Suppr超能文献

恶性胶质瘤患者中与贝伐单抗相关的脑出血

Bevacizumab‑associated intracerebral hemorrhage in patients with malignant glioma.

作者信息

Hama Yuya, Sasaki Takahiro, Fukai Junya, Nakao Naoyuki

机构信息

Department of Neurological Surgery, School of Medicine, Wakayama Medical University, Wakayama 641-8509, Japan.

出版信息

Mol Clin Oncol. 2025 Apr 17;22(6):57. doi: 10.3892/mco.2025.2852. eCollection 2025 Jun.

Abstract

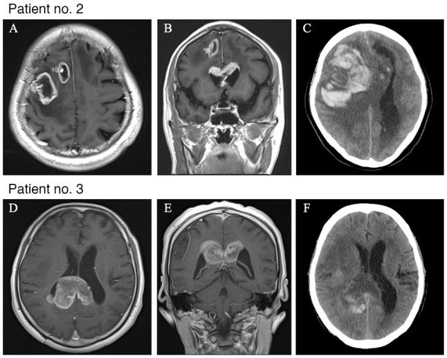
Intracerebral hemorrhage (ICH) is a serious complication of the use of bevacizumab in patients with malignant glioma; however, the risk factors are unclear. Therefore, the present study retrospectively analyzed a cohort of patients treated with bevacizumab for malignant glioma to investigate the characteristics of those in the cohort who had ICH. Between January 2015 and December 2022, 64 patients with malignant glioma were treated with bevacizumab. Clinical and molecular biological information, treatment details, and information regarding the presence of ICH after bevacizumab administration were extracted from the hospital database. ICH was found to have occurred in seven patients (10.9%) after bevacizumab administration. The mean (standard deviation) age of these seven patients was 64(11) years, and six of them (85.7%) underwent needle biopsy. Two patients (28.6%) had grade ≥3 hemorrhage. The median number of administrations of bevacizumab before the onset of ICH was seven (range: 1-32), and the duration from first administration to ICH was 4 months (range: 1-22). Furthermore, ICH was associated with a comparatively short overall survival time (log-rank, P=0.008). Tumor invasion into the corpus callosum on contrast-enhanced magnetic resonance imaging before bevacizumab administration was associated with ICH according to univariate analysis (P=0.01) and multivariate analysis (P=0.02). In conclusion, bevacizumab-associated ICH was associated with poor prognosis in the present cohort of patients with malignant glioma. Furthermore, corpus callosum infiltration shown on magnetic resonance imaging before bevacizumab administration was suggested to be a risk factor for ICH; however, further studies on larger cohorts are required for confirmation.

摘要

脑出血(ICH)是恶性胶质瘤患者使用贝伐单抗治疗后的一种严重并发症;然而,其危险因素尚不清楚。因此,本研究回顾性分析了一组接受贝伐单抗治疗的恶性胶质瘤患者队列,以调查该队列中发生ICH的患者特征。2015年1月至2022年12月期间,64例恶性胶质瘤患者接受了贝伐单抗治疗。从医院数据库中提取了临床和分子生物学信息、治疗细节以及贝伐单抗给药后ICH发生情况的信息。发现7例患者(10.9%)在贝伐单抗给药后发生了ICH。这7例患者的平均(标准差)年龄为64(11)岁,其中6例(85.7%)接受了穿刺活检。2例患者(28.6%)发生了≥3级出血。ICH发作前贝伐单抗的给药中位数为7次(范围:1 - 32次),首次给药至ICH的持续时间为4个月(范围:1 - 22个月)。此外,ICH与相对较短的总生存时间相关(对数秩检验,P = 0.008)。单因素分析(P = 0.01)和多因素分析(P = 0.02)显示,贝伐单抗给药前对比增强磁共振成像显示肿瘤侵犯胼胝体与ICH相关。总之,在本队列的恶性胶质瘤患者中,贝伐单抗相关的ICH与预后不良相关。此外,贝伐单抗给药前磁共振成像显示的胼胝体浸润被认为是ICH的一个危险因素;然而,需要对更大队列进行进一步研究以证实。

https://cdn.ncbi.nlm.nih.gov/pmc/blobs/84cd/12046618/034f5af4937e/mco-22-06-02852-g00.jpg

文献AI研究员

20分钟写一篇综述,助力文献阅读效率提升50倍。

立即体验

用中文搜PubMed

大模型驱动的PubMed中文搜索引擎

马上搜索

文档翻译

学术文献翻译模型,支持多种主流文档格式。

立即体验