Suppr超能文献

吲哚胺2,3-双加氧酶1通过内质网应激相关的葡萄糖调节蛋白78- X盒结合蛋白1途径诱导巨噬细胞M1极化,以促进溃疡性结肠炎进展。

IDO1 induced macrophage M1 polarization via ER stress-associated GRP78-XBP1 pathway to promote ulcerative colitis progression.

作者信息

Gao Zijian, Shao Shuai, Xu Zhen, Nie Jiao, Li Chenglin, Du Chao

机构信息

Linyi People's Hospital, Shandong Second Medical University, Linyi, China.

Department of Gastroenterology, Linyi People's Hospital, Shandong Second Medical University, Linyi, China.

出版信息

Front Med (Lausanne). 2025 Apr 30;12:1524952. doi: 10.3389/fmed.2025.1524952. eCollection 2025.

Abstract

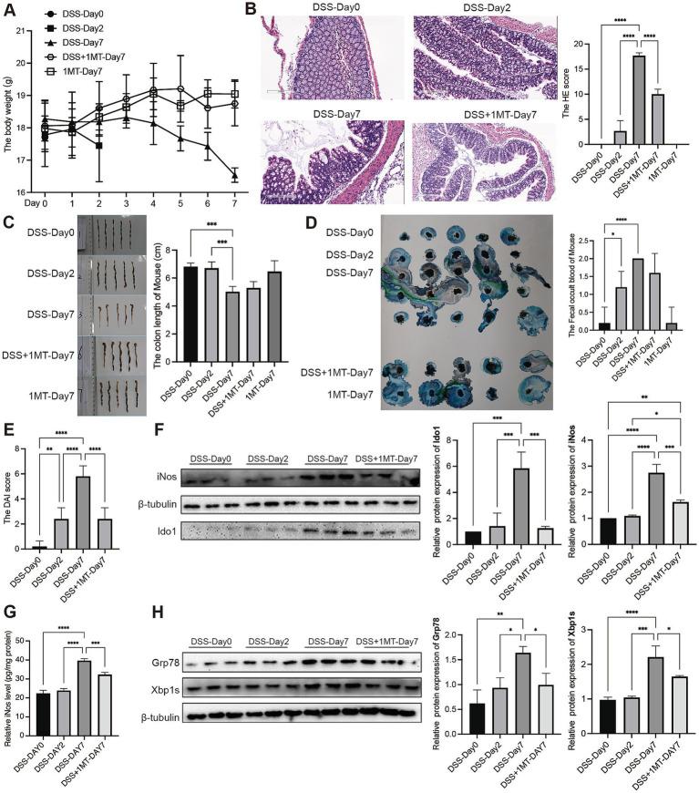
Ulcerative colitis (UC) is a chronic inflammatory bowel disorder distinguished by alternating phases of remission and exacerbation. Restoring immune balance through the modulation of M1 macrophage polarization represents a potentially valuable therapeutic strategy for UC. Indoleamine 2,3-dioxygenase-1 (IDO1) has been shown to contribute to macrophage plasticity, but its role in the pathogenesis of UC via regulating M1 macrophage polarization has not been studied yet. For the clinical component, we analyzed IDO1 expression in UC using bioinformatics analysis of Gene Expression Omnibus (GEO) datasets and validated the result using western blotting of colonic tissues from new recruited UC patients. Colitis was induced in mice via dextran sulfate sodium (DSS) treatment and subsequently treated with oral administration of 1-methyl-DL-tryptophan (1-MT), an inhibitor of IDO1 pathway. The results indicated that IDO1 expression was significantly elevated in UC patients and correlated with M1 macrophage polarization observed in both human data and colitis mice. Furthermore, 1-MT markedly ameliorated DSS-induced weight loss, colonic shortening and disease severity via inhibiting IDO1 expression level, downregulating GRP78-XBP1 pathway and reducing M1 proportion. Notably, study revealed that overexpressing IDO1 in RAW264.7 cells induced macrophage M1 polarization with increased expression levels of GRP78 and XBP1, which was attenuated by 1-MT treatment. Additionally, the catalytic effect exerted by IDO1 overexpression on M1 polarization was neutralized by employing an inhibitor targeting the endoplasmic reticulum (ER) stress pathway. Thus, our findings suggest that IDO1 may promote UC progression by skewing macrophages towards M1 polarization through ER stress-associated GRP78-XBP1 pathway.

摘要

溃疡性结肠炎(UC)是一种慢性炎症性肠病,其特征为缓解期和加重期交替出现。通过调节M1巨噬细胞极化来恢复免疫平衡是一种对UC具有潜在价值的治疗策略。吲哚胺2,3-双加氧酶-1(IDO1)已被证明有助于巨噬细胞可塑性,但尚未研究其通过调节M1巨噬细胞极化在UC发病机制中的作用。在临床部分,我们通过对基因表达综合数据库(GEO)数据集进行生物信息学分析,分析了UC中IDO1的表达情况,并使用新招募的UC患者的结肠组织进行蛋白质免疫印迹法验证了结果。通过硫酸葡聚糖钠(DSS)处理诱导小鼠发生结肠炎,随后口服给予IDO1途径抑制剂1-甲基-DL-色氨酸(1-MT)进行治疗。结果表明,IDO1在UC患者中表达显著升高,且在人类数据和结肠炎小鼠中均与M1巨噬细胞极化相关。此外,1-MT通过抑制IDO1表达水平、下调GRP78-XBP1途径和降低M1比例,显著改善了DSS诱导的体重减轻、结肠缩短和疾病严重程度。值得注意的是,研究发现,在RAW264.7细胞中过表达IDO1可诱导巨噬细胞M1极化,GRP78和XBP1表达水平升高,而1-MT处理可使其减弱。此外,通过使用靶向内质网(ER)应激途径的抑制剂,可中和IDO1过表达对M1极化产生的催化作用。因此,我们的研究结果表明,IDO1可能通过内质网应激相关的GRP78-XBP1途径使巨噬细胞向M1极化倾斜,从而促进UC进展。

https://cdn.ncbi.nlm.nih.gov/pmc/blobs/3e90/12075526/00208a54f757/fmed-12-1524952-g001.jpg

文献AI研究员

20分钟写一篇综述,助力文献阅读效率提升50倍。

立即体验

用中文搜PubMed

大模型驱动的PubMed中文搜索引擎

马上搜索

文档翻译

学术文献翻译模型,支持多种主流文档格式。

立即体验