Suppr超能文献

源自骨髓间充质干细胞的细胞外囊泡通过转运miR-378a-3p调节SREBF2/HMGB1轴,以抑制肠道缺血再灌注损伤中的铁死亡。

Extracellular vesicles derived from bone marrow mesenchymal stem cells regulate SREBF2/HMGB1 axis by transporting miR-378a-3p to inhibit ferroptosis in intestinal ischemia-reperfusion injury.

作者信息

Liu Zan, Zhao Zitong, Xiao Zhenghui, Li Ming, Wang Xiyang, Huang Yan, Li Yong

机构信息

Department of Pediatric Surgery, Clinical Research Center for Pediatric Solid Tumors in Hunan Province, Hunan Provincial Key Laboratory of Pediatric Orthopedics, The Affiliated Children's Hospital of Xiangya School of Medicine, Central South University (Hunan children's hospital), Changsha, PR China.

Hunan Provincial Key Laboratory of the Research and Development of Novel Pharmaceutical Preparations, College of Pharmacy, Changsha Medical University, Changsha, PR China.

出版信息

Cell Death Discov. 2025 May 7;11(1):223. doi: 10.1038/s41420-025-02509-6.

Abstract

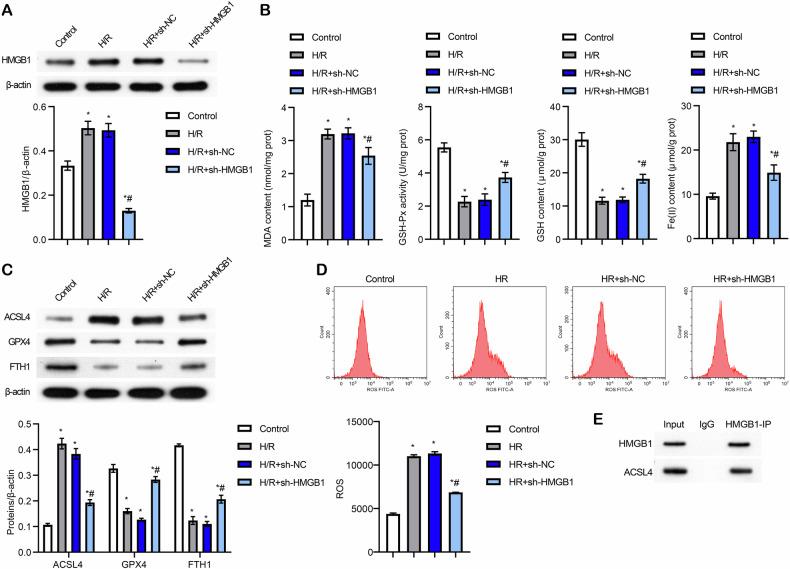
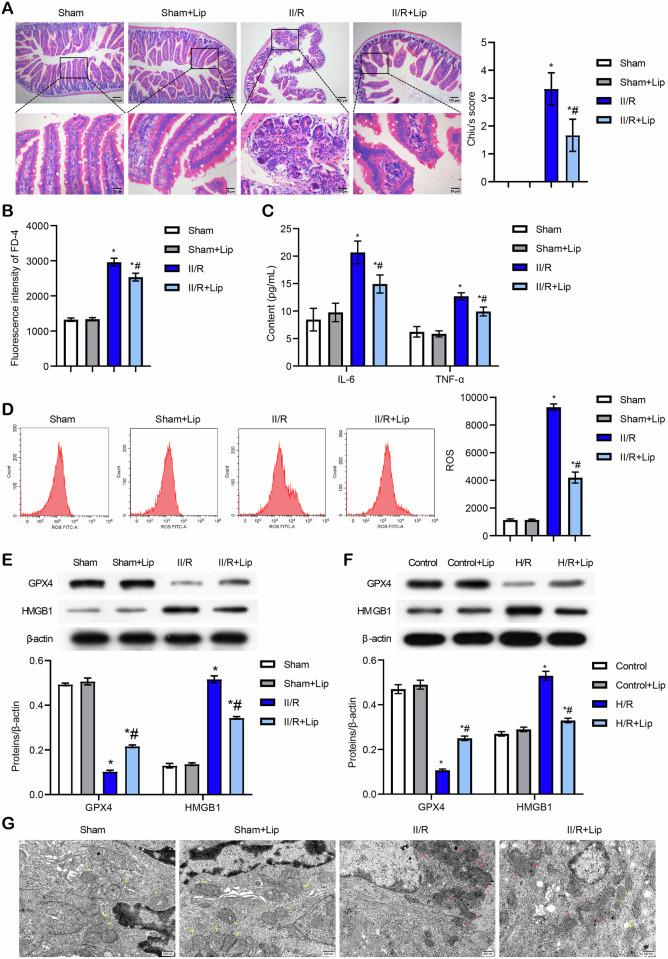
Intestinal ischemia-reperfusion (II/R) injury represents a life-threatening and complex pathophysiological process that remains challenging to treat clinically, and emerging evidence suggests that ferroptosis plays an essential role in its pathogenesis. This study aimed to investigate whether extracellular vesicles derived from bone marrow mesenchymal stem cells (BMSC-EVs) can mitigate II/R-induced ferroptosis in a murine model. Using a bioinformatics database, we initially identified genes with abnormal expression patterns in II/R injury. Then, we confirmed the association between II/R injury, ferroptosis, and the HMGB1/SREBF2 axis through in vivo and in vitro experiments. To determine the role of HMGB1 in hypoxia/reoxygenation (H/R)-induced ferroptosis in Caco-2 cells, we transfected cells with either sh-HMGB1 or control sh-NC constructs and developed an H/R model in vitro. Subsequently, we examined factors regulating HMGB1-mediated ferroptosis in Caco-2 cells and assessed the effect of BMSC-EVs on this process. To further explore the mechanism underlying the protective effects of BMSC-EVs in II/R injury, we screened for miRNAs with reduced expression during II/R and verified their involvement. Among these, miR-378a-3p was identified as a candidate for regulating ferroptosis. To confirm its functional role, we treated II/R mice with BMSC-EVs overexpressing miR-378a-3p and assessed the outcomes. Our findings revealed that HMGB1, which is a key regulatory factor of ferroptosis, was significantly upregulated during II/R injury, and its knockdown alleviated H/R-induced ferroptosis in Caco-2 cells. We also found that SREBF2 directly regulates HMGB1 expression to promote H/R-induced ferroptosis in vitro. Importantly, BMSC-EVs alleviated II/R injury by suppressing ferroptosis in Caco-2 cells, and mechanistically, miR-378a-3p, a miRNA derived from BMSC-EVs, inhibited II/R-induced ferroptosis by modulating the SREBF2/HMGB1 axis. In conclusion, BMSC-EVs may exert protective effects against II/R injury by delivering miR-378a-3p, which regulates the SREBF2/HMGB1 axis to suppress ferroptosis, providing important insights into the pathological mechanisms underlying II/R injury and potential therapeutic strategies for its management.

