Suppr超能文献

长链非编码RNA诱导NHE1定位于溶酶体,促进巨噬细胞溶酶体pH值升高,进而导致动脉粥样硬化。

LncRNA-induced lysosomal localization of NHE1 promotes increased lysosomal pH in macrophages leading to atherosclerosis.

作者信息

Shi Pengcheng, Tang Bo, Xie Wen, Li Ke, Guo Di, Li Yining, Yao Yufeng, Cheng Xiang, Xu Chengqi, Wang Qing K

机构信息

Center for Human Genome Research, Key Laboratory of Molecular Biophysics of the Ministry of Education, College of Life Science and Technology, Wuhan, P. R. China.

Department of Cardiology, Union Hospital, Tongji Medical College, Wuhan, P. R. China.

出版信息

J Biol Chem. 2025 May 16;301(6):110246. doi: 10.1016/j.jbc.2025.110246.

Abstract

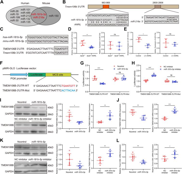
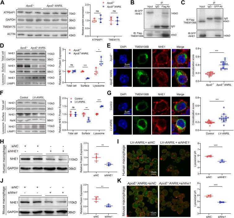
ANRIL, also referred to as CDKN2B-AS1, is an lncRNA gene implicated in the pathogenesis of multiple human diseases including atherosclerotic coronary artery disease; however, definitive in vivo evidence is lacking and the underlying molecular mechanism is largely unknown. In this study, we show that ANRIL overexpression causes atherosclerosis in vivo as transgenic mouse overexpression of full-length ANRIL (NR_003529) increases inflammation and aggravates atherosclerosis under ApoE background (ApoEANRIL mice). Mechanistically, ANRIL reduces the expression of miR-181b-5p, which leads to increased TMEM106B expression. TMEM106B is significantly upregulated in the atherosclerotic lesions of both human CAD patients and ApoEANRIL mice. TMEM106B interacts and colocalizes with Na-H exchanger NHE1, which results in the mislocalization of NHE1 from cell membranes to lysosomal membranes, leading to increased lysosomal pH in macrophages. Large truncation and point mutation analyses define the critical amino acids for TMEM106B-NHE1 interaction and lysosomal pH regulation as F115 and F117 on TMEM106B and I537, C538, and G539 on NHE1. Topological analysis suggests that both N terminus and C terminus of NHE1 are located inside lysosomal lumen, consistent with our finding that NHE1 is an important new proton efflux channel involved in raising lysosomal pH. A short TMEM106B peptide (YGRKKRRQRRR-LAVFFLF) disrupting the TMEM106B-NHE1 interaction normalized lysosomal pH in macrophages with ANRIL overexpression. Our data demonstrate that ANRIL promotes atherosclerosis in vivo and identify the ANRIL-miR-181b-5p-TMEM106B-NHE1-lysosomal pH axis as the underlying molecular pathogenic mechanism for the chromosome 9p21.3 genetic locus for coronary artery disease.

摘要

ANRIL,也被称为CDKN2B-AS1,是一种长链非编码RNA基因,与包括动脉粥样硬化性冠状动脉疾病在内的多种人类疾病的发病机制有关;然而,缺乏确凿的体内证据,其潜在的分子机制也 largely未知。在本研究中,我们表明ANRIL过表达在体内会导致动脉粥样硬化,因为全长ANRIL(NR_003529)的转基因小鼠过表达在载脂蛋白E背景下(ApoEANRIL小鼠)会增加炎症并加重动脉粥样硬化。从机制上讲,ANRIL会降低miR-181b-5p的表达,这会导致TMEM106B表达增加。TMEM106B在人类CAD患者和ApoEANRIL小鼠的动脉粥样硬化病变中均显著上调。TMEM106B与钠氢交换体NHE1相互作用并共定位,这导致NHE1从细胞膜错误定位到溶酶体膜,从而导致巨噬细胞中溶酶体pH值升高。大的截短和点突变分析确定了TMEM106B与NHE1相互作用以及溶酶体pH调节的关键氨基酸为TMEM106B上的F115和F117以及NHE1上的I537、C538和G539。拓扑分析表明,NHE1的N末端和C末端都位于溶酶体腔内,这与我们的发现一致,即NHE1是一个参与提高溶酶体pH值的重要新质子外流通道。一种破坏TMEM106B与NHE1相互作用的短TMEM106B肽(YGRKKRRQRRR-LAVFFLF)使过表达ANRIL的巨噬细胞中的溶酶体pH值恢复正常。我们的数据表明ANRIL在体内促进动脉粥样硬化,并确定ANRIL-miR-181b-5p-TMEM106B-NHE1-溶酶体pH轴为冠状动脉疾病9p21.3染色体基因座的潜在分子致病机制。

https://cdn.ncbi.nlm.nih.gov/pmc/blobs/adc7/12192704/45ef8b38e16d/gr1.jpg

文献AI研究员

20分钟写一篇综述,助力文献阅读效率提升50倍。

立即体验

用中文搜PubMed

大模型驱动的PubMed中文搜索引擎

马上搜索

文档翻译

学术文献翻译模型,支持多种主流文档格式。

立即体验