Suppr超能文献

硫化氢调节小胶质细胞极化并重塑损伤微环境以促进脊髓损伤后的功能恢复。

Hydrogen Sulfide Modulates Microglial Polarization and Remodels the Injury Microenvironment to Promote Functional Recovery After Spinal Cord Injury.

作者信息

Wang Yu, Jia Xinyi, Zhang Yuqi, Shi Haibin, Sun Yuhui, Liu Yaobo

机构信息

Jiangsu Key Laboratory of Drug Discovery and Translational Research for Brain Diseases, Institute of Neuroscience, Soochow University, Departments of Rehabilitation Medicine and Neurology, The Fourth Affiliated Hospital of Soochow University, Suzhou, China.

State Key Laboratory of Radiation Medicine and Protection, School of Radiation Medicine and Protection, and Collaborative Innovation Center of Radiological Medicine of Jiangsu Higher Education Institutions, Soochow University, Suzhou, China.

出版信息

CNS Neurosci Ther. 2025 May;31(5):e70431. doi: 10.1111/cns.70431.

Abstract

AIMS

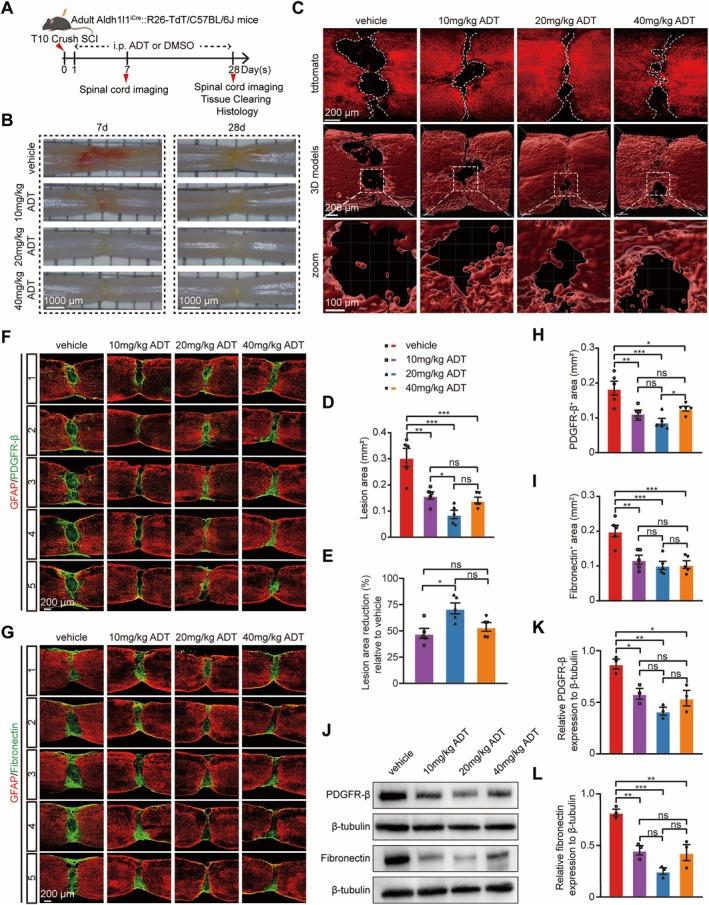
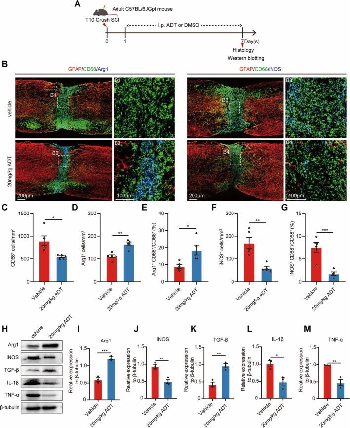
Spinal cord injury (SCI) disrupts tissue homeostasis, leading to persistent neuroinflammation and scar formation that severely impedes functional recovery. Current therapeutic approaches are insufficient to address these challenges. In this study, we investigated whether exogenous hydrogen sulfide (HS) can modulate neuroinflammatory responses and remodel the injury microenvironment to promote tissue repair and restore motor function following SCI.

METHODS

T10 crush SCI was induced in mice, followed by daily intraperitoneal administration of the HS donor anethole trithione (ADT). Immunofluorescence staining, tissue clearing, western blotting, and behavioral assessments were performed to evaluate scar formation, vascular regeneration, neuronal survival, and motor function.

RESULTS

ADT-based HS therapy significantly promoted wound healing, inhibited scar formation, enhanced vascular regeneration, and protected residual neurons and axons from secondary injury. Mechanistically, HS suppressed microglial proliferation and activation, promoting their polarization toward an anti-inflammatory phenotype and alleviating neuroinflammation. Consequently, motor function recovery was markedly improved.

CONCLUSION

HS modulates microglial activation and mitigates neuroinflammation, establishing a permissive microenvironment for SCI repair and significantly enhancing motor function recovery. Given ADT's established clinical safety and its effective gasotransmitter properties, our findings underscore its immediate translational potential for treating SCI.

摘要

目的

脊髓损伤(SCI)会破坏组织内稳态,导致持续性神经炎症和瘢痕形成,严重阻碍功能恢复。目前的治疗方法不足以应对这些挑战。在本研究中,我们调查了外源性硫化氢(HS)是否能调节神经炎症反应并重塑损伤微环境,以促进脊髓损伤后的组织修复和恢复运动功能。

方法

在小鼠中诱导T10挤压性脊髓损伤,随后每天腹腔注射硫化氢供体茴三硫(ADT)。进行免疫荧光染色、组织透明化、蛋白质印迹和行为评估,以评估瘢痕形成、血管再生、神经元存活和运动功能。

结果

基于ADT的硫化氢治疗显著促进伤口愈合,抑制瘢痕形成,增强血管再生,并保护残余神经元和轴突免受继发性损伤。机制上,硫化氢抑制小胶质细胞增殖和激活,促进其向抗炎表型极化并减轻神经炎症。因此,运动功能恢复明显改善。

结论

硫化氢调节小胶质细胞激活并减轻神经炎症,为脊髓损伤修复建立有利的微环境,并显著增强运动功能恢复。鉴于ADT已确立的临床安全性及其有效的气体信号分子特性,我们的研究结果强调了其在治疗脊髓损伤方面的直接转化潜力。

https://cdn.ncbi.nlm.nih.gov/pmc/blobs/801a/12076064/d8249ab79f01/CNS-31-e70431-g006.jpg

文献AI研究员

20分钟写一篇综述,助力文献阅读效率提升50倍。

立即体验

用中文搜PubMed

大模型驱动的PubMed中文搜索引擎

马上搜索

文档翻译

学术文献翻译模型,支持多种主流文档格式。

立即体验