Suppr超能文献

愤怒腹膜的多种表现

The Many Faces of the Angry Peritoneum.

作者信息

Ambrosetti Maria Chiara, Bariani Matilde, Zamboni Giulia Angela, Valletta Riccardo, Bonatti Matteo

机构信息

Radiology Unit, Department of Pathology and Diagnostics, Azienda Ospedaliera Universitaria Integrata of Verona, 37126 Verona, Italy.

Institute of Radiology, Department of Diagnostics and Public Health, Policlinico GB Rossi, University of Verona, 37134 Verona, Italy.

出版信息

Diagnostics (Basel). 2025 May 3;15(9):1163. doi: 10.3390/diagnostics15091163.

Abstract

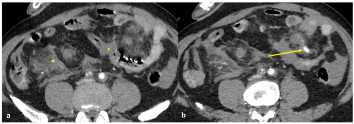
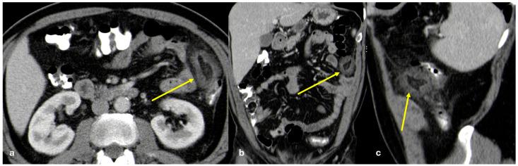
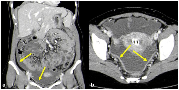
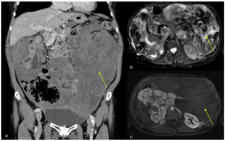
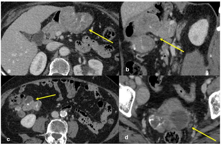
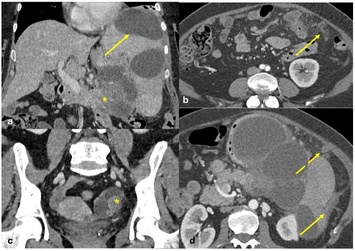
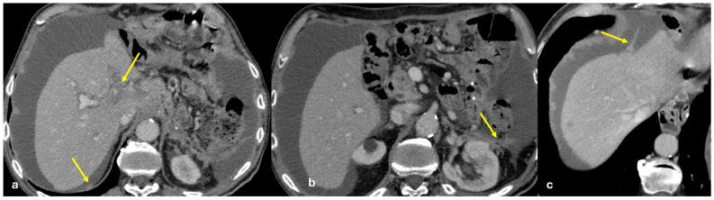
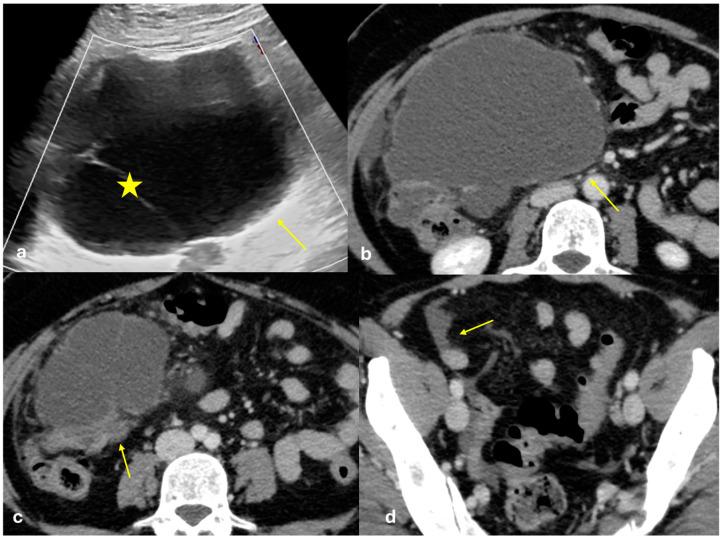
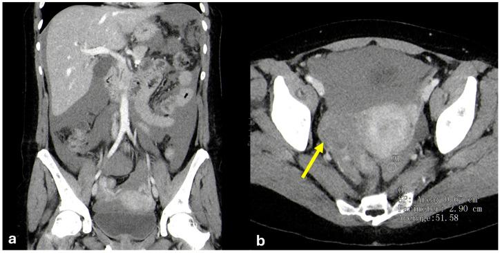
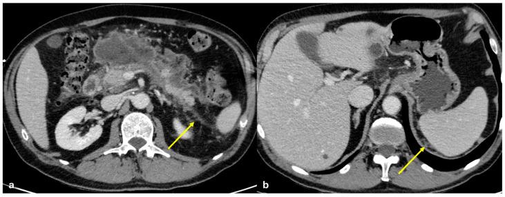
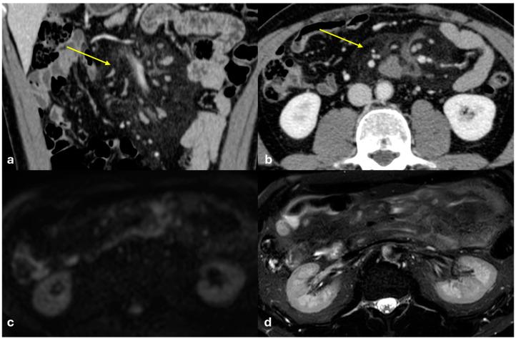
The peritoneum is a thin membrane that lines the abdominal cavity and covers the abdominal organs. It serves as a conduit for the spread of various pathological processes, including gas and fluid collections, inflammation, infections, and neoplastic conditions. Peritoneal carcinomatosis is the most common and well-known pathology involving the peritoneum, typically resulting from the dissemination of gastrointestinal and pelvic malignancies. However, numerous benign and malignant peritoneal diseases can mimic the imaging appearance of peritoneal carcinomatosis. The aim of this review is to revisit the anatomy of peritoneal compartments and elucidate the patterns of peritoneal disease spread. Emphasis is placed on identifying the distinctive imaging features of both neoplastic and non-neoplastic peritoneal diseases that differ from peritoneal carcinomatosis.

摘要

腹膜是一层薄的膜,它衬于腹腔内并覆盖腹部器官。它是各种病理过程扩散的通道,包括气体和液体聚集、炎症、感染及肿瘤性疾病。腹膜癌病是涉及腹膜的最常见且广为人知的病理情况,通常由胃肠道和盆腔恶性肿瘤的播散引起。然而,许多良性和恶性腹膜疾病可模仿腹膜癌病的影像学表现。本综述的目的是重新审视腹膜腔室的解剖结构并阐明腹膜疾病的扩散模式。重点在于识别与腹膜癌病不同的肿瘤性和非肿瘤性腹膜疾病的独特影像学特征。

https://cdn.ncbi.nlm.nih.gov/pmc/blobs/1f87/12071784/6623015fc775/diagnostics-15-01163-g001.jpg

文献AI研究员

20分钟写一篇综述,助力文献阅读效率提升50倍。

立即体验

用中文搜PubMed

大模型驱动的PubMed中文搜索引擎

马上搜索

文档翻译

学术文献翻译模型,支持多种主流文档格式。

立即体验