Suppr超能文献

芍药总苷减轻甲氨蝶呤所致肝损伤的机制

Mechanisms of Total Glucosides of Paeony in Alleviating Methotrexate-Induced Liver Injury.

作者信息

Chen Guang-Yao, Ji Xiang-Yu, Li Ying, Zheng Si-Si, Jin Qi, Tao Qing-Wen

机构信息

Department of TCM Rheumatology, China-Japan Friendship Hospital, Beijing, 100029, People's Republic of China.

Beijing Key Laboratory for Immune-Mediated Inflammatory Diseases, China-Japan Friendship Hospital, Beijing, 100029, People's Republic of China.

出版信息

Drug Des Devel Ther. 2025 Apr 29;19:3407-3423. doi: 10.2147/DDDT.S521740. eCollection 2025.

Abstract

OBJECTIVE

Total glycoside of peony (TGP) enhances methotrexate efficacy and attenuates its hepatotoxicity in rheumatoid arthritis, but the mechanisms remain unclear. This study investigates the mechanisms of TGP against methotrexate-induced liver injury through a network pharmacology-based approach.

METHODS

A liver injury model was established in CD-1 mice by intraperitoneal injection of 20 mg/kg methotrexate. TGP and the positive control drug silybin were used to intervene in the methotrexate-induced liver injury model in mice. Serum ALT and AST activities, liver index test and histopathology was detected to evaluate the effects of the treatment on methotrexate-induced liver injury. Additionally, network pharmacology and serum metabolomics were employed to predict the mechanisms of TGP in treating methotrexate-induced liver injury. Experimental validation was conducted by RT-PCR, ELISA and Western blot.

RESULTS

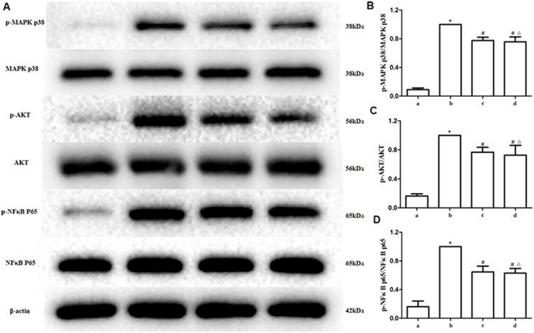
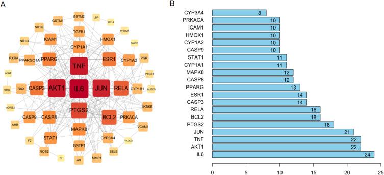
TGP effectively alleviated the liver index and pathological liver damage induced by methotrexate and reduced the liver injury markers, serum ALT and AST, showing effects comparable to those of the positive control drug silybin. Network pharmacology predicted that the key targets and key signaling pathways of TGP in treating methotrexate-induced liver injury are closely associated with inflammatory response. Furthermore, serum metabolomics and network pharmacology analysis indicated a close association between effects of TGP on methotrexate-induced liver injury and arachidonic acid pathway. Experimental validation results confirmed that the expression levels of IL-6, TNF and COX-2 in liver tissues were significantly elevated, with the activation of the PI3K/AKT, MAPK, and NFκB pathways. TGP intervention can reverse these changes to a certain extent.

CONCLUSION

TGP treatment effectively mitigates methotrexate-induced liver injury, and its mechanism is closely associated with the inhibition of hepatic inflammatory responses.

摘要

目的

芍药总苷(TGP)可增强甲氨蝶呤在类风湿关节炎中的疗效并减轻其肝毒性,但其机制尚不清楚。本研究通过基于网络药理学的方法探讨TGP抗甲氨蝶呤诱导肝损伤的机制。

方法

通过腹腔注射20mg/kg甲氨蝶呤在CD-1小鼠中建立肝损伤模型。使用TGP和阳性对照药物水飞蓟宾干预甲氨蝶呤诱导的小鼠肝损伤模型。检测血清谷丙转氨酶(ALT)和谷草转氨酶(AST)活性、肝脏指数检测及组织病理学,以评估治疗对甲氨蝶呤诱导肝损伤的影响。此外,采用网络药理学和血清代谢组学预测TGP治疗甲氨蝶呤诱导肝损伤的机制。通过逆转录-聚合酶链反应(RT-PCR)、酶联免疫吸附测定(ELISA)和蛋白质免疫印迹法(Western blot)进行实验验证。

结果

TGP有效减轻了甲氨蝶呤诱导的肝脏指数和肝脏病理损伤,并降低了肝损伤标志物血清ALT和AST,其效果与阳性对照药物水飞蓟宾相当。网络药理学预测TGP治疗甲氨蝶呤诱导肝损伤的关键靶点和关键信号通路与炎症反应密切相关。此外,血清代谢组学和网络药理学分析表明TGP对甲氨蝶呤诱导肝损伤的作用与花生四烯酸途径密切相关。实验验证结果证实肝组织中白细胞介素-6(IL-6)、肿瘤坏死因子(TNF)和环氧化酶-2(COX-2)的表达水平显著升高,同时磷脂酰肌醇-3激酶(PI3K)/蛋白激酶B(AKT)、丝裂原活化蛋白激酶(MAPK)和核因子κB(NFκB)信号通路激活。TGP干预可在一定程度上逆转这些变化。

结论

TGP治疗可有效减轻甲氨蝶呤诱导的肝损伤,其机制与抑制肝脏炎症反应密切相关。

https://cdn.ncbi.nlm.nih.gov/pmc/blobs/a148/12049130/85186cfc871f/DDDT-19-3407-g0001.jpg

文献AI研究员

20分钟写一篇综述,助力文献阅读效率提升50倍。

立即体验

用中文搜PubMed

大模型驱动的PubMed中文搜索引擎

马上搜索

文档翻译

学术文献翻译模型,支持多种主流文档格式。

立即体验