Suppr超能文献

小儿皮肤间变性淋巴瘤激酶阳性组织细胞增多症伴融合:1例报告及文献检索

Pediatric Cutaneous Anaplastic Lymphoma Kinase-Positive Histiocytosis with Fusion: A Case Report and Literature Search.

作者信息

Korpás Kristóf Levente, Mokánszki Attila, Beke Lívia, Méhes Gábor, Chang Chien Yi-Che

机构信息

Department of Pathology, University of Debrecen Clinical Centre, 4032 Debrecen, Hungary.

出版信息

Diagnostics (Basel). 2025 Apr 22;15(9):1057. doi: 10.3390/diagnostics15091057.

Abstract

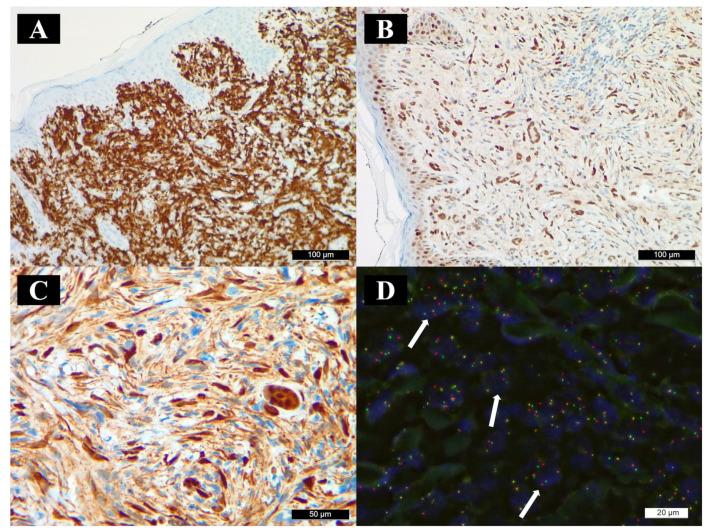
: Anaplastic lymphoma kinase (ALK)-positive histiocytosis is a relatively novel entity, affecting single or multiple organ systems; it is characterized by aggregates of neoplastic cells of the histiocytic lineage, harboring molecular alterations in the gene and exhibiting excellent response to systemic tyrosine kinase inhibitors. : Herein, we present a pediatric case with cutaneous-only involvement: the 6-month-old male patient presented with an elevated, tan-colored lesion on his left forearm. Following surgical excision, histopathological evaluation reported spindle cells with wide eosinophilic cytoplasm and Touton-type giant cells. The tumor cells were positive for CD163, ALK, phosphorylated ERK, and cyclin D1. Fluorescent in situ hybridization revealed rearrangement, whereas, upon next-generation sequencing, a fusion was identified. : Our case serves as a great addition to the limited number of cases reported in the literature, and it represents the first published pediatric case with the rare fusion. The novelty of this genetic alteration and the lack of knowledge about its potential effects on the clinical aspects of ALK-positive histiocytosis highlight the importance of ancillary molecular testing, when available.

摘要

间变性淋巴瘤激酶(ALK)阳性组织细胞增多症是一种相对较新的疾病实体,可累及单个或多个器官系统;其特征是组织细胞谱系的肿瘤细胞聚集,在该基因中存在分子改变,并对全身酪氨酸激酶抑制剂表现出良好反应。在此,我们报告一例仅累及皮肤的儿科病例:一名6个月大的男性患者左前臂出现一个隆起的棕褐色病变。手术切除后,组织病理学评估报告显示有梭形细胞,其细胞质嗜酸性且宽大,还有图顿型巨细胞。肿瘤细胞CD163、ALK、磷酸化ERK和细胞周期蛋白D1呈阳性。荧光原位杂交显示重排,而通过二代测序,鉴定出一种融合。我们的病例为文献中报道的有限病例数增添了重要内容,它代表了首例发表的具有罕见融合的儿科病例。这种基因改变的新颖性以及对其对ALK阳性组织细胞增多症临床方面潜在影响的认识不足,凸显了在可行时进行辅助分子检测的重要性。

https://cdn.ncbi.nlm.nih.gov/pmc/blobs/124c/12072010/22edf82f8ebd/diagnostics-15-01057-g001.jpg

文献AI研究员

20分钟写一篇综述,助力文献阅读效率提升50倍。

立即体验

用中文搜PubMed

大模型驱动的PubMed中文搜索引擎

马上搜索

文档翻译

学术文献翻译模型,支持多种主流文档格式。

立即体验