对图像质量的需求和MRI引导的自适应放射治疗的效率。

https://cdn.ncbi.nlm.nih.gov/pmc/blobs/947f/12257914/9bc98359228d/MP-52-0-g012.jpg

文献AI研究员

20分钟写一篇综述,助力文献阅读效率提升50倍。

立即体验

用中文搜PubMed

大模型驱动的PubMed中文搜索引擎

马上搜索

文档翻译

学术文献翻译模型,支持多种主流文档格式。

立即体验