Suppr超能文献

信迪利单抗致肺癌患者出现白癜风样皮疹:一例报告

Vitiligo-like rash in a patient with lung cancer caused by sintilimab: A case report.

作者信息

Mao Xiao-Ming, Wang Wei-Hua

机构信息

Department of Respiratory and Critical Care Medicine, Jiangshan People's Hospital, Jiangshan 324100, Zhejiang Province, China.

出版信息

World J Clin Cases. 2025 May 16;13(14):101981. doi: 10.12998/wjcc.v13.i14.101981.

Abstract

BACKGROUND

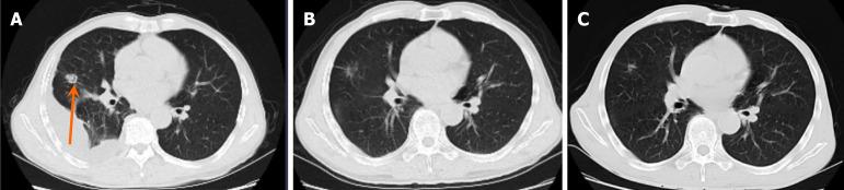
This article discusses a case involving a 63-year-old man with non-small cell lung cancer, who was treated with a combination of chemotherapy and immunotherapy. The patient was treated with five cycles of chemotherapy (pemetrexed and carboplatin) combined with sintilimab, a programmed death 1 inhibitor.

CASE SUMMARY

After the fifth cycle of treatment, the patient developed skin itching and a vitiligo-like rash, which are known side effects of immunotherapy. Despite dermatological consultation and treatment with topical corticosteroids, the rash worsened while the itching subsided. The patient continued with the treatment, and after 15 cycles, the tumor showed a response with a reduction in size. The vitiligo-like rash increased, but the antitumor treatment remained effective.

CONCLUSION

The case highlights the use of immunotherapy in patients with non-small cell lung cancer and the potential side effect of vitiligo-like rash. The patient's tumor responded well to the treatment, and despite the skin reaction, the treatment was not discontinued due to its effectiveness. The article suggests that further studies are needed to understand the mechanism behind vitiligo in patients with lung cancer receiving immune checkpoint inhibitors and whether the development of vitiligo-like rash after immune checkpoint inhibitor therapy is associated with improved prognosis. The case also underscores the importance of managing immune-related adverse events in the context of effective antitumor treatment.

摘要

背景

本文讨论了一例涉及一名63岁非小细胞肺癌男性患者的病例,该患者接受了化疗和免疫疗法的联合治疗。患者接受了五个周期的化疗(培美曲塞和卡铂)联合程序性死亡1抑制剂信迪利单抗治疗。

病例摘要

在第五个治疗周期后,患者出现皮肤瘙痒和白癜风样皮疹,这是免疫疗法已知的副作用。尽管进行了皮肤科会诊并使用局部皮质类固醇进行治疗,但皮疹加重,而瘙痒减轻。患者继续治疗,15个周期后,肿瘤显示出反应,体积缩小。白癜风样皮疹增多,但抗肿瘤治疗仍然有效。

结论

该病例突出了免疫疗法在非小细胞肺癌患者中的应用以及白癜风样皮疹的潜在副作用。患者的肿瘤对治疗反应良好,尽管出现了皮肤反应,但由于治疗有效,并未中断治疗。本文表明,需要进一步研究以了解接受免疫检查点抑制剂治疗的肺癌患者白癜风背后的机制,以及免疫检查点抑制剂治疗后白癜风样皮疹的出现是否与预后改善相关。该病例还强调了在有效的抗肿瘤治疗背景下管理免疫相关不良事件的重要性。

https://cdn.ncbi.nlm.nih.gov/pmc/blobs/2f17/11752433/e046aa8fac74/101981-g001.jpg

文献AI研究员

20分钟写一篇综述,助力文献阅读效率提升50倍。

立即体验

用中文搜PubMed

大模型驱动的PubMed中文搜索引擎

马上搜索

文档翻译

学术文献翻译模型,支持多种主流文档格式。

立即体验