Suppr超能文献

芹菜素通过c-KIT/Raf-1/MAPK/CREB途径促进人表皮黑素细胞(HEMCs)的黑素生成和黑素小体转运。

Apigenin promotes melanogenesis and melanosome transport through the c-KIT/Raf-1/MAPK/CREB pathway in HEMCs.

作者信息

Lv Jinpeng, Meng Duo, Zhang Huansha, Xu Wenhui, An Xiaohong, Yin Chuanwei, Zou Kun, Gao Rongyin

机构信息

Jiangsu Provincial Engineering Research Center for Drug Intelligent Manufacturing and Precision Delivery, School of Pharmacy, Changzhou University, Changzhou, China.

Yunnan Characteristic Plant Extraction Laboratory, Yunnan Yunke Characteristic Plant Extraction Laboratory Co., Ltd., Kunming, China.

出版信息

Front Pharmacol. 2025 Apr 28;16:1572878. doi: 10.3389/fphar.2025.1572878. eCollection 2025.

Abstract

INTRODUCTION

Apigenin, a natural flavonoid with well-established antioxidant, anticancer, and anti-inflammatory activities, has recently attracted attention for its pigmentation-promoting effects. However, the underlying molecular mechanisms driving its melanogenic activity remain incompletely understood.

METHOD

To investigate apigenin's effects on melanogenesis, human epidermal melanocytes (HEMCs), zebrafish embryos, and human skin explants were treated with apigenin. Melanin content, dendrite formation, and melanosome maturation were evaluated using spectrophotometry and transmission electron microscopy. Key signaling molecules and proteins involved in melanogenesis and melanosome transport were assessed by Western blotting and immunohistochemistry. The role of the c-KIT receptor was further explored through pharmacological inhibition and genetic knockdown approaches. Functional pigmentation was evaluated by assessing UVB-induced DNA damage markers.

RESULTS

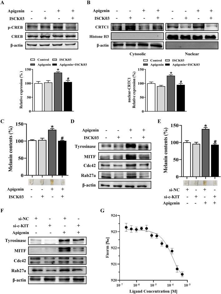
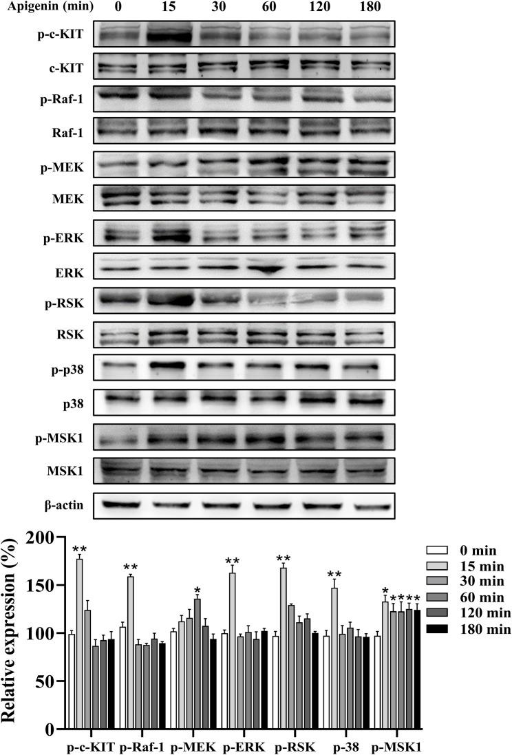
Apigenin (10 μM) significantly increased melanin production by 1.8-fold in HEMCs, enhanced dendritic morphology, and promoted stage III-IV melanosome formation. Mechanistically, apigenin induced melanogenesis independently of the MC1R/cAMP/PKA pathway by directly binding to the c-KIT receptor, activating the Raf-1/ERK/RSK cascade, and upregulating MITF. This led to elevated expression of tyrosinase, TRP-1, TRP-2, and melanosome transport proteins Rab27a and Cdc42. Inhibition or knockdown of c-KIT abrogated these effects. In vivo, apigenin restored pigmentation in PTU-induced depigmented zebrafish and increased melanin content by 1.3-fold in human skin explants. Histological analysis confirmed effective melanin transfer to keratinocytes. Additionally, apigenin-treated skin showed reduced UVB-induced DNA damage, indicating enhanced photoprotection.

DISCUSSION

These findings demonstrate that apigenin stimulates melanogenesis through a novel c-KIT-dependent signaling pathway and promotes functional pigmentation with photoprotective benefits. Given its dietary origin, favorable safety profile, and multifaceted mechanisms, apigenin holds promise as a therapeutic agent for vitiligo and a natural pigmentation enhancer for dermatological use.

摘要

引言

芹菜素是一种具有公认的抗氧化、抗癌和抗炎活性的天然黄酮类化合物,其促进色素沉着的作用最近引起了关注。然而,驱动其黑素生成活性的潜在分子机制仍未完全了解。

方法

为了研究芹菜素对黑素生成的影响,用人表皮黑素细胞(HEMCs)、斑马鱼胚胎和人皮肤外植体进行芹菜素处理。使用分光光度法和透射电子显微镜评估黑色素含量、树突形成和黑素体成熟。通过蛋白质印迹法和免疫组织化学评估参与黑素生成和黑素体转运的关键信号分子和蛋白质。通过药理学抑制和基因敲低方法进一步探索c-KIT受体的作用。通过评估紫外线诱导的DNA损伤标志物来评估功能性色素沉着。

结果

芹菜素(10μM)使HEMCs中的黑色素生成显著增加1.8倍,增强了树突形态,并促进了III-IV期黑素体的形成。从机制上讲,芹菜素通过直接结合c-KIT受体、激活Raf-1/ERK/RSK级联反应和上调MITF,独立于MC1R/cAMP/PKA途径诱导黑素生成。这导致酪氨酸酶、TRP-1、TRP-2以及黑素体转运蛋白Rab27a和Cdc42的表达升高。抑制或敲低c-KIT可消除这些作用。在体内,芹菜素恢复了PTU诱导的色素脱失斑马鱼的色素沉着,并使人皮肤外植体中的黑色素含量增加了1.3倍。组织学分析证实黑色素有效地转移到了角质形成细胞。此外,经芹菜素处理的皮肤显示紫外线诱导的DNA损伤减少,表明光保护作用增强。

讨论

这些发现表明,芹菜素通过一种新的c-KIT依赖性信号通路刺激黑素生成,并促进具有光保护益处的功能性色素沉着。鉴于其饮食来源、良好的安全性和多方面的机制,芹菜素有望成为治疗白癜风的药物和皮肤科用天然色素沉着增强剂。

https://cdn.ncbi.nlm.nih.gov/pmc/blobs/e673/12066314/5691e29fb5e4/fphar-16-1572878-g001.jpg

文献AI研究员

20分钟写一篇综述,助力文献阅读效率提升50倍。

立即体验

用中文搜PubMed

大模型驱动的PubMed中文搜索引擎

马上搜索

文档翻译

学术文献翻译模型,支持多种主流文档格式。

立即体验