Suppr超能文献

新型高通量3D细胞外基质重塑检测法确定MEK是纤维化成纤维细胞活性的关键驱动因素。

Novel high throughput 3D ECM remodeling assay identifies MEK as key driver of fibrotic fibroblast activity.

作者信息

Liao Chen-Yi, Hundscheid Jasmijn H M, Crawford Justin, Ten Dijke Peter, Coornaert Beatrice, Danen Erik H J

机构信息

Leiden Academic Center for Drug Research, Leiden University, Leiden, the Netherlands.

Galapagos NV, Mechelen, Belgium.

出版信息

Mater Today Bio. 2025 Apr 24;32:101800. doi: 10.1016/j.mtbio.2025.101800. eCollection 2025 Jun.

Abstract

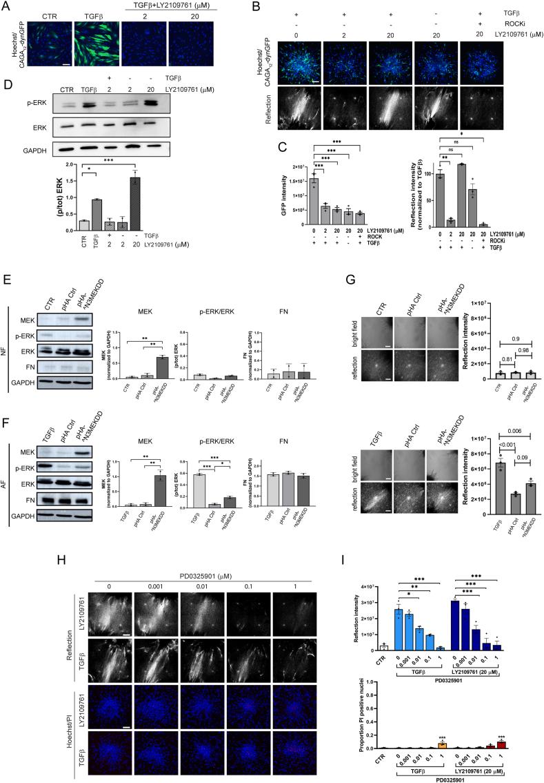
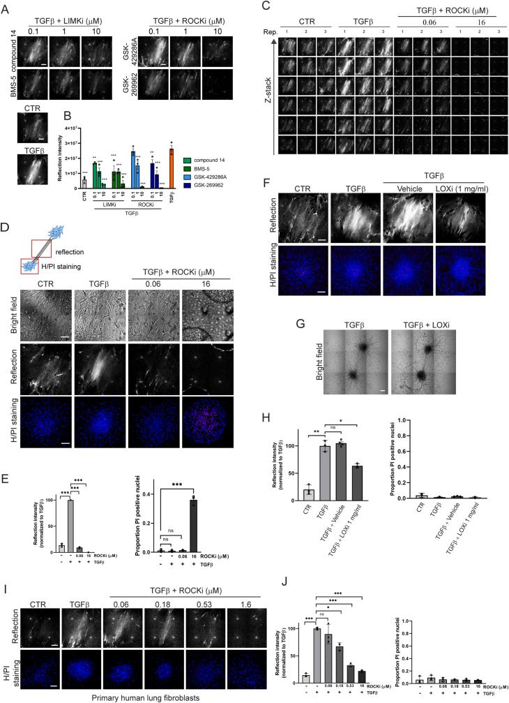
In fibrotic tissues, activated fibroblasts remodel the collagen-rich extracellular matrix (ECM). Intervening with this process represents a candidate therapeutic strategy to attenuate disease progression. Models that generate quantitative data on 3D fibroblast-mediated ECM remodeling with the reproducibility and throughput needed for drug testing are lacking. Here, we develop a model that fits this purpose and produces combined quantitative information on drug efficacy and cytotoxicity. We use microinjection robotics to design patterns of fibrillar collagen-embedded fibroblast clusters and apply automated microscopy and image analysis to quantify ECM remodeling between-, and cell viability within clusters of TGFβ-activated primary human skin or lung fibroblasts. We apply this assay to compound screening and reveal actionable targets to suppress fibrotic ECM remodeling. Strikingly, we find that after an initial phase of fibroblast activation by TGFβ, canonical TGFβ signaling is dispensable and, instead, non-canonical activation of MEK-ERK signaling drives ECM remodeling. Moreover, we reveal that higher concentrations of two TGFβ receptor inhibitors while blocking canonical TGFβ signaling, in fact stimulate this MEK-mediated profibrotic ECM remodeling activity.

摘要

在纤维化组织中,活化的成纤维细胞重塑富含胶原蛋白的细胞外基质(ECM)。干预这一过程是减缓疾病进展的一种潜在治疗策略。目前缺乏能够生成关于三维成纤维细胞介导的ECM重塑的定量数据、且具有药物测试所需的可重复性和通量的模型。在此,我们开发了一种符合这一目的的模型,该模型可生成关于药物疗效和细胞毒性的综合定量信息。我们使用显微注射机器人技术来设计纤维状胶原蛋白包埋的成纤维细胞簇的模式,并应用自动显微镜和图像分析来量化转化生长因子β(TGFβ)激活的原代人皮肤或肺成纤维细胞簇之间的ECM重塑以及细胞活力。我们将该检测方法应用于化合物筛选,并揭示了抑制纤维化ECM重塑的可操作靶点。令人惊讶的是,我们发现,在TGFβ激活成纤维细胞的初始阶段之后,经典的TGFβ信号通路是可有可无的,相反,MEK-ERK信号通路的非经典激活驱动了ECM重塑。此外,我们还发现,两种TGFβ受体抑制剂在阻断经典TGFβ信号通路的同时,较高浓度实际上会刺激这种MEK介导的促纤维化ECM重塑活性。

https://cdn.ncbi.nlm.nih.gov/pmc/blobs/f6bd/12059351/6407687509e9/ga1.jpg

文献AI研究员

20分钟写一篇综述,助力文献阅读效率提升50倍。

立即体验

用中文搜PubMed

大模型驱动的PubMed中文搜索引擎

马上搜索

文档翻译

学术文献翻译模型,支持多种主流文档格式。

立即体验