Suppr超能文献

针对各种诊断系统建立特定肠型抗体。

Establishment of enterotype-specific antibodies for various diagnostic systems.

作者信息

Yoshii Ken, Node Eri, Furuta Mari, Tojima Yoko, Matsunaga Ayu, Adachi Jun, Takaai Narimi, Morita Makiko, Hosomi Koji, Kunisawa Jun

机构信息

Laboratory of Vaccine Materials and Laboratory of Gut Environmental System, Microbial Research Center for Health and Medicine, National Institutes of Biomedical Innovation, Health and Nutrition (NIBN), 7-6-8 Saito-Asagi, Ibaraki, Osaka, 567-0085, Japan.

Faculty of Agriculture, Department of Applied Biological Science, Takasaki University of Health and Welfare, 54 Nakaorui-machi, Takasaki, Gunma, 370-0033, Japan.

出版信息

Sci Rep. 2025 May 14;15(1):16814. doi: 10.1038/s41598-025-01144-6.

Abstract

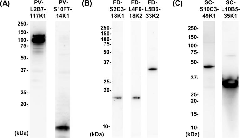
This study demonstrates that monoclonal antibodies can be developed to targeting specific gut bacteria prevalent in the Japanese population and the potential for creating a novel diagnostic system using these antibodies. In this study, we established specific antibodies against representative bacteria from the genera Bacteroides, Faecalibacterium, and Prevotella and showed that they could be detected using ELISA, flow cytometry, and western blot analysis. Furthermore, a technique to quantify target bacteria was developed by combining these antibodies in a sandwich ELISA, enabling the quantification of bacteria in human fecal samples. This technology serves as a foundational method for rapidly and easily measuring gut bacteria and is expected to evolve into a powerful tool for analyzing the impact of gut bacteria on health, as well as for personalized health management based on individual gut environments.

摘要

本研究表明,可以开发针对日本人群中普遍存在的特定肠道细菌的单克隆抗体,以及利用这些抗体创建新型诊断系统的潜力。在本研究中,我们建立了针对拟杆菌属、粪杆菌属和普雷沃氏菌属代表性细菌的特异性抗体,并表明可以使用酶联免疫吸附测定(ELISA)、流式细胞术和蛋白质免疫印迹分析来检测它们。此外,通过在夹心ELISA中结合这些抗体,开发了一种定量目标细菌的技术,能够对人类粪便样本中的细菌进行定量。这项技术是快速、轻松测量肠道细菌的基础方法,有望发展成为一种强大的工具,用于分析肠道细菌对健康的影响,以及基于个体肠道环境的个性化健康管理。

https://cdn.ncbi.nlm.nih.gov/pmc/blobs/48b5/12078515/b08ab5c78d5b/41598_2025_1144_Fig1_HTML.jpg

文献AI研究员

20分钟写一篇综述,助力文献阅读效率提升50倍。

立即体验

用中文搜PubMed

大模型驱动的PubMed中文搜索引擎

马上搜索

文档翻译

学术文献翻译模型,支持多种主流文档格式。

立即体验