摘要

肠缺血再灌注(II/R)损伤是一种危及生命的复杂病理生理过程,临床治疗仍具有挑战性,新出现的证据表明铁死亡在其发病机制中起重要作用。本研究旨在探讨骨髓间充质干细胞衍生的细胞外囊泡(BMSC-EVs)是否能减轻小鼠模型中II/R诱导的铁死亡。我们首先使用生物信息学数据库鉴定了II/R损伤中表达模式异常的基因。然后,我们通过体内和体外实验证实了II/R损伤、铁死亡与HMGB1/SREBF2轴之间的关联。为了确定HMGB1在缺氧/复氧(H/R)诱导的Caco-2细胞铁死亡中的作用,我们用sh-HMGB1或对照sh-NC构建体转染细胞,并在体外建立了H/R模型。随后,我们研究了调节Caco-2细胞中HMGB1介导的铁死亡的因素,并评估了BMSC-EVs对这一过程的影响。为了进一步探索BMSC-EVs在II/R损伤中的保护作用机制,我们筛选了II/R期间表达降低的miRNA,并验证了它们的参与。其中,miR-378a-3p被确定为调节铁死亡的候选者。为了证实其功能作用,我们用过表达miR-378a-3p的BMSC-EVs处理II/R小鼠并评估结果。我们的研究结果表明,HMGB1是铁死亡的关键调节因子,在II/R损伤期间显著上调,其敲低减轻了H/R诱导的Caco-2细胞铁死亡。我们还发现SREBF2直接调节HMGB1表达以促进体外H/R诱导的铁死亡。重要的是,BMSC-EVs通过抑制Caco-2细胞中的铁死亡减轻了II/R损伤,从机制上讲,源自BMSC-EVs的miR-378a-3p通过调节SREBF2/HMGB1轴抑制II/R诱导的铁死亡。总之,BMSC-EVs可能通过递送miR-378a-3p发挥对II/R损伤的保护作用,miR-378a-3p调节SREBF2/HMGB1轴以抑制铁死亡,为II/R损伤的病理机制和潜在治疗策略提供了重要见解。

https://cdn.ncbi.nlm.nih.gov/pmc/blobs/9607/12058992/81a10ec9fe75/41420_2025_2509_Fig1a_HTML.jpg

文献AI研究员

20分钟写一篇综述,助力文献阅读效率提升50倍。

立即体验

用中文搜PubMed

大模型驱动的PubMed中文搜索引擎

马上搜索

文档翻译

学术文献翻译模型,支持多种主流文档格式。

立即体验