Suppr超能文献

可逆的宿主细胞表面重塑限制了免疫识别并使恶性疟原虫配子体的存活率最大化。

Reversible host cell surface remodelling limits immune recognition and maximizes survival of Plasmodium falciparum gametocytes.

作者信息

Ngotho Priscilla, Dantzler Press Kathleen, Peedell Megan, Muasya William, Omondi Brian Roy, Otoboh Stanley E, Gomez Jahiro, Coronado Lorena, Seydel Karl B, Kapulu Melissa, Laufer Miriam, Taylor Terrie, Bousema Teun, Marti Matthias

机构信息

Wellcome Centre for Integrative Parasitology, University of Glasgow, Glasgow, United Kingdom.

Institute of Parasitology, Vetsuisse Faculty, University of Zurich, Zurich, Switzerland.

出版信息

PLoS Pathog. 2025 May 12;21(5):e1013110. doi: 10.1371/journal.ppat.1013110. eCollection 2025 May.

Abstract

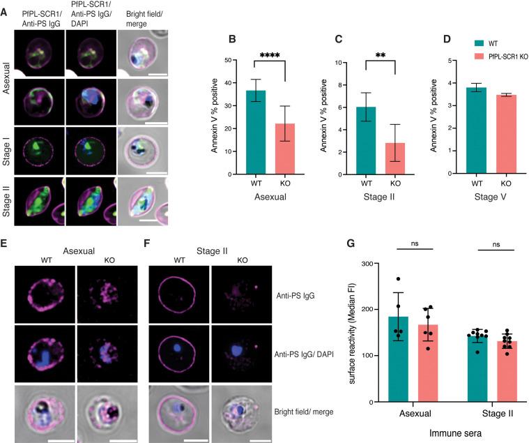
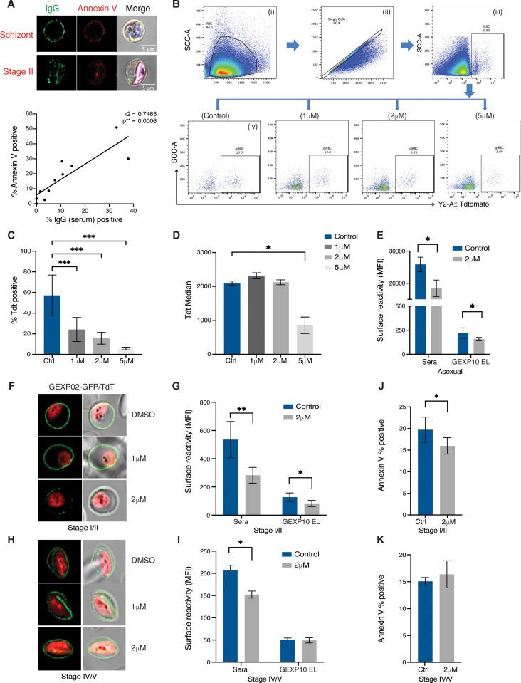
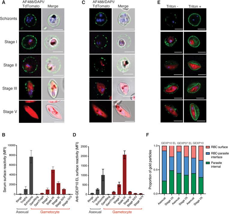
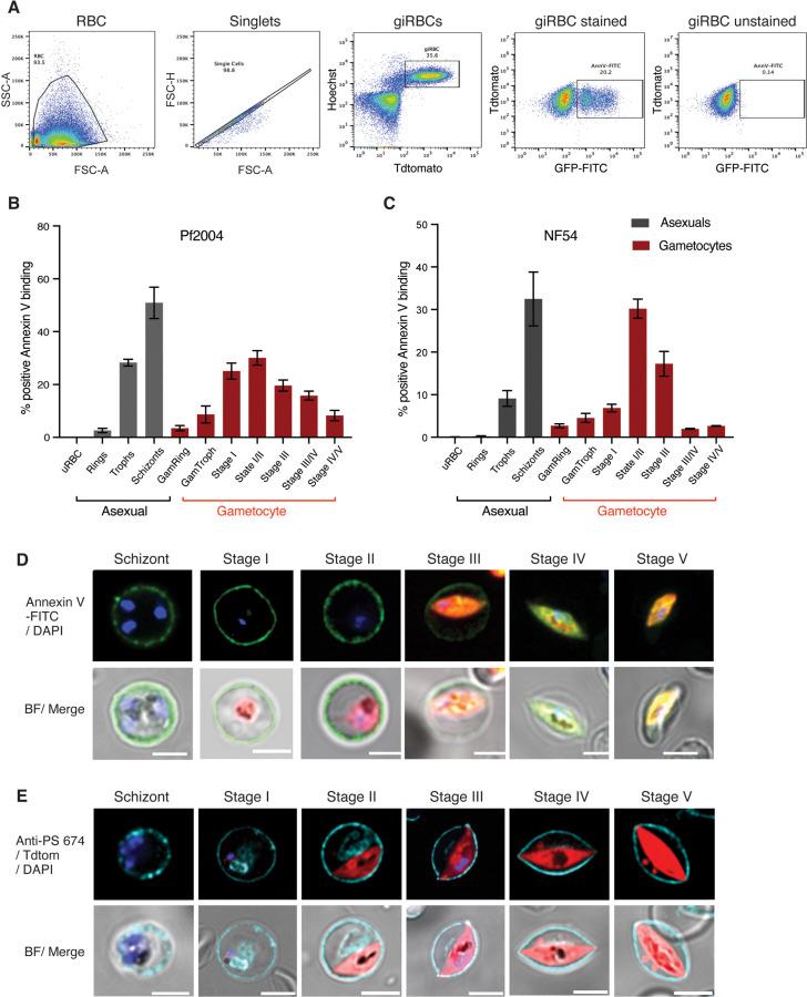
Reducing malaria transmission has been a major pillar of control programmes and is considered crucial for achieving malaria elimination. Gametocytes, the transmissible forms of the P. falciparum parasite, arise during the blood stage of the parasite and develop through 5 morphologically distinct stages. Immature gametocytes (stage I-IV) sequester and develop in the extravascular niche of the bone marrow and possibly spleen. Only mature stage V gametocytes re-enter peripheral circulation to be taken up by mosquitoes for successful onward transmission. We have recently shown that immature, but not mature gametocytes are targets of host immune responses and identified putative target surface antigens. We hypothesize that these antigens play a role in gametocyte sequestration and contribute to acquired transmission-reducing immunity. Here we demonstrate that surface antigen expression, serum reactivity by human IgG, and opsonic phagocytosis by macrophages all show similar dynamics during gametocyte maturation, i.e., peaking in the immature stages and tapering off in mature gametocytes. Moreover, the switch in surface reactivity coincides with reversal in phosphatidylserine (PS) surface exposure, a marker for red blood cell age and clearance. PS is exposed on the surface of a proportion of immature gametocyte-infected RBCs (as well as in late asexual stages) but is removed from the surface in later gametocyte stages (IV-V). Using parasite reverse genetics and drug perturbations, we confirm that parasite protein export into the host cell and phospholipid scramblase activity are required for the observed surface modifications in asexual and sexual P. falciparum stages. Based on these findings we propose that the reversible surface remodelling allows (i) immature gametocyte sequestration in bone marrow followed by (ii) mature gametocyte release into peripheral circulation (and immune evasion due to loss of surface antigens), therefore contributing to mature gametocyte survival in vivo and onward transmission to mosquitoes. Importantly, blocking scramblase activity during gametocyte maturation results in efficient clearance of mature gametocytes, revealing a potential path for transmission blocking interventions. Our studies have important implications for our understanding of parasite biology and form a starting point for novel intervention strategies to simultaneously reduce parasite burden and transmission.

