Suppr超能文献

一种强效的可透过中枢神经系统的视黄酸受体β调节剂Ellorarxine在体外神经元、神经胶质细胞和小胶质细胞中的比较研究。

A Comparative Study of a Potent CNS-Permeable RARβ-Modulator, Ellorarxine, in Neurons, Glia and Microglia Cells In Vitro.

作者信息

Zhang Yunxi, Gailloud Lilie, Shin Alexander, Fewkes Jessica, Pinckney Rosella, Whiting Andrew, Chazot Paul

机构信息

Department of Biosciences, Durham University, Durham DH1 3LE, UK.

Department of Pharmacology, University College London, London WC1E 6BT, UK.

出版信息

Int J Mol Sci. 2025 Apr 10;26(8):3551. doi: 10.3390/ijms26083551.

Abstract

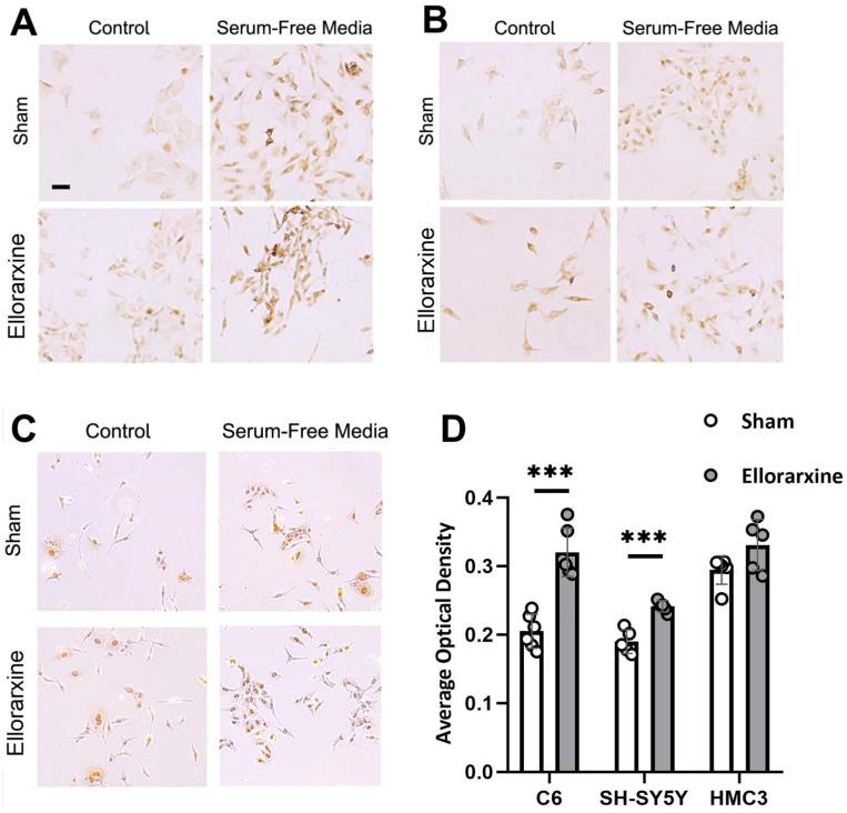
Vitamin A (retinol) and its derivatives (retinoids) assume critical roles in neural development, cellular differentiation, axon elongation, programmed cell apoptosis and various fundamental cellular processes. Retinoids function by binding to specific nuclear receptors, such as retinoic acid receptors (RARs) and retinoid X receptors (RXRs), activating specific signalling pathways in the cells. The disruption of the retinoic acid signalling pathway can result in neuroinflammation, oxidative and ER stress and mitochondrial dysfunction and has been implicated in a wide range of neurodegenerative diseases. The present study explored the potential therapeutic application of our innovative CNS-permeable synthetic retinoid, Ellorarxine, for the treatment of neurodegenerative disorders in vitro. An MTT (3-(4,5-dimethylthiazol-2-yl)-2,5-diphenyltetrazolium bromide) tetrazolium assay, lactate dehydrogenase (LDH) assay, enzyme-linked immunosorbent assay (ELISA), immunocytochemistry and immunofluorescence staining were performed. Ellorarxine increased Cyp26 and, selectively, RARβ protein expression in neurons, glia and microglia. Ellorarxine significantly reduced cell death (neurons, glia), increased mitochondrial viability (neurons), modulated cytokine release (microglia), and positively regulated cellular autophagy (neurons, glia, microglia). These results suggest that Ellorarxine is a promising drug candidate that should be further investigated in the treatment of neurodegenerative diseases.

摘要

维生素A(视黄醇)及其衍生物(类视黄醇)在神经发育、细胞分化、轴突延长、程序性细胞凋亡及各种基本细胞过程中发挥着关键作用。类视黄醇通过与特定的核受体结合发挥作用,如维甲酸受体(RARs)和视黄醇X受体(RXRs),激活细胞内特定的信号通路。维甲酸信号通路的破坏可导致神经炎症、氧化应激和内质网应激以及线粒体功能障碍,并与多种神经退行性疾病有关。本研究在体外探索了我们创新的可透过中枢神经系统的合成类视黄醇Ellorarxine在治疗神经退行性疾病方面的潜在治疗应用。进行了MTT(3-(4,5-二甲基噻唑-2-基)-2,5-二苯基四氮唑溴盐)四氮唑测定、乳酸脱氢酶(LDH)测定、酶联免疫吸附测定(ELISA)、免疫细胞化学和免疫荧光染色。Ellorarxine增加了Cyp26的表达,并选择性地增加了神经元、神经胶质细胞和小胶质细胞中RARβ蛋白的表达。Ellorarxine显著降低了细胞死亡(神经元、神经胶质细胞),增加了线粒体活力(神经元),调节了细胞因子释放(小胶质细胞),并正向调节了细胞自噬(神经元、神经胶质细胞、小胶质细胞)。这些结果表明,Ellorarxine是一种有前景的候选药物,应在神经退行性疾病的治疗中进一步研究。

https://cdn.ncbi.nlm.nih.gov/pmc/blobs/79fc/12027090/be1ef9a9ab9e/ijms-26-03551-g001.jpg

文献AI研究员

20分钟写一篇综述,助力文献阅读效率提升50倍。

立即体验

用中文搜PubMed

大模型驱动的PubMed中文搜索引擎

马上搜索

文档翻译

学术文献翻译模型,支持多种主流文档格式。

立即体验