摘要

减少疟疾传播一直是控制项目的主要支柱,被认为对实现疟疾消除至关重要。配子体是恶性疟原虫的可传播形式,在寄生虫的血液阶段产生,并经历5个形态上不同的阶段发育。未成熟配子体(I-IV期)在骨髓和可能的脾脏的血管外微环境中滞留并发育。只有成熟的V期配子体重新进入外周循环,被蚊子摄取以成功进行后续传播。我们最近表明,未成熟而非成熟的配子体是宿主免疫反应的靶标,并鉴定了假定的靶标表面抗原。我们假设这些抗原在配子体滞留中起作用,并有助于获得性传播减少免疫。在这里,我们证明表面抗原表达、人IgG的血清反应性以及巨噬细胞的调理吞噬作用在配子体成熟过程中都表现出相似的动态变化,即在未成熟阶段达到峰值,在成熟配子体中逐渐下降。此外,表面反应性的转变与磷脂酰丝氨酸(PS)表面暴露的逆转相吻合,PS是红细胞年龄和清除的标志物。PS暴露在一部分未成熟配子体感染的红细胞表面(以及无性后期阶段),但在配子体后期阶段(IV-V期)从表面去除。使用寄生虫反向遗传学和药物干扰,我们证实寄生虫蛋白输出到宿主细胞和磷脂 scramblase 活性是恶性疟原虫无性和有性阶段观察到的表面修饰所必需的。基于这些发现,我们提出可逆的表面重塑允许(i)未成熟配子体在骨髓中滞留,随后(ii)成熟配子体释放到外周循环中(以及由于表面抗原的丧失而实现免疫逃逸),因此有助于成熟配子体在体内存活并向蚊子进行后续传播。重要的是,在配子体成熟过程中阻断 scramblase 活性会导致成熟配子体的有效清除揭示了一条潜在的传播阻断干预途径。我们的研究对我们理解寄生虫生物学具有重要意义,并为同时减少寄生虫负担和传播的新型干预策略奠定了基础。

https://cdn.ncbi.nlm.nih.gov/pmc/blobs/47d2/12091884/7f23a60e9905/ppat.1013110.g001.jpg

文献AI研究员

20分钟写一篇综述,助力文献阅读效率提升50倍。

立即体验

用中文搜PubMed

大模型驱动的PubMed中文搜索引擎

马上搜索

文档翻译

学术文献翻译模型,支持多种主流文档格式。

立即